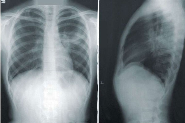
Được gọi là thử nghiệm khe hở Schamroth hoặc thử nghiệm kim cương, mẹo năm giây này nhằm tìm ra móng tay dùi trống (móng tay hình chùy) - dấu hiệu rõ ràng của bệnh. Chỉ cần ép hai móng tay cái hoặc hai móng tay trỏ lại với nhau và xem có khe hở hình kim cương (hình thoi) xuất hiện giữa chúng không. Nếu khe hở không xuất hiện, đó có thể là dấu hiệu của sự tích tụ chất lỏng xung quanh phổi, một dấu hiệu rõ ràng của ung thư phổi - một loại ung thư có tỷ lệ tử vong cao nhất ở Mỹ.

Người khỏe mạnh thường có một khe hở hình kim cương (hình thoi) giữa các móng tay khi họ ép chúng lại với nhau. Nếu khe hở không xuất hiện (ngón tay dùi trống) đó có thể là dấu hiệu của ung thư phổi. Đồ họa: Mail Online
Ngón tay dùi trống hay chứng ngón tay hình chùy là một sự biến dạng của các móng tay hoặc móng chân liên quan nhiều loại bệnh tật, chủ yếu là các bệnh về tim và phổi. Móng tay dùi trống vô căn có thể xảy ra, nhưng là một tình trạng hiếm. Ngón tay dùi trống xảy ra khi mô mềm ở đầu ngón tay sưng lên và làm cho móng tay thay đổi hình dạng. Các cơ chế chính xác vẫn chưa rõ ràng, nhưng các chuyên gia tin rằng nó có thể do sự sản xuất quá mức của yếu tố tăng trưởng nội mô mạch máu (VEGF), một loại protein hướng dẫn mạch máu phát triển. Điều này dẫn đến tăng lưu lượng máu đến các khu vực như ngón tay, cũng như sự tích tụ chất lỏng khắp cơ thể gọi là phù và viêm.
Tuy nhiên, nếu không thấy khe hở hình thoi đó, không có nghĩa là chắc chắn mắc ung thư. Ngón tay dùi trống cũng xuất hiện ở các tình trạng khác như bệnh Celiac, viêm loét đại tràng, vấn đề về tuyến giáp…
Bác sĩ Mỹ Daniel Sugai khuyến nghị thử nghiệm đơn giản này, coi đó là một cách sàng lọc sớm. Ông đặc biệt lo ngại về ung thư phổi ở những người có ngón tay dùi trống. Cô Ashley Vassallo, người được chẩn đoán mắc ung thư phổi giai đoạn bốn ở tuổi 30, cho biết ngón tay dùi trống là một trong những dấu hiệu đầu tiên của bệnh, mặc dù cô không biết về thử nghiệm kim cương cho đến khi cô phải nhập viện.
Theo Tiền Phong
