Gần đây, chụp ảnh bầu để lưu lại quãng thời gian đặc biệt trong đời đang trở thành một trào lưu khá phổ biến. Trong đó, chụp cùng các nhân vật hoạt hình nổi tiếng là một trong những phong cách được nhiều mẹ bầu ưa chuộng.
Vậy nhưng bức ảnh mẹ bầu chụp cùng chú cá Nemo trong bộ phim nổi tiếng "Đi tìm Nemo" không chỉ thu hút sự chú ý vì đi đúng xu hướng mà còn vì câu chuyện ngọt ngào đằng sau nó.

Bức ảnh bố mẹ cùng nâng niu chú cá Nemo một vây to, một vây nhỏ.
Tayler Borre là người đã đăng tải bức ảnh lên mạng xã hội và cũng chính là mẹ bầu trong bức ảnh. Chị giải thích rằng chú cá Nemo với 1 vây lớn, 1 vây nhỏ này có ý nghĩa đặc biệt đối với gia đình cô.
"Hầu hết mọi người đều nghĩ đây là bức ảnh chụp mẹ bầu thật đáng yêu với nhân vật Nemo của Disney. Nhưng với gia đình tôi, bức ảnh này còn mang ý nghĩa nhiều hơn thế.

Đằng sau đó là cả một câu chuyện đầy ý nghĩa.
Ngày 2/7, tôi đi siêu âm thai theo lịch hẹn. Thật tuyệt vời khi được nhìn thấy con, gương mặt bé nhỏ, đôi chân, tất cả các cơ quan của con đều hoàn hảo. Nhưng sau đó, bác sĩ của tôi bảo rằng ông sẽ giới thiệu một bác sĩ chuyên khoa nhi cho tôi. Lúc đó tôi rất hoang mang, lo sợ. Tôi cố gắng hỏi có chuyện gì đã xảy ra nhưng bác sĩ không giải thích cặn kẽ. Ông chỉ nói nửa trên của con nhìn không rõ nên ông sẽ giới thiệu tôi đến bệnh viện nhi để có thiết bị siêu âm tốt hơn.
Tôi cực kỳ hoảng sợ. Không biết chuyện gì đang xảy ra với đứa con bé bỏng của tôi.
Lần khám thứ hai, các bác sĩ chẩn đoán con gái tôi gặp phải biến chứng dải sợi ối và sẽ sinh ra mà không có bàn tay trái.", Borre kể lại.

Vợ chồng Borre hạnh phúc vì ngoài vấn đề với tay trái, con vẫn khỏe mạnh và phát triển bình thường.
Cũng giống như Nemo, đứa trẻ Borre sinh ra sẽ có một "chiếc vây may mắn". Borre chia sẻ: "Tôi thật sự không dám nghĩ đến việc mọi người sẽ đối xử ra sao với một đứa trẻ khác biệt. Tôi đương nhiên không muốn bất cứ điều gì sai trái xảy ra với con. Nhưng tôi cũng thấy yên tâm vì mọi chỉ số khác đều bình thường, con bé rất khỏe mạnh. Con bé là Nemo của chúng tôi. Dù có một "vây" nhỏ hơn nhưng con bé sẽ chinh phục được bất cứ điều gì mà trái tim nhỏ bé của con bé muốn".
|
BIẾN CHỨNG DẢI SỢI ỐI Dải sợi ối là gì? Dải sợi ối (hay còn gọi là vách ngăn buồng ối) là hiện tượng xuất hiện một hoặc nhiều sợi dây bắt ngang buồng ối. Cho đến nay, y học cũng chưa xác định được nguyên nhân nào khiến dải sợi ối xuất hiện. Chúng được xác định là xuất hiện ngẫu nhiên, không phải do di truyền, cũng không phải do bất cứ vấn đề gì từ sức khỏe người mẹ tạo nên. Vì vậy, một người mẹ không may đã có một đứa con dị tật do dải sợi ối thì cũng không ảnh hưởng đến lần mang thai tiếp theo. Điều này đồng nghĩa với việc người mẹ đó vẫn hoàn toàn có thể sinh ra những đứa con khỏe mạnh bình thường.
Những gì diễn ra trong tử cung khi có dải sợi ối xuất hiện. Một giả thuyết được chấp nhận nhiều nhất giải thích nguyên nhân của hiện tượng này là do lớp màng bên trong của túi ối (màng ối) bị vỡ mà không gây tổn thương màng ngoài (màng đệm). Cùng với sự vỡ ra này, những mảnh màng ối trôi nổi trong nước ối và có thể quấn vào tay, chân hay bất kỳ bộ phận nào của thai nhi, gây ra các dị tật bẩm sinh được phát hiện với các kiểm tra siêu âm hoặc nhìn thấy bằng mắt thường ngay khi bé được sinh ra. Vì sao dải sợi ối gây dị tật thai nhi? Nếu sợi dây được xác định là không căng và dày thì có khả năng ảnh hưởng đến sự phát triển của thai nhi. Các sợi này quấn vào cơ thể bé, khiến phần cơ thể đó không thể lưu thông máu. Nguy hiểm ở chỗ, nếu dải sợi ối quấn chặt tay chân có thể làm chân tay bị cắt cụt hoàn toàn. Còn nếu dải sợi ối bắt ngang qua khuôn mặt của em bé, nó có thể làm em bé bị hở hàm ếch. Cũng có rất nhiều trường hợp thương tâm vì dải sợi ối này mà em bé sinh ra với chân cà khoèo. Thậm chí, người mẹ có thể sẩy thai ngay lập tức nếu dải sợi ối quấn quanh dây rốn. Nếu trường hợp của mẹ bị dải sợi ối nhưng đó là một đoạn căng và mảnh thì các mẹ không nên lo lắng vì trường hợp này ít có khả năng ảnh hưởng đến bé. Những dị tật bẩm sinh gây ra bởi hiện tượng này được gọi chung là Hội chứng dải sợi ối (Amniotic Band Syndrome – ABS). Những vấn đề này thường bao gồm: - Khoèo chân - Xương ngón tay phát triển không bình thường - Dính ngón chân - Dị tật ngón tay: Ngón tay có những đoạn trông như bị xiết lại - Chiều dài các chi bất thường - Hiện tượng tay, chân có những đoạn lõm do bị xiết chặt - Dải sợi ối quấn qua mặt gây hở hàm ếch - Nếu dải sợi ối quấn quá chặt ở tay hay chân, nhiều khả năng là tay và chân đó sẽ phải bị cắt cụt. - Dải sợi ối cũng là nguyên nhân dẫn đến sảy thai, khi những dải ối quấn chặt dây rốn làm thai nhi không thể lấy được chất dinh dưỡng và bị chết trong bụng mẹ.
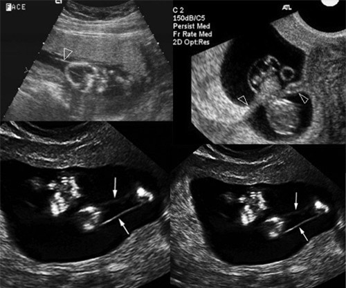
Hiện tượng dải sợi ối được phát hiện thông qua siêu âm. Những điểm có dải sợi ối được đánh dấu bằng mũi tên Hiện tượng dải sợi ối xác định bằng cách nào? Phát hiện mẹ bầu có bị dải sợi ối hay không là dựa vào siêu âm hình thái có thể thấy được em bé có bị dị tật hay không. Vì vậy, với những mẹ rơi vào trường hợp hợp này cần phải đi khám thai thường xuyên để được theo dõi kỹ lưỡng. Trên thế giới, các ca phẫu thuật cho thai nhi đã được tiến hành. Các chuyên gia sẽ mở tử cung của mẹ, làm các phẫu thuật thích hợp cho thai nhi rồi đặt bé trở lại trong tử cung và tiếp tục phát triển cho đến ngày chào đời. Đây cũng là hướng giải quyết cho những trường hợp dải sợi ối nghiêm trọng. Ngoài ra, với những dị tật do dải sợi ối như dính ngón tay, dính ngón chân, cụt ngón tay, chân khoèo, các bác sỹ có thể tiến hành các ca phẫu thuật chỉnh hình để khắc phục. |



