
Ngày 26/11, Bệnh viện Hữu Nghị (Hà Nội) cho biết vừa tiếp nhận và xử trí thành công một ca dị vật phế quản hiếm gặp. Bệnh nhân là người đàn ông 78 tuổi, nhập viện trong tình trạng ho kéo dài, cơn ho tăng mạnh trong những ngày gần đây.
Theo thông tin từ gia đình, khoảng hai tuần trước, ông thực hiện thủ thuật đặt implant nha khoa. Trong quá trình thao tác, nha sĩ thông báo đánh mất một dụng cụ nhưng không xác định được vị trí.

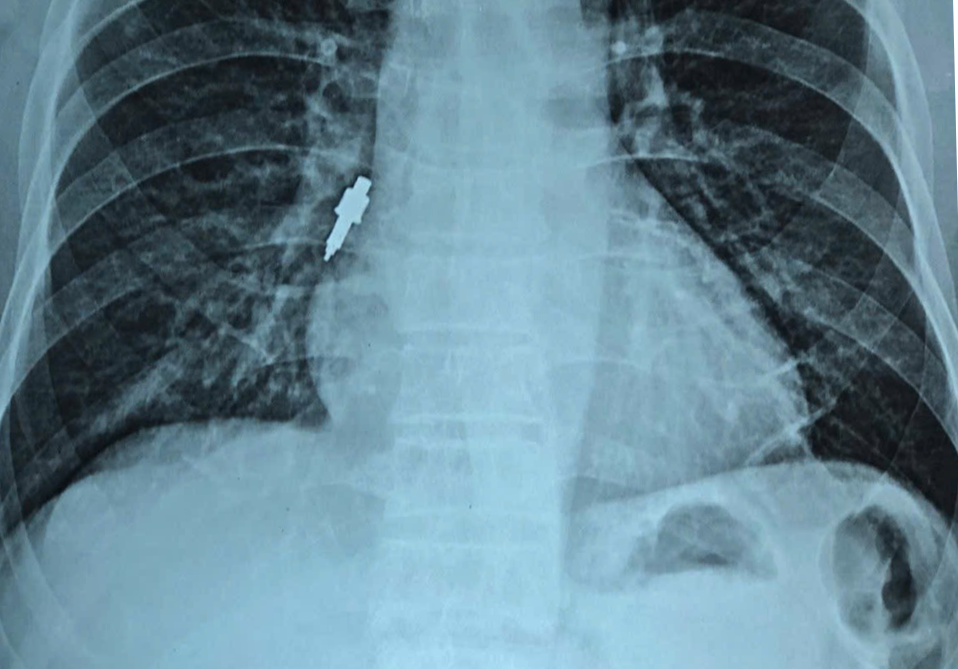
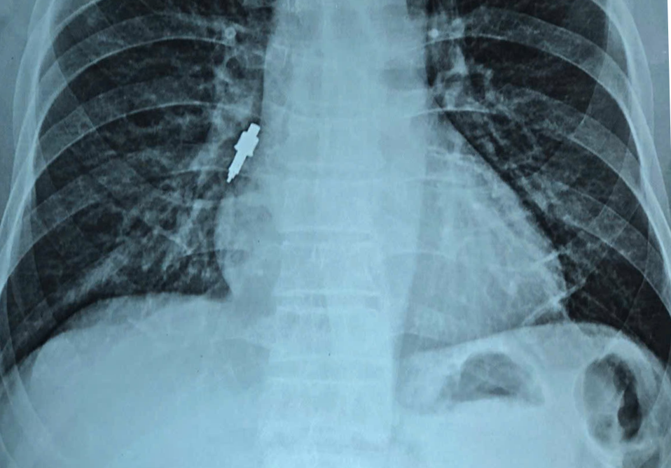
Sau đó, bệnh nhân xuất hiện ho nhẹ kéo dài. Khi cơn ho trở nên dữ dội, gia đình đưa ông đi khám. Kết quả chụp X-quang cho thấy có dị vật nằm trong phế quản phải nên bệnh nhân được chuyển gấp tới Bệnh viện Hữu Nghị.
Tại đây, các bác sĩ quyết định tiến hành nội soi phế quản cấp cứu. Dị vật được xác định bằng inox, bề mặt trơn, đường kính 1cm, dài 2,5cm và mắc sâu vào phế quản phải, kìm sinh thiết thông thường không thể gắp ra.

Ê-kíp phải phối hợp chặt chẽ, thao tác thận trọng nhằm tránh nguy cơ chảy máu, rách phế quản hoặc đẩy dị vật vào sâu hơn. Sau nhiều nỗ lực, các bác sĩ đã lấy được dị vật nguyên vẹn và bơm rửa sạch đường thở.
Theo Tiến sĩ, bác sĩ Nguyễn Tiến Dũng, Trưởng khoa Hô hấp - Dị ứng, nếu không phát hiện sớm, dị vật lớn như vậy có thể gây tắc nghẽn đường thở, viêm phổi, áp-xe phổi, thậm chí suy hô hấp, nguy hiểm tính mạng. Ông cho biết khoa vẫn thường xuyên gặp dị vật phế quản như hạt lạc, xương cá song dị vật là dụng cụ nha khoa kim loại rất hiếm, nguy cơ cao và đòi hỏi xử trí nhanh, chính xác.
Bác sĩ Dũng khuyến cáo khi thực hiện các thủ thuật răng - hàm - mặt, đặc biệt đặt implant, bác sĩ cần sử dụng biện pháp bảo hộ đường thở như gạc chắn hoặc dụng cụ ngăn rơi. Sau thủ thuật, nếu người bệnh có ho kéo dài, đau tức ngực hoặc cảm giác vướng, cần đi khám ngay để tránh bỏ sót dị vật.

Theo VietNamNet