Khi nào bạn nên lo lắng về những vết phồng rộp, sưng hoặc viêm ở trong miệng? Đây là những thông tin bạn cần biết để phân biệt nhiệt miệng với dấu hiệu ung thư khoang miệng.
Theo Hiệp hội Ung thư Mỹ, trong năm 2017, có khoảng 49.670 người được chẩn đoán bị ung thư khoang miệng và hầu họng, trong đó có khoảng 9.700 ca tử vong.
Ung thư khoang miệng có thể ảnh hưởng đến bất kỳ bộ phận nào trong miệng hoặc khoang miệng, bao gồm: môi, mô ở bên trong môi và má, răng, 2/3 phía sau của lưỡi (một phần của họng), lợi, vùng dưới lưỡi và vòm họng.
Thế khi nào bạn nên lo lắng về những vết phồng rộp, sưng hoặc viêm ở trong miệng? Đây là những thông tin bạn cần biết.

Phân biệt nhiệt miệng và dấu hiệu ung thư khoang miệng
Biết cách phân biệt giữa nhiệt miệng với ung thư khoang miệng là rất cần thiết.
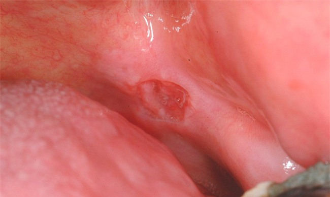
- Một vết lở loét trong miệng thường nóng, rát và có cảm giác ngứa ran trước khi chúng ta có thể nhìn thấy nốt nhiệt xuất hiện.
Các nốt nhiệt miệng có thể gây đau, nhưng lại lành tính. Điều này có nghĩa là chúng không phát triển thành ung thư. Trong những giai đoạn sớm, ung thư khoang miệng hiếm khi gây ra đau đớn.
- Vết loét, dấu hiệu sự phát triển của các tế bào bất thường thường có hình dạng bằng phẳng trong khi nốt nhiệt miệng thường như vết loét, thường bị lõm ở giữa. Vùng giữa của nốt nhiệt miệng có thể có màu trắng, xám hoặc màu vàng, và phần rìa thường có màu đỏ.
- Nhiệt miệng thường sẽ khỏi trong vòng 2 tuần. Do vậy, thấy bất kỳ khối u cục, vết sưng đỏ nào trong miệng kéo dài hơn 2 tuần, bạn nên đi khám bác sĩ.
Nguồn gốc của vấn đề
Các tế bào phẳng che phủ bề mặt của miệng, lưỡi, và môi được gọi là tế bào vảy. Phần lớn các trường hợp mắc ung thư khoang miệng sẽ bắt đầu từ những tế bào này.
Một vết xuất hiện trên lưỡi, lợi, vùng amidan hoặc niêm mạc miệng có thể là dấu hiệu cảnh báo bệnh sớm.
Một vết bất thường màu trắng hoặc đỏ bên trong miệng hoặc môi có thể là triệu chứng của ung thư tế bào vảy.
Một số dấu hiệu điển hình có thể nhìn thấy và cảm nhận được của ung thư khoang miệng là da có vẻ dày hơn hoặc có nhiều nốt sần sùi hoặc có các vết loét lâu ngày không khỏi.
Điều quan trọng là bạn cần phải chú ý đến thời gian xuất hiện các điều bất thường này. Các tổn thương không gây ung thư thường có xu hướng biến mất trong vài tuần.
Những đốm trắng và đỏ xen kẽ nhau
Những đốm trắng hoặc đỏ xuất hiện xen kẽ bên trong miệng được gọi là erythroleukoplakia, là sự phát triển bất thường của các tế bào và dễ phát triển thành ung thư.
Nếu các đốm trắng và đỏ kéo dài hơn 2 tuần, bạn nên đi khám nha sĩ. Bạn có thể cảm nhận được những bất thường trong miệng trước khi thấy những đốm này. Ở giai đoạn sớm, ung thư khoang miệng có thể không gây ra đau đớn.
Những đốm đỏ
Những đốm đỏ tươi trong miệng mà bạn có thể cảm nhận và nhìn thấy được được gọi là erythroplakia. Chúng thường là dấu hiệu tiền ung thư.
Khoảng 75 - 90% số trường hợp, erythroplakia là ung thư, do vậy, đừng coi thường bất kỳ đốm màu đỏ nào trong miệng bạn. Nếu bạn có erythroplakia, nha sỹ có thể sẽ tiến hành sinh thiết những tế bào này.
Những đốm trắng
Những đốm màu trắng hoặc xám xuất hiện bên trong miệng hoặc môi được gọi là bạch sản (hoặc dày sừng). Răng sâu, răng giả bị vỡ hoặc thuốc lá có thể là nguyên nhân gây ra những mảng màu này.
Thói quen nhai bên trong má hoặc môi cũng có thể dẫn đến sự phát triển bất thường của bạch sản. Tiếp xúc với các chất gây ung thư cũng khiến các đốm này xuất hiện.
Những đốm trắng cho thấy lớp mô bất thường và có thể trở nên ác tính. Nhưng đa số các trường hợp là lành tính.
Những đốm này có thể cứng và rất khó bong ra. Bạch sản thường phát triển chậm, trong khoảng vài tuần hoặc vài tháng.
Cách kiểm tra vết lở loét trong miệng
Bạn có thể sẽ tìm thấy erythroplakia ở bất cứ chỗ nào trong miệng nhưng chúng thường xuất hiện ở dưới lưỡi hoặc ở phần lợi gần những răng trong cùng.
Kiểm tra khoang miệng cẩn thận, thường 1 lần/tháng để phòng ngừa những dấu hiệu bất thường. Sử dụng một chiếc kính lúp và đứng dưới ánh sáng để nhìn rõ bên trong miệng hơn.
Uốn cong lưỡi lên và dùng ngón tay (đã rửa sạch) để kiểm tra vùng dưới lưỡi. Kiểm tra 2 bên lưỡi, bên trong má và môi (cả bên trong lẫn bên ngoài).
Theo Trí thức trẻ
