
Nhầm với trúng gió
Chị M.N.H. (39 tuổi, trú ở Hà Nội) vừa vượt qua ca mổ đốt sống cổ. Với chị, đây là ca mổ nhớ đời nhất, nếu chậm trễ, chị có thể đối diện với nguy cơ liệt.
Vốn có tiền sử đau lưng nhẹ, người phụ nữ này khá chủ quan khi một buổi sáng thức dậy thấy đau vùng cổ vai gáy. Nghĩ bị “trúng gió”, chị nhờ chồng đánh gió bằng trứng và bạc theo thói quen dân gian. Tuy nhiên, khác với những lần trước, cơn đau của chị không hề thuyên giảm. Sau đó, người phụ nữ trẻ tìm đến các phòng khám y học cổ truyền để bấm huyệt, châm cứu trong vài ngày nhưng tình trạng vẫn không cải thiện, thậm chí còn nặng hơn.
Ban đầu, cơn đau chỉ âm ỉ, lan từ vai xuống tay nhưng đến đêm thì tăng dần và trở nên dữ dội. Đỉnh điểm là sáng hôm sau, chị gần như không thể tự ngồi dậy hay xoay người vì đau.
“Tư thế nào cũng đau, chỉ cần nhúc nhích là không chịu nổi”, chị H. nhớ lại. Dù vậy, chị vẫn cố đi làm nhưng đến trưa thì không thể chịu đựng thêm và buộc phải nhập viện.
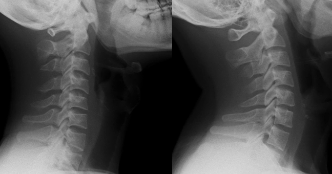
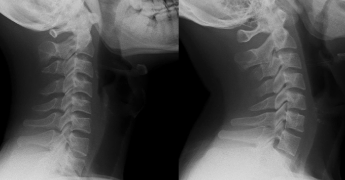
Kết quả chụp cộng hưởng từ cho thấy tình trạng nghiêm trọng: Khối thoát vị không chỉ chèn ép dây thần kinh mà còn chèn vào tủy sống. Ban đầu, chị vẫn hy vọng có thể điều trị bảo tồn để tránh phẫu thuật. Tuy nhiên, sau khi thăm khám chuyên sâu, bác sĩ cảnh báo mức độ chèn ép đã lên tới 2/3 tủy sống, nguy cơ liệt rất cao nếu không can thiệp kịp thời.

Trong tình trạng đau buốt, đầu lệch hẳn sang một bên, tay co quắp, chị H. cùng gia đình phải sớm ra quyết định mổ hay điều trị nội khoa. Cuối cùng, hai vợ chồng quyết định phẫu thuật. Ca mổ diễn ra ngay sau đó và điều khiến chị bất ngờ là ngay khi tỉnh dậy, cơn đau cổ vai gáy gần như biến mất hoàn toàn.
Chị H. được thông báo đĩa đệm đã vỡ thành nhiều mảnh, nếu không phẫu thuật thì không có phương pháp nào có thể phục hồi.
Lối sống bào mòn cột sống người trẻ
Theo PGS.TS Nguyễn Lê Bảo Tiến, Phó Giám đốc Bệnh viện Đại học Y Dược, Đại học Quốc gia Hà Nội (cơ sở Linh Đàm) - người trực tiếp mổ cho chị Huyền, tình trạng này không hiếm gặp ở người trẻ hiện nay.
Điều đáng lo ngại là chị H. đến viện khi bệnh đã ở giai đoạn nặng. Một trong những dấu hiệu “báo động đỏ” là cơn đau kéo dài liên tục 24 giờ, không giảm ngay cả khi nghỉ ngơi, thậm chí khiến người bệnh thức giấc vì đau.
Bên cạnh đó là tình trạng co cứng cổ hoặc lưng, tay chân yếu, khó cử động - những phản ứng tự bảo vệ của cơ thể khi tủy sống bị chèn ép. Vì vậy, các bác sĩ buộc phải chỉ định phẫu thuật. Trong quá trình mổ, bác sĩ ghi nhận khối thoát vị rất lớn và phức tạp.

Trường hợp trên nếu đến muộn hơn, chỉ cần một tác động mạnh như phanh gấp khi đi ô tô hoặc cử động cổ quá mức, đặc biệt khi không có nẹp bảo vệ, cũng có thể dẫn đến nguy cơ liệt toàn thân.
PGS Nguyễn Lê Bảo Tiến cho biết, các yếu tố khiến cột sống cổ lão hóa nhanh ở người trẻ hiện nay chủ yếu đến từ lối sống hiện đại, đặc biệt là “đại dịch ngồi” - ngồi làm việc quá lâu mỗi ngày. Việc ít vận động, thừa cân, hút thuốc, ăn uống thiếu lành mạnh, thức khuya và căng thẳng kéo dài đều góp phần làm cột sống bị quá tải, khiến đĩa đệm thoái hóa sớm.
Các chuyên gia khuyến cáo, để phòng tránh bệnh lý cột sống, người trẻ cần duy trì vận động tối thiểu 30 phút mỗi ngày, kết hợp các bài tập tăng cường cơ lưng và cơ cổ. Đồng thời, mỗi người cần kiểm soát cân nặng, xây dựng chế độ ăn hợp lý, hạn chế thức ăn nhanh, rượu bia và thuốc lá. Quan trọng hơn, khi xuất hiện các dấu hiệu đau kéo dài, bạn không nên chủ quan tự điều trị mà cần thăm khám sớm để tránh những hậu quả đáng tiếc.
Thoát vị đĩa đệm không còn là câu chuyện của tuổi già. Khi lối sống thay đổi, bệnh cũng trẻ hóa và nếu không được nhận diện kịp thời, bất kỳ ai cũng có thể trở thành nạn nhân.

Theo VietNamNet