Nghiên cứu do Viện Pasteur, Bệnh viện Necker-Enfants Malades, Đại học Đại học Paris Cite và Trường Thú y Quốc gia Alfort (Pháp) thực hiện, đồng thời công bố trên Tạp chí Bệnh truyền nhiễm mới nổi.
Circovirus là một họ virus DNA nhỏ, có sức đề kháng cao, được xác định lần đầu vào năm 1974 ở nhiều loài động vật khác nhau. Chúng có thể gây ra các vấn đề về hô hấp, thận, da liễu, sinh sản.

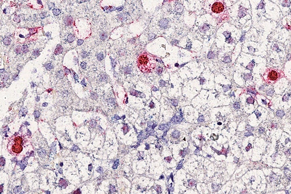
Virus này cũng liên quan đến tổn thương gan ở những bệnh nhân đang điều trị ức chế miễn dịch. Các nhà khoa học tìm thấy virus nhân lên trong 2% đến 3% số tế bào gan bị nhiễm bệnh. Họ chỉ ra rằng HCirV-1 sử dụng tài nguyên trong tế bào gan để tự sao chép và phá hủy tế bào trong quá trình đó.
Trong nghiên cứu, các chuyên gia đã xác định virus ở một bệnh nhân châu Âu. Người này bị viêm gan mạn tính không rõ nguyên nhân, ít triệu chứng, ghép tim phổi 17 năm trước và theo dõi sức khỏe thường xuyên kể từ đó.
"Chúng tôi đã tiếp cận một lượng lớn mẫu bệnh phẩm trong vài năm. Việc xác định virus mới này là điều hoàn toàn bất ngờ", Marc Eloit, giáo sư virus học, Trưởng phòng thí nghiệm Khám phá mầm bệnh của Viện Pasteur, tác giả nghiên cứu, cho biết.
Các nhà khoa học bắt đầu giải trình tự mẫu mô của nữ bệnh nhân 61 tuổi kể từ tháng 3/2022 và phân tích, so sánh với trình tự của vi khuẩn, virus đã biết. Theo giáo sư Eloit, mục tiêu là xác định trình tự đặc biệt trong những mẫu đã thu thập.
Ông và các đồng nghiệp đã phân tích hàng nghìn RNA bằng những thuật toán phức tạp. Sau khi loại trừ các nguyên nhân thông thường, họ xác định loại virus chưa từng được biết đến trước đây và tạm thời đặt tên là HCirV-1.
Chẩn đoán viêm gan không rõ nguyên nhân vẫn là thách thức lớn, thể hiện qua các trường hợp viêm gan cấp tính được báo cáo ở trẻ em. Tổ chức Y tế Thế giới (WHO) cũng cảnh báo về rào cản này vào năm ngoái.
"Chúng ta cần biết nguyên nhân gây bệnh viêm gan. Hiểu được bệnh có do virus gây ra hay không mới có hướng điều trị phù hợp, theo dõi bệnh nhân hiệu quả. Việc xác định virus mới gây bệnh ở người và phát triển xét nghiệm phù hợp sẽ cung cấp công cụ mới để chẩn đoán và theo dõi bệnh nhân viêm gan", Anne Jamet, giáo sư Khoa Vi sinh lâm sàng tại Bệnh viện Necker-Enfants Malades, cho biết.
Các loại circoviruses trước đó thường gây bệnh ở động vật, đã có vaccine phòng ngừa. Đây là lần đầu tiên các chuyên gia phát hiện loại circoviruses lây lan ở người. Triệu chứng của bệnh nhân hiện khá nhẹ. Sau khi điều trị bằng thuốc kháng virus, men gan của người bệnh trở lại bình thường./.
Theo VOV
