Trong một trường hợp cực kỳ hiếm gặp, việc một người phụ nữ bị mù đột ngột một mắt hóa ra lại là triệu chứng đầu tiên của căn bệnh ung thư phổi chưa được chẩn đoán đã di căn khắp cơ thể cô.
Người phụ nữ lần đầu tiên tìm đến sự chăm sóc y tế sau khi mất thị lực ở mắt phải và thỉnh thoảng thấy ánh sáng lóe lên ở mắt trái trong khoảng 20 ngày. Lúc đó cô ấy 32 tuổi và khỏe mạnh, không có triệu chứng nào khác và không có tiền sử hút thuốc.
Trong lần khám mắt đầu tiên tại bệnh viện, các bác sĩ xác định mắt cô trông khỏe mạnh. Chúng không gây đau hoặc đỏ và các cấu trúc quan trọng của mắt vẫn còn nguyên vẹn – thấu kính trong, đồng tử và mống mắt, hoặc phần màu của mắt, không có biểu hiện bất thường đáng chú ý.
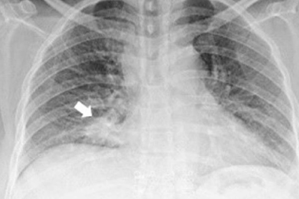
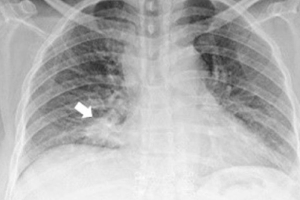
Tuy nhiên, khi kiểm tra kỹ hơn, các bác sĩ phát hiện có một khối lớn màu trắng vàng phát triển ở phía sau mắt phải của cô. Chất lỏng cũng tích tụ dưới võng mạc, phần nhạy cảm với ánh sáng của mắt, khiến nó bị bong ra. Có một vết thương tương tự, nhỏ hơn ở mắt trái của cô, nhưng võng mạc của nó vẫn còn nguyên vẹn.

Hình ảnh mắt phải của bệnh nhân, cho thấy tổn thương ung thư và bong võng mạc
Để xác định nguyên nhân khiến những khối này xuất hiện, các bác sĩ đã kiểm tra máu của người phụ nữ. Họ phát hiện ra rằng cô không có dấu hiệu nhiễm virus hoặc rối loạn máu vì số lượng hồng cầu và tế bào miễn dịch của cô vẫn bình thường. Cô ấy không bị nhiễm virus gây suy giảm miễn dịch ở người (HIV) hoặc bệnh tự miễn dịch, cả hai đều có thể khiến mọi người dễ bị mất thị lực và thay đổi thị lực.
Cuối cùng, kết quả chụp X-quang ngực và quét toàn bộ cơ thể đã tiết lộ thủ phạm - một khối mô ung thư đang phát triển ở phần dưới phổi phải của người phụ nữ. Khối u này đã lan đến nhiều cơ quan khác, bao gồm cả phần mắt được gọi là màng đệm.
Ung thư phát triển ở một bộ phận của cơ thể sau đó lan sang bộ phận khác được gọi là ung thư di căn. Hầu hết khi ung thư lan đến mắt, các khối u di chuyển sẽ tự bám vào màng mạch. Tuy nhiên, điều này hiếm khi xảy ra ở bệnh ung thư phổi, chúng chỉ di chuyển đến mắt trong khoảng 0,1% đến 7% trường hợp.

Các bác sĩ cho biết dù không bị mất thị lực nhưng bệnh ung thư phổi của người phụ nữ này có thể đã tiếp tục lan rộng khắp cơ thể mà không bị phát hiện
Việc bệnh nhân bị suy giảm thị lực là dấu hiệu đầu tiên của bệnh ung thư phổi thậm chí còn hiếm hơn. Cho đến nay, chỉ có khoảng 60 trường hợp như vậy được mô tả trong tài liệu y khoa. Trường hợp của người phụ nữ này thậm chí còn bất thường hơn vì cô không hút thuốc bởi hút thuốc lá có liên quan đến phần lớn các trường hợp ung thư phổi.
Các bác sĩ điều trị cho người phụ nữ này tin rằng trường hợp của cô có thể là ví dụ đầu tiên về việc một phụ nữ không hút thuốc ở độ tuổi của cô bị suy giảm thị lực là triệu chứng đầu tiên của bệnh ung thư phổi. Các bác sĩ đã viết trong một báo cáo về trường hợp của cô, được công bố ngày 17/4 vừa qua trên tạp chí Radiology Case Report (Hoa Kỳ).
Sau khi phát hiện ra bệnh ung thư, người phụ nữ được giới thiệu đến bác sĩ chuyên khoa ung thư để điều trị; báo cáo không ghi chú hiện tại bệnh nhân này thế nào.
Các bác sĩ viết trong báo cáo rằng cần có nhiều nghiên cứu hơn để đảm bảo rằng loại ung thư phổi có vẻ đặc biệt này được chẩn đoán và điều trị kịp thời ở người khác.
Nguồn và ảnh: Live Science
Theo Phụ nữ mới
