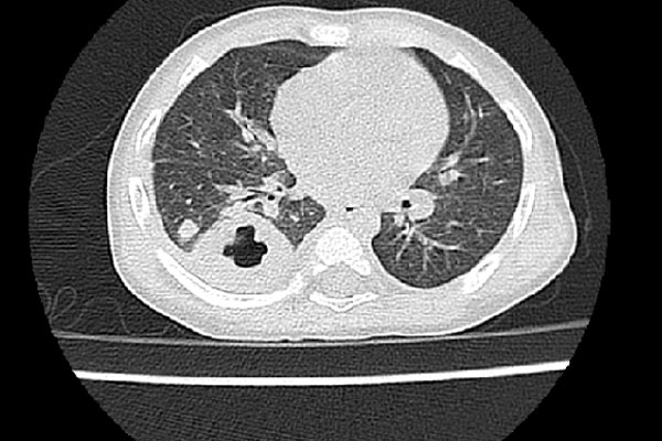
Thông tin từ khoa Nhi - Bệnh viện đa khoa Hùng Vương tiếp nhận trường hợp trẻ nhi 11 tháng vào viện vì sốt ngày thứ 7, đã điều trị tại bệnh viện huyện 5 ngày nhưng trẻ vẫn còn sốt cao từng cơn 40 độ C, trong cơn sốt trẻ rét run, ho đờm nhiều, khò khè. Nhận thấy đây là tình trạng nặng các bác sĩ khoa Nhi đã cho trẻ làm các xét nghiệm máu, chụp X-Quang tim phổi, cấy máu, chụp cắt lớp vi tính phổi.
Sau khi có kết quả, trẻ được chẩn đoán Nhiễm khuẩn huyết, áp xe phổi. Điều trị kháng sinh liều cao phổi rộng. Sau 3 ngày có kết quả cấy máu DƯƠNG TÍNH với Whitmore (Burkholderia pseudomallei).
Sau khi hội chẩn toàn viện và hội chẩn các bác sĩ Bệnh viện Nhi Trung Ương, ngoài vấn đề dùng kháng sinh điều trị bệnh, trẻ còn cần phải can thiệp các phẫu thuật ngoại khoa dẫn lưu mủ trong phổi nên đã thống nhất chuyển trẻ về tuyến trung ương điều trị tiếp.
Theo Bác sỹ Phạm Văn Hà - Khoa Nhi tại bệnh viện, bệnh "vi khuẩn ăn thịt người" (tên khoa học Whitmore) là căn bệnh truyền nhiễm rất khó phát hiện do dễ nhầm lẫn với các bệnh khác và không được điều trị kịp thời. Ngay cả khi được chẩn đoán đúng bệnh, việc điều trị cũng vô cùng khó khăn và có nguy cơ tử vong cao.

Bệnh vi khuẩn "ăn thịt người" Whitmore (hay còn gọi là melioidosis) là bệnh truyền nhiễm nguy hiểm cấp tính do vi khuẩn gram âm có tên Burkholderia pseudomallei gây nên. Vi khuẩn này sống trên bề mặt nước và trong đất đặc biệt là bùn đất, lây sang người qua vết trầy xước trên da hoặc qua đường hô hấp khi hít phải các hạt bụi đất hoặc giọt nước li ti trong không khí có chứa vi khuẩn, nhất là vào mùa mưa
Theo bác sĩ Hà bệnh Whitmore biểu hiện ở các vị trí khác nhau nên dấu hiệu và triệu chứng cũng khác nhau:
- Nhiễm trùng phổi: Tác động của nhiễm trùng phổi có thể từ viêm phế quản nhẹ đến viêm phổi nặng với các triệu chứng như sốt, nhức đầu, chán ăn, ho, khó thở, đau ngực và đau nhức cơ.
Hòa Bình: Phát hiện ca mắc Whitmore - căn bệnh bị đồn đoán là "vi khuẩn ăn thịt người"
- Nhiễm trùng cục bộ: Đau hoặc sưng ở một vùng nhất định (khu trú), chẳng hạn như tuyến mang tai, nơi thường liên quan nhất với quai bị và nằm bên dưới và phía trước tai. + Nhiễm trùng trên da (viêm mô tế bào) với các dấu hiệu đau hoặc sưng, loét và áp xe, kèm theo sốt và đau cơ.
- Nhiễm trùng máu: Nếu vi khuẩn Whitmore xâm nhập vào máu sẽ gây nên tình trạng nhiễm trùng máu với các triệu chứng gồm: sốt cao rét run, đau đầu, đau họng, khó thở, đau vùng bụng trên, tiêu chảy, đau khớp và đau cơ, vết loét có mủ trên da…
- Nhiễm trùng lan tỏa: Vết loét hình thành ở nhiều cơ quan khác nhau rải rác trên cơ thể, sụt cân, đau đầu, co giật, đau ở các bộ phận khác nhau (ngực, dạ dày, cơ, khớp).
Những lưu ý để phòng bệnh vi khuẩn Whitmore
- Mang giày, ủng và găng tay bảo hộ khi làm việc ở môi trường nước.
- Tránh tiếp xúc với những nơi có nguồn nước, đất bị ô nhiễm nếu mắc bệnh tiểu đường, viêm thận mãn tính có vết xước, hay vết thương hở trên da.
- Tránh ra đường trong mùa mưa bão, nước ngập vì vi khuẩn gây bệnh Whitmore có thể sống rất lâu trong môi trường này; hoặc che chắn, băng bó vết thương cẩn thận nếu phải ra ngoài lúc trời mưa bão.
- Nhân viên y tế nên đeo khẩu trang, găng tay và áo khoác diệt khuẩn khi làm việc.
- Luôn khử trùng thớt, dao và thường xuyên thay miếng rửa chén trong gia đình
- Uống nước đun sôi, nước đóng chai.
- Nếu nghi ngờ mắc bệnh Whitmore, hãy đến ngay cơ sở y tế để được thăm khám và điều trị kịp thời.
Theo Pháp luật và bạn đọc
