Chủ đề

sán lá gan

sán lá gan

Mệt mỏi vào viện khám, tá hỏa phát hiện sán lá gan sinh sôi khắp cơ thể

Thường xuyên đau, mệt mỏi, bà Đ. (trú huyện Anh Sơn, Nghệ An) thăm khám thì bàng hoàng phát hiện sán lá gan sinh sôi khắp nơi trên cơ thể.

Tưởng mụn ở ngực, cô gái Sơn La nặn ra con sán ngoe nguẩy

Cô gái trẻ phát hiện vùng ngực phải có nốt đỏ, đau nhẹ và ngứa nhưng khi nặn ra thấy sinh vật ngoe nguẩy.

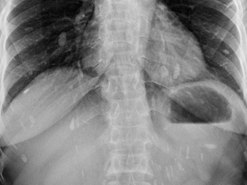
Sán bò lúc nhúc trong phổi nam thanh niên khiến ai cũng kinh hãi: Chuyên gia cảnh báo loại đồ ăn gây chứng bệnh này

Sán lá phổi hoành hành trong phổi của nam thanh niên, khi được tra hỏi mới vỡ lẽ là do thói quen ăn sống món ăn quen thuộc này.

Mắc sai lầm khi ăn uống, cháu bé 5 tuổi bị sán làm tổn thương cả gan và phổi

Thói quen ăn gỏi hải sản hoặc ăn tôm, cua cá chưa được nấu chín có nguy cơ cao bị nhiễm sán lá phổi. Gây ra những bệnh lý về phổi, tổn thương phổi do ký sinh trùng.

Đi khám họng, ai ngờ lại phát hiện trăm thứ kinh dị trong gan chỉ vì thích ăn món này

Thấy cổ họng bị khó chịu, người đàn ông mới đi khám và bất ngờ phát hiện ra một ổ ký sinh trùng trong gan.

Ổ mủ trong gan vì thích ăn gỏi, nem chua

Bệnh nhân đến viện do sốt cao, rét run không rõ nguyên nhân. Khi xét nghiệm, bác sĩ phát hiện gan đã bị áp xe.

Nguy kịch do nhiễm sán lá gan khi ăn đồ sống

Các bác sĩ cảnh báo, sau một thời gian cảnh giác, gần đây, người dân ở một vài địa phương lại quay lại thói quen ăn sống như gỏi cá, rau sống, nem thịt sống…