Thông qua những hình chụp X-quang, các bác sĩ đã rất bất ngờ khi phát hiện trong cơ thể bệnh nhân có những đồ vật kỳ lạ.
Những hình ảnh chụp X-quang được các
nhân viên y tế chia sẻ trên Radiopaedia, một trang web chuyên chia sẻ
tài liệu của sinh viên y tế, cho thấy có những bệnh nhân có vẻ đã nuốt
một chai khử mùi, một cây lăn bột, một bình cà phê và thậm chí nuốt cả
một trái cam vào trong người.

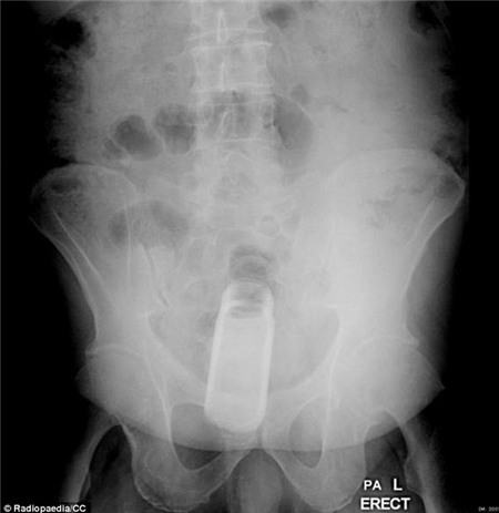
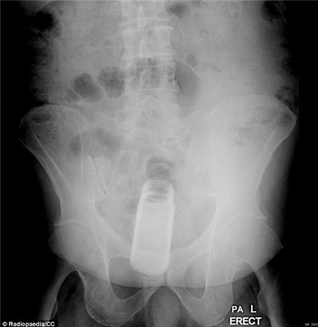
Đây
là hình chụp X-quang của một người đàn ông 40 tuổi. Trong trực tràng
của là một cái chày cán. Ông nói rằng mình trượt tay khi đang nấu món ăn
Malaysia khiến nó rơi vào trong trực tràng.

Trong
khi đó, một bệnh nhân khác thậm chí còn có một hộp café của một hãng
nổi tiếng trong người. Hộp café này vẫn còn nguyên nắp cao su.

Nhân viên y tế đã không thể nhịn cười khi nhìn tấm X-quang của một bệnh nhân mà bên trong hậu môn của anh là một… chiếc chai.

Trong khi đó, một bệnh nhân khác lại có một chiếc máy rung ở hậu môn.

Ghê
hơn nữa, một bệnh nhân có hẳn một quả cà tím trong người. Quả cà tím
này đã gần ra đến hậu môn nhưng bất ngờ lại trồi lên khu vực đại tràng
và có thể lên cao hơn nữa.

Còn với một bệnh nhân khác, đó là một cái chai khử mùi và không ai có thể hiểu tại sao nó lại chui được vào người.

Thật khó tin là nguyên một quả cam có thể chui xuống đến tận trực tràng của bệnh nhân này.
Theo Tri Thức Trẻ