Hơn 373.000 trường hợp đã hồi phục sau khi nhiễm Covid-19 trên toàn thế giới, theo cơ sở dữ liệu của Đại học Johns Hopkins.
"Nếu mọi việc suôn sẻ, hệ thống miễn dịch của bạn sẽ tiêu diệt hoàn toàn tất cả virus trong cơ thể", ông Tom Duszynski, Trưởng khoa dịch tễ học tại Đại học Indiana - Đại học Purdue Indianapolis, viết trên The Conversation.
"Một người được xem là hồi phục khi họ bị nhiễm virus và hết bệnh mà không bị ảnh hưởng sức khỏe lâu dài”.

Các binh sĩ ở Trạm y tế Javits New York tiến hành các thủ tục kiểm tra một bệnh nhân Covid-19 với các nhân viên cấp cứu địa phương tại thành phố New York, ngày 5/4. Ảnh: Reuters.
Tuy nhiên, vẫn còn nhiều điều không chắc chắn. Vẫn chưa rõ có bao nhiêu người đã hồi phục, căn bệnh này sẽ ảnh hưởng đến họ như thế nào trong thời gian dài hoặc họ sẽ được miễn dịch trong bao lâu.
Tiếp tục ho, mệt mỏi kéo dài
Mặc dù hơn 372.000 nhiễm virus corona đã hồi phục trên toàn thế giới, con số thực sự có lẽ còn cao hơn thế.
Dù Đại học Johns Hopkins theo dõi số ca nhiễm và số người chết được báo cáo bởi mỗi khu vực trên toàn cầu, dữ liệu về số ca phục hồi ít chính xác hơn. Nhiều hạt, bang, vùng lãnh thổ và khu vực không ghi nhận có bao nhiêu cư dân đã khỏi bệnh.
“Các trường hợp khỏi bệnh bên ngoài Trung Quốc được ước tính dựa trên tin tức của truyền thông địa phương và con số này có thể thấp hơn đáng kể so với con số thật”, ông Douglas Donovan, phát ngôn viên của Đại học Johns Hopkins, nói với CNN.
Thêm vào đó, do việc xét nghiệm còn hạn chế ở một số quốc gia, bao gồm cả Mỹ, chỉ có những ca nhiễm nghiêm trọng nhất được ưu tiên xét nghiệm.
Những người có các triệu chứng nhẹ hoặc không có triệu chứng ít có khả năng được xét nghiệm. Điều này có nghĩa là nhiều bệnh nhân bệnh nhẹ không được tính vào tổng số ca nhiễm hoặc ca đã hồi phục.
Và nó có thể làm lệch hiểu biết và dự đoán của các chuyên gia về dịch bệnh.
“Biết được số người mắc bệnh sẽ rất hữu ích trong việc tạo ra mô hình dự đoán khi nào bệnh đạt đỉnh và khi nào cuộc sống có thể quay lại bình thường”, ông Bala Hota, giáo sư dịch tễ và là Phó giám đốc Trung tâm Y tế Đại học Rush của Chicago, nói với CNN.
Ông Hota nói nhiều bệnh nhân vẫn bị ho nhẹ và cảm thấy mệt mỏi ngay cả khi được coi là đã hồi phục và không còn truyền virus cho người khác. Có thể mất thời gian dài để hoàn toàn trở lại bình thường sau khi nhiễm Covid-19.
“Có thể mất đến 6 tuần để hồi phục sau khi nhiễm bệnh”, Tiến sĩ Mike Ryan, giám đốc điều hành của Chương trình y tế khẩn cấp của Tổ chức Y tế Thế giới (WHO) nói trong một cuộc họp báo. Những người bị bệnh nặng có thể mất vài tháng để khỏi bệnh.

Nhân viên y tế bên cạnh một bệnh nhân Covid-19 trong phòng chăm sóc đặc biệt tại bệnh viện Circolo ở Varese, Italy, ngày 9/4. Ảnh: Reuters.
Với những bệnh nhân phải dùng máy thở, quá trình này cũng khác biệt.
“Chúng tôi thấy những bệnh nhân thở máy phải dùng máy thở trong vài tuần”, bác sĩ J. Randall Curtis, giáo sư tại Trung tâm y tế Đại học Washington Harborview, nói với US News & World Report.
“Khi cai máy thở, họ thường phải ở trong phòng chăm sóc đặc biệt (ICU) trong vài ngày rồi sau đó nhập viện trong vài ngày đến một tuần để hồi phục”.
Di chứng lâu dài
Ông Shu- Yuan Xiao, giáo sư tại Đại học Y khoa Chicago, nói với ABC News rằng hầu hết người bị Covid-19 nhẹ thường hồi phục mà “không để lại di chứng”. Tuy nhiên, với những bệnh nhân mắc bệnh nặng, tương lai rất mờ mịt.
Cơ quan quản lý bệnh viện ở Hong Kong ghi nhận vào tháng 3 rằng trong nhóm gồm 12 bệnh nhân đã hồi phục sau khi mắc Covid-19, hai đến ba người bị giảm chức năng phổi trong các lần tái khám với các bác sĩ.
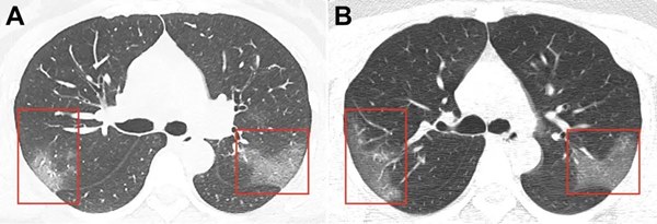
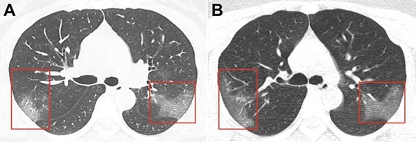
Vài bệnh nhân thở hổn hển khi họ chỉ đi bộ, theo South China Morning Post. Ảnh chụp cắt lớp phổ của 9 bệnh nhân cho thấy dấu hiệu tổn thương.

Ảnh chụp CT phổi của bệnh nhân Covid-19. Các mảng trắng mờ cho thấy phổi đầy dịch. Ảnh: Business Insider.
Tuy nhiên, vì virus corona lần đầu được xác định vào tháng 12, chưa có nhiều thời gian để các nhà khoa học nghiên cứu về những bệnh nhân hồi phục và công bố kết quả.
Mặc dù vậy, các chuyên gia biết viêm phổi nặng có thể để lại di chứng trên cơ thể. Nếu một bệnh nhân bị hội chứng suy hô hấp cấp tính (ARDS), phổi của họ có thể bị xơ hóa.
“Những di chứng của nó cũng giống như di chứng của bất kỳ căn bệnh nào đủ nặng để khiến bạn pahỉ vào ICU”, bác sĩ Amesh Adalja, một chuyên gia về bệnh truyền nhiễm tại Trung tâm An ninh Y tế Johns Hopkins, nói với ABC News.
Cả ông Adalja và ông Xiao đều nói rằng một số bệnh nhân bị bệnh nặng có thể không bao giờ hồi phục hoàn toàn chức năng phổi.
Kháng thể và miễn dịch
Những người đã nhiễm bệnh sẽ có các kháng thể giúp họ chống lại Covid-19. Điều này giúp họ được miễn dịch với virus, nhưng vẫn chưa rõ thời gian được miễn dịch kéo dài bao lâu.
Bác sĩ Anthony Fauci, Giám đốc Viện Nghiên cứu Dị ứng và Bệnh Truyền nhiễm Quốc gia Mỹ và là thành viên của nhóm chống Covid-19 của Nhà Trắng, cho biết rằng ông đã sẵn sàng đặt cược bất cứ thứ gì vào tuyên bố “những người khỏi bệnh được miễn dịch”.
Ông Fauci cũng cho biết rằng vì virus không biến đổi nhiều, những người đã hồi phục có khả năng miễn dịch khi làn sóng lây lan thứ hai vào xuất hiện ở Mỹ vào mùa thu.

Một sinh viên y khoa Stanford xử lý mẫu máu. Ảnh: Getty.
“Nếu bị nhiễm bệnh vào tháng 2, tháng 3 và khỏi bệnh, tôi tin rằng đến tháng 9, tháng 10 tới, người đó sẽ được bảo vệ khỏi virus”, ông Fauci nói thêm.
Đó là lý do tại sao xác định những người đã khỏi bệnh sau khi nhiễm virus là điều cấp bách trong cuộc chiến chống lại dịch bệnh. Những người này có thể quay lại làm việc mà vẫn an toàn.
Một số công ty đang phát triển các xét nghiệm máu giúp phát hiện kháng thể Covid-19 để xác định người được miễn dịch.
“Điều này có thể giúp chúng ta tìm ra những người có thể đưa đất nước về nhịp sống bình thường”, ông Florian Krammer, giáo sư về vắc-xin tại Trường Y khoa Icahn của Mount Sinai, nói với Reuters. “Những người có khả năng miễn dịch với virus là những người đầu tiên có thể quay lại cuộc sống bình thường”.
Tuy nhiên, một số thông tin đã đặt ra những lo ngại rằng khả năng miễn dịch không kéo dài như chúng ta hy vọng. Trung tâm kiểm soát và phòng ngừa dịch bệnh Hàn Quốc (CDC) cho biết hôm 6/4 rằng 51 người hồi phục sau khi nhiễm Covid-19 được phát hiện dương tính trở lại.
Trung Quốc cũng ghi nhận các trường hợp tương tự. Nhưng tổng giám đốc của CDC Hàn Quốc, bà Jeong Eun-kyeong, nói rằng có virus ở 51 bệnh nhân hoạt động trở lại chứ không phải họ bị tái nhiễm.
Theo Zing
