Chủ đề

nhổ răng

nhổ răng

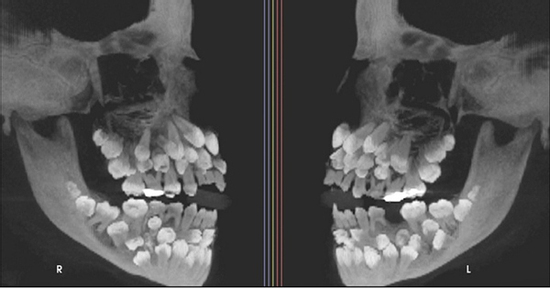
Đi nhổ răng sữa, bé gái khiến nha sĩ sốc nặng khi có 81 chiếc răng

Đi nhổ răng sữa, một bé gái 11 tuổi đã khiến nha sĩ sốc nặng khi phát hiện phim chụp X-quang cho thấy cô bé có 81 chiếc răng trong miệng.

Buổi livestream tàn nhẫn nhổ răng chó sống bán để 'đuổi tà ma' gây phẫn nộ

Hễ có khách đặt hàng, người livestream liền nhổ răng chó đen tại chỗ mà không gây mê để bán làm "bùa" đuổi tà ma, cảnh nhẫn tâm này làm dân mạng Trung Quốc phẫn nộ.

Con trai lén lút đứng ở cửa, giây tiếp theo khiến mẹ chết sững vì hành động bất ngờ, dân mạng ồ lên thích thú

Tưởng con trai đang có âm mưu gì ghê gớm lắm, thế nhưng hành động sau đó của cậu bé cũng đủ khiến mẹ giật bắn mình.

Mất mạng vì nhổ răng, chuyên gia cảnh báo 4 thời điểm tuyệt đối không nhổ răng khôn

Vừa qua, một phụ nữ 42 tuổi ở Malaysia qua đời sau khi nhổ răng khôn mà không rõ nguyên nhân khiến nhiều người thêm hoang mang lo lắng.

Cậu bé 5 tuổi gây tranh cãi vì khóc ầm ĩ đòi chiếc răng vừa nhổ nhưng lý do đằng sau thì lại dễ thương thế này

Việc cậu bé khóc ầm ĩ, hỏi "răng đâu, răng đâu?" khiến nhiều người cảm thấy đau đầu, tuy nhiên, câu chuyện đằng sau lại dễ thương hơn mọi người nghĩ.

Cậu bé 4 tuổi phải nhổ 18 chiếc răng vì cha mẹ quên làm điều này

Vì sự chủ quan và hiểu biết sai lệch của bố mẹ, cậu bé chịu đau đớn phải nhổ cả hai hàm răng, chỉ còn lại 2 chiếc răng nhỏ.

Thầy giáo đi nhổ răng 'mất nửa lít máu' và lời đe dọa nhận phản ứng ngược từ dân mạng

Những dòng phấn trắng viết trên bảng khiến nhiều người đọc phải bật cười.

"Ông bố của năm" hướng dẫn các nhổ răng không đau khiến cộng đồng cười nghiêng ngả

Chắc hẳn hồi bé ai cũng phải thay răng và mọi người cũng thường tìm cho mình những cách nhổ răng để làm sao ít đau nhất có thể.

Cách chữa sâu răng tại nhà mẹ nào cũng nên biết

Sâu răng là một căn bệnh phổ biến nhưng bạn không nên coi thường. Hãy cùng chúng mình xem cách phòng ngừa bệnh rất đơn giản tại nhà nhé.

Những màn nhổ răng cho con siêu bá đạo của các ông bố Việt

Cách nhổ răng bá đạo của các ông bố cùng biểu cảm của cậu con khiến dân mạng thích thú

Răng số 8 có hay biến chứng? Khi nào biến chứng răng số 8 có thể gây tử vong?

Các bác sĩ tại Bệnh viện Răng Hàm Mặt trung ương thường xuyên phải cấp cứu cho các trường hợp bị áp xe trung thất, áp xe họng dẫn đến ngạt thở do biến chứng từ răng số 8.

Răng số 8 - răng khôn mọc... dại: Khi nào cần nhổ, nhổ có nguy hiểm không?

Theo các bác sĩ Bệnh viện Răng hàm mặt Trung ương, không có chuyện nhổ răng số 8 là bị tâm thần, ảnh hưởng tới thần kinh như dân gian vẫn nghĩ.

Đến bệnh viện nhổ răng số 8, một phụ nữ tử vong

Đến bệnh viện nhổ răng số 8 sáng nay 15-3, vừa được tiêm thuốc tê, chưa kịp phẫu thuật, chị Trang (ở Hải Phòng) đã có dấu hiệu khó thở...

Răng khôn thực sự rất... ngu

Mô phỏng chi tiết quá trình nhổ răng khôn, nỗi đau "thấu tận trời xanh"

Bác sỹ nha khoa cảnh báo 2 trường hợp bố mẹ không nên tự nhổ răng sữa cho con tại nhà

Thấy răng lung lay, nhiều bố mẹ liền khích lệ bé tự nhổ răng sữa, thậm chí có phụ huynh còn quyết định tự dùng tay để tác động. Tuy nhiên, những điều này có thể tiềm ẩn nhiều nguy hiểm.

Pha nhổ răng thần thánh

Hồi nhỏ các bạn nhổ răng như thế nào?

Clip: Ông bố nhổ răng cho con trai bằng... xe máy

Ông bố trẻ buộc một sợi dây cước vào xe máy, đầu còn lại vào chiếc răng cửa đang lung lay của cậu con trai. Chỉ một tích tắc sau khi nổ xe, chiếc răng đã biến mất trước sự ngỡ ngàng của cậu bé.

Clip: Những cách nhổ răng 'bá đạo' nhất trên thế giới

Hồi bé, bạn có được nhổ răng bằng những chiêu "có một không hai" giống trong những clip này?

Clip hài hước cậu em nghịch ngợm giúp anh trai nhổ răng

Pha nhổ răng này khiến cho không chỉ các thành viên trong gia đình mà ngay cả dân mạng được một phen "cười ra nước mắt" vì quá đáng yêu.

Thiếu nữ 18 tuổi bị phá hủy khuôn mặt sau khi nhổ 1 chiếc răng và đây là nguyên nhân

Sau khi đi nhổ răng về, thiếu nữ bị sụt cân nhanh chóng và kinh hoàng hơn khuôn mặt của cô bị biến dạng hoàn toàn.