Sau khi tới bệnh viện khám định kỳ, một bệnh nhân ở Ấn Độ đã được phát hiện có tới 75 cây kim trong tay, chân và cổ.
Daily Mail đưa tin, ông Badrilal Meena (56 tuổi) đến từ TP Kota, bang Rajasthan, miền Bắc Ấn Độ được đưa vào bệnh viện để phẫu thuật ngón chân cái thì bác sĩ phát hiện trong chân ông có nhiều cây kim. Sau khi tiếp tục kiểm tra, các bác sĩ phát hiện có tới 75 cây kim trong cơ thể ông Meena. Trong số 75 cây kim, có 40 cây nằm trong cổ họng, 25 cây ở chân và 2 cây ở cánh tay.
![]() |
|
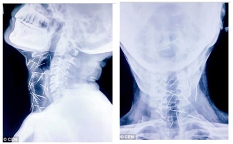
Ảnh chụp X-quang cho thấy kim nằm trong cổ bệnh nhân. Ảnh: DAILY MAIL |
![]() |
|
Chân và tay bệnh nhân cũng có hàng chục cây kim khác. Ảnh: DAILY MAIL |
Bản thân ông Meena và gia đình đều không hề biết tại sao trong người ông lại có nhiều cây kim như vậy. Tuy nhiên theo các bác sĩ, những cây kim này đã được đưa vào một cách cố ý.
Hiện chưa có bệnh viện nào chấp nhận thực hiện phẫu thuật gỡ bỏ các cây kim trên người ông Meena. Hiện ông phải nằm trên giường bệnh để chờ tin tốt lành có đến với mình hay không. Ông Meena đang làm việc cho một công ty đường sắt địa phương. Ông hiện nằm tại bệnh viện đường sắt Mumbai.
![]() |
|
Ông Meena cùng gia đình không hề biết tại sao trong người ông lại có nhiều cây kim như vậy. Ảnh: DAILY MAIL |
Con trai ông, Rajendra, cho biết ông Meena cảm thấy đau ở chân nên gia đình đưa ông đến bệnh viện để phẫu thuật. Tuy nhiên giờ mới phát hiện ra ông bị đau là do những cây kim này. Anh Rajendra cho biết: "Chúng tôi rất hoảng sợ khi nhìn thấy ảnh chụp X-quang. Không biết tại sao trong cơ thể cha tôi lại có những cây kim này. Tôi đã hỏi ông vài lần nhưng ông không hề có ấn tượng gì về chuyện này”.
Theo Pháp Luật TPHCM


