Rachael không thuộc một trong 2 nhóm hút thuốc hay tiếp xúc hóa chất, nhưng cô lại không nhận ra là nguyên nhân gây bệnh ung thư phổi của cô lại ở chính trong căn nhà cô đang ở.
31 tuổi đã bị ung thư phổi dù không hút thuốc và chăm tập thể dục
Năm 2016, khi đang tận hưởng kì nghỉ lễ Tạ Ơn ở Florida cùng gia đình thì Rachael Malmberg gặp những rắc rối. Khi đang chạy bộ ngoài trời, đột nhiên cô gặp một cơn đau kéo dài từ cổ đến xương sườn kèm theo lạnh khắp người. Tại thời điểm đó, Rachael 31 tuổi và là một vận động viên. Cô có khả năng chịu đau đớn cao nên đã quá quen với cảm giác khó chịu này. Nhưng mẹ Rachael thì khác. Thấy con gái không thể hoàn thành buổi tập luyện của mình, bà đã thuyết phục cô đến gặp bác sĩ.

Rachael Malmberg cùng chồng và con.
Rachael kể lại: "Bác sĩ nói với tôi rằng tôi đã tập luyện quá sức, tốt hơn là nên là tập luyện vừa sức thôi. Tôi biết không phải vậy. Tôi không làm gì bất thường trong lúc luyện tập". Sau đó, cơn đau trở nên tồi tệ hơn, và rồi cô bắt đầu cảm thấy đau nhức dưới cánh tay. Cô cũng thấy xuất hiện cục u ở ngực. Mặc dù các bác sĩ xác định rằng chúng lành tính nhưng cô cũng không khỏi lo lắng.
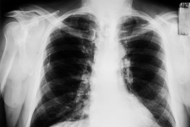
Khi cơn đau ở nách không đỡ, cô biết rằng cô cần nghiêm túc để ý đến tình trạng của mình. Bác sĩ sản khoa đã từ chối chụp MRI vú (chụp cộng hưởng từ) cho cô. Malmberg đã bay tới Michigan để được khám với một bác sĩ khác. "Ngực của tôi trông khỏe mạnh nhưng họ lại tìm thấy một khối u trên phổi của tôi. Trong ngày hôm đó, tôi đã chụp CT. Thực tế, tôi còn trẻ, lại không có triệu chứng ung thư nên bác sĩ nghĩ có thể tôi bị nhiễm trùng cổ họng liên cầu khuẩn đã phát triển thành viêm phổi", Rachael nhớ lại.
Cô được cho dùng thuốc kháng sinh trong 10 ngày và được yêu cầu chụp CT lại một lần nữa để đánh giá lại khối lượng khối u. Kết quả chụp CT thứ 2 không có gì thay đổi. Điều đó có nghĩa là có điều gì đó không ổn. Sau khi soi phế quản để tìm những bất thường (một cách lấy mô phổi qua cổ họng để làm sinh thiết), cô nhận được tin sốc là rất có thể cô bị ung thư phổi.
Theo Hiệp hội Phổi Hoa Kỳ, khoảng 230.000 người Mỹ được chẩn đoán mắc bệnh ung thư phổi hàng năm và đó là nguyên nhân hàng đầu gây tử vong do ung thư. Thông thường, những người hút thuốc hoặc công nhân làm ở khu công nghiệp có nguy cơ mắc bệnh cao nhất. Rachael không thuộc một trong 2 nhóm đó, nhưng cô lại không nhận ra là nguyên nhân gây bệnh lại ở chính trong căn nhà của cô. Đó là khí radon trong nhà. Radon là khí phóng xạ không mùi, thấm ra từ đất và có thể tích tụ trong một số ngôi nhà.

Radon là khí phóng xạ không mùi, thấm ra từ đất và có thể tích tụ trong một số ngôi nhà và có thể là nguyên nhân dẫn đến ung thư phổi.
"Nhà của tôi đã được thử nghiệm với khí radon. Kết quả không những dương tính mà còn ở mức cao hơn bình thường", Rachael cho biết.
Rachael được chẩn đoán bị ung thư biểu mô tuyến và có thể là ở giai đoạn 1 - giai đoạn có thể chữa khỏi. Nhưng xét nghiệm thêm cho thấy ung thư đã lan đến cả hạch và nã. Cô đã rất suy sụp nhưng vì là một người mẹ, cô nhanh chóng học được cách chấp nhận và đưa ra lựa chọn của mình.
"Tôi nhớ đã ngồi trong phòng chờ trước khi gặp bác sĩ chuyên khoa ung thư và tìm kiếm thông tin về mọi thứ. Tôi biết mình sẽ được nghe những gì nên tôi muốn chuẩn bị một chút. Tôi đã chấp nhận nó như ý muốn của Đức Chúa Trời. Tôi sẵn sàng chiến đấu với nó. Tôi chỉ muốn biết bước tiếp theo của tôi là gì", cô nói.
Rachael được thực hiện xạ trị 2 khối u không hoạt động trong não, phẫu thuật loại bỏ các hạch bạch huyết ở ngực, ở phần thùy trên và giữa phổi phải. Sau đó cô được cho dùng thuốc nhằm ngăn chặn sự phát triển ung thư mới. Việc này có tác dụng kiểm soát khối ung thư của cô trong gần 1 năm.
Khi bệnh ung thư không còn là trung tâm chú ý của cô, Rachael đã đặt mối quan tâm của mình vào tương lai. Cô dự định chạy marathon và tiếp tục giáo dục người khác về sự nguy hiểm của khí radon.
Thuốc lá không phải là nguyên nhân duy nhất gây ung thư phổi
Nhiều người cho rằng, chỉ những người hút thuốc hay hít phải khói thuốc thụ động mới bị ung thư phổi. Thực tế, ung thư phổi có thể xuất hiện ở người không hút thuốc.
Ngoài thuốc lá, ung thư phổi dễ tìm đến bạn nếu bạn sống trong môi trường không khí và điều kiện sống bị ô nhiễm, có thể là từ hơi đốt ở gia đình, xí nghiệp, hơi xả ra từ các động cơ; khí radon - sản phẩm của sự phân hủy tự nhiên từ uranium trong đất, đá, nước và cuối cùng trở thành một phần của không khí mà chúng ta hít thở hàng ngày; bụi amiăng, đây là tên gọi của một nhóm các chất khoáng, có trong tự nhiên dưới dạng sợi và được sử dụng trong một số ngành công nghiệp.

Thực tế, ung thư phổi có thể xuất hiện ở người không hút thuốc.
Ung thư phổi thường không có triệu chứng ở giai đoạn đầu nhưng bệnh nhân mắc ung thư phổi có thể có những dấu hiệu bệnh như:
- Ho kéo dài.
- Ho ra máu.
- Khó thở, thở khò khè.
- Đau ngực và xương.
- Thường xuyên nhiễm trùng vùng ngực.
- Khó nuốt.
- Bỗng nhiên khàn giọng.
- Sút cân đột ngột.
- Móng tay có hình dạng bất thường.
Ung thư phổi ở giai đoạn muộn đã lây lan đến lớp niêm mạc phổi hoặc đến vùng khác của cơ thể, chẳng hạn xương, có thể gây ra đau xương; lây lan tới não gây đau đầu, gây nên bệnh thần kinh, tràn dịch màng phổi, ung thư lây lan đến các bộ phận khác trong cơ thể.
Theo Helino
