Ăn chung đũa, chấm chung một chén nước chấm hay thậm chí dùng miệng mớm cơm cho con cũng có thể làm phát tán vi khuẩn HP gây nên bệnh viêm loét dạ dày, ung thư dạ dày.
Thông tin này được TS.BS Phạm Nguyên Quý, làm việc tại bệnh viện (BV) Trung ương Kyoto Min-iren (Nhật) cho biết khi trình bày những cập nhật kỹ thuật trong chẩn đoán và điều trị sớm ung thư dạ dày hiện nay.

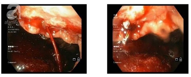
Xuất huyết do ung thư dạ dày.
"Chung đụng" – thói quen ăn uống tai hại
Vi khuẩn HP (Helicobacter Pylori) có nhiều trong nước bọt, niêm mạc dạ dày của người bệnh. Đây là loại vi khuẩn duy nhất có khả năng tồn tại trong môi trường axit đậm đặc của dạ dày.
Theo BS Quý, vi khuẩn HP có thể truyền từ người nhiễm sang người bình thường qua dịch tiêu hoá và nước bọt. Một nguyên nhân gây nhiễm HP khá cao là do thói quen ăn uống "chung đụng" sai lầm của người dân.
Ăn uống "chung đụng" có thể kể đến như ăn chung đũa, chấm chung chén nước chấm, gắp thức ăn cho nhau, thậm chí là hành động mớm cơm cho con bằng miệng. Chính những điều này làm phát tán rất nhanh vi khuẩn HP vào dạ dày, gây nên căn bệnh viêm loét dạ dày – tá tràng, ung thư dạ dày.

Nội soi dạ dày cho bệnh nhân tại BV Hoàn Mỹ Sài Gòn.
Người nhiễm vi khuẩn HP thường sẽ có những biểu hiện viêm loét, buồn nôn, đau bụng trên rốn, thiếu máu bất ngờ. Muốn nhận biết là viêm loét dạ dày thông thường hay ung thư, người bệnh cần phải thực hiện nội soi.
Theo thống kê, khoảng 80% người nhiễm HP gây ra viêm dạ dày mạn tính, 15-20% bị viêm teo dạ dày mạn tính hay loạn sản ruột. Tỉ lệ diễn tiến thành ung thư chỉ dưới 1%.

TS.BS Phạm Nguyên Quý chia sẻ kiến thức về ung thư dạ dày.
Ghi nhận của tổ chức Phòng chống Ung thư thế giới, tại Việt Nam có trên 15.000 ca mới được chẩn đoán ung thư dạ dày và hơn 11.000 ca tử vong vì bệnh này mỗi năm.
Ung thư dạ dày là loại ung thư xếp thứ 2 ở nam giới (sau ung thư phổi) và xếp thứ 5 ở nữ giới. Tuy nhiên đa số bệnh nhân thường chẩn đoán ở giai đoạn muộn nên tỉ lệ sống trên 5 năm còn thấp.
Việc phát hiện sớm ung thư dạ dày tại Việt Nam vẫn còn hạn chế bởi thói quen e ngại trong khám sức khỏe định kỳ. Đến khi có chỉ định của BS về việc nội soi dạ dày thì người bệnh đã có nguy cơ cao mắc ung thư.
ESD - tiến bộ mới trong chẩn đoán và điều trị Ung thư dạ dày
Hiện nay, kỹ thuật chẩn đoán và điều trị sớm ung thư dạ dày hiện đại đã được ứng dụng phổ biến trên thế giới.
Ở các nước phát triển như Nhật Bản, nhiều trường hợp ung thư dạ dày được phát hiện sớm và phẫu thuật cắt bỏ dưới hình ảnh nội soi hỗ trợ. Tại Việt Nam, hiện chỉ có một số ít bệnh viện lớn làm được điều này.

Cắt polyp đại tràng qua nội soi.
Các chuyên gia đến từ bệnh viện Trung ương Kyoto Min-iren đã giới thiệu 4 kỹ thuật nội soi hiện đại giúp chẩn đoán sớm ung thư dạ dày.
Đó là nội soi nhuộm màu, nội soi phóng đại, siêu âm qua nội soi và đặc biệt là kỹ thuật ESD (cắt tách dưới niêm qua nội soi) để cắt khối u trong dạ dày.
"ESD là phương pháp điều trị ung thư dạ dày sớm và tổn thương tiền ung thư, được tiến hành hành qua nội soi thực quản dạ dày với thuốc tiền mê hoặc gây mê.
Đây là một kỹ thuật cao có rất nhiều lợi ích, nhưng ở Việt Nam phần lớn ung thư dạ dày được phát hiện ở giai đoạn muộn nên không thể áp dụng điều trị cho người bệnh được.

Vì vậy, việc nội soi và phát hiện sớm căn bệnh này là rất quan trọng" - BS Kinoshita Koshi, bệnh viện Trung ương Kyoto Min-iren chia sẻ.
BS.CKI Cao Hùng Phong, chuyên khoa Nội soi Tiêu Hóa, BV Hoàn Mỹ Sài Gòn khuyến cáo, để có thể áp dụng hiệu quả phương pháp cắt tách dưới niêm qua nội soi trong điều trị, người có tiền sử mắc bệnh ung thư trong gia đình, người trong độ tuổi từ 40-50 tuổi nên chú ý đi tầm soát bệnh.
Đặc biệt là những người nhiễm vi khuẩn HP, nguyên nhân hàng đầu dẫn đến Ung thư dạ dày.
"Việc chủ động kiểm tra sức khỏe định kỳ và tầm soát ung thư thường xuyên sẽ giúp phát hiện được những trường hợp ung thư ở giai đoạn sớm hoặc tổn thương tiền ung thư.
Nhờ đó, người bệnh tiếp cận dễ dàng với phương pháp cắt tách niêm mạc để điều trị và có thêm cơ hội sống" – BS Cao Hùng Phong phân tích.
| Yếu tố làm tăng nguy cơ mắc ung thư dạ dày: Chế độ ăn uống Một số nghiên cứ lớn đã chỉ ra rằng nguy cơ mắc bệnh tăng ở những người ăn nhiều thịt bảo quản, bao gồm thịt xông khói, xúc xích và giăm bông. Một nghiên cứu gần đây cho thấy nhiều người ăn chay (trái cây tươi, rau quả) có thể giảm nguy cơ mắc bệnh ung thư dạ dày. Nhiễm vi khuẩn Helicobacter Nhiễm vi khuẩn Helicobacter làm tăng nguy cơ ung thư dạ dày tới 6 lần. Hút thuốc và chế độ ăn uống nghèo nàn cũng được cho là nguyên nhân tương tác với vi khuẩn và gây bệnh. Vi khuẩn gây viêm dạ dày teo mãn tính nghiêm trọng và điều này có thể dẫn đến ung thư dạ dày. Thuốc lá và rượu Khoảng 1/5 trường hợp mắc ung thư dạ dày được cho là gây ra do hút thuốc. Nguy cơ mắc ung thư dạ dày ở những người hút thuốc cao gấp đôi so với người không hút thuốc. Tuy nhiên, các nhà khoa học tin rằng, nguy cơ này giảm xuống khi ngừng hút thuốc. Nguy cơ mắc bệnh ở những người hút thuốc bị nhiễm HP có thể cao gấp 10 lần so với những người hút thuốc mà không nhiễm HP. Yếu tố khác: - Gia đình có tiền sử mắc ung thư dạ dày. - Nam giới mắc bệnh ung thư tuyến tiền liệt, bàng quang hay ung thư tinh hoàn. - Phụ nữ mắc ung thư vú, ung thư cổ tử cung. - Nam và nữ giới mắc ung thư thực quản, ung thư da không melanoma, ruột, ung thư tuyến giáp và ung thư hạch... Các triệu chứng của bệnh ung thư dạ dày: - Khó tiêu, ợ chua - Luôn cảm thấy no - Chảy máu - Cảm thấy mệt mỏi và khó thở - Cục máu đông - Đau - Buồn nôn - Khó nuốt Dấu hiệu của bệnh ung thư dạ dày cao cấp bao gồm: - Biếng ăn - Giảm cân - Có dịch ở bụng - Có máu trong phân |
Theo Trí thức trẻ