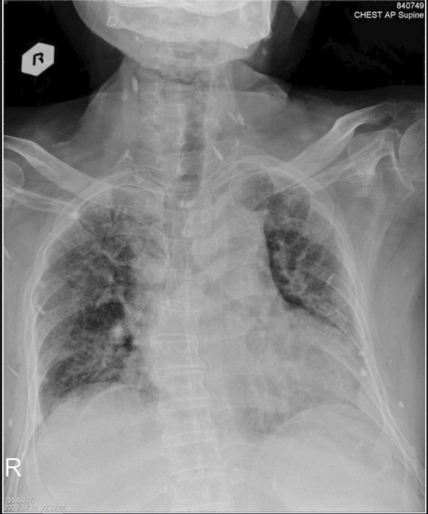
Trong các hình chụp siêu âm, X-quang, có thể nhận ra vô số trứng sán dây (sán xơ mít) cư trú trong cơ thể người đàn ông. Bệnh nhân này đặc biệt thích ăn 2 loại thịt.
Cụ ông 74 tuổi lần đầu tiên tới gặp bác sĩ sau khi đột nhiên không thể đi lại bình thường và còn bị mất trí nhớ.
Trong khi nhiều người tránh các món thịt sống như tránh bệnh dịch hạch thì với một số khác, đó lại là đặc sản. Nhưng nếu nhìn vào hình ảnh dưới đây, bạn có thể vĩnh viễn nói không với các loại thịt tái trong đời.
Trong các hình chụp siêu âm, X-quang, có thể nhận ra vô số trứng sán dây (sán xơ mít) cư trú trong cơ thể người đàn ông 74 tuổi. Bệnh nhân này đặc biệt thích ăn thịt lợn và thịt bò tái.

Theo bài báo đăng tải trên tờ BMJ Case Reports, người bệnh được đưa tới phòng cấp cứu một bệnh viện ở Đài Loan sau khi tới gặp bác sĩ để khám bệnh. Cụ ông này đột nhiên gặp khó khăn trong việc đi lại và bị mất trí nhớ.
Tại bệnh viện, nhân viên y tế phát hiện các chỉ số sống của người bệnh đều ổn định. Nhưng khám trực tiếp cho thấy, nửa gương mặt bên trái của bệnh nhân bị chảy xệ. Ông cũng không thể nói rõ ràng và nhìn chung rất yếu.
Kết quả sốc sau khi tiến hành chụp chiếu
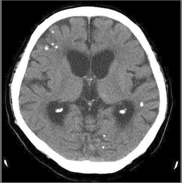
Bác sĩ lập tức chỉ định chụp cộng hưởng từ, chụp cắt lớp vi tính và chụp X-quang cho bệnh nhân. Kết quả, các bác sĩ vô cùng kinh sợ khi phát hiện hàng trăm trứng sán dây nhỏ xíu lúc nhúc trong gần như mọi phần trong cơ thể người bệnh.
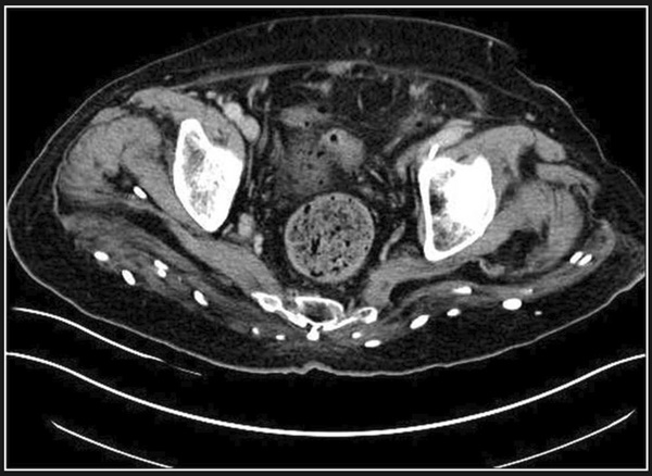
Qua hình ảnh chụp chiếu, dễ dàng nhận ra trứng sán dây xuất hiện trong não, cột sống, mông, cổ, ngực và chân cụ ông đã về hưu. Cụ được chẩn đoán mắc bệnh ấu trùng sán lợn. Đây là bệnh nhiễm trùng sán dây, thường là hậu quả của việc ăn thịt lợn bị nhiễm sán.
Theo Tổ chức Y tế Thế giới (WHO), bệnh ấu trùng sán lợn tấn công hệ thần kinh trung ương nhưng hoàn toàn có thể ngăn ngừa được.

Hình ảnh chụp cho thấy các u nang ở cổ và ngực.
Bệnh nhiễm trùng nghiêm trọng
Bệnh khởi phát khi một người ăn thịt đã bị nhiễm sán. Từ đó, họ bị nhiễm trùng sán dây trong ruột, được gọi là bệnh sán dây.
Nếu không điều trị, bệnh có thể dẫn tới kết cục tồi tệ hơn, đó là bệnh ấu trùng sán lợn. Bệnh xảy ra khi trứng sán dây tích tụ trong hệ thần kinh trung ương, cơ, da và mắt của người bệnh.
Bệnh ấu trùng sán lợn là dạng nguy hiểm nhất của nhiễm trùng sán dây và là nguyên nhân phổ biến gây co giật, động kinh trên khắp thế giới.
Tiến sĩ Ming-Pin Lin, một trong các tác giả viết về trường hợp của bệnh nhân 74 tuổi trên, cho biết, hình chụp chiếu thể hiện rõ "một bầu trời đầy sao" ấu trùng sán và còn tiết lộ cả tình trạng vôi hóa của cơ. Tiến sĩ chia sẻ thêm, biện pháp điều trị bao gồm thuốc kháng ký sinh trùng, steroids và đặt thiết bị vào não để giảm áp lực lên não gây ra bởi hiện tượng ứ dịch.
"Những bệnh nhân không phải qua điều trị và những người bị u nang sẽ đối mặt với nguy cơ mắc các biến chứng nghiêm trọng".
Hiện vẫn chưa rõ bệnh nhân 74 tuổi trên đã được điều trị như thế nào và liệu ông có hồi phục hoàn toàn hay không.


Hình ảnh trứng sán dây ở cột sống thắt lưng và mông, các chấm trắng cho thấy cụm trứng sán dây trong não của bệnh nhân
Một trường hợp nhiễm sán đáng sợ khác
Hồi tháng trước, một nam thanh niên cũng đã thiệt mạng sau khi nang sán dây cư trú trong não anh, khiến anh bất tỉnh. Chàng trai 18 tuổi bị co giật dữ dội và liên tục phàn nàn về cơn đau ở háng một tuần trước khi bị co giật, phải vào viện cấp cứu.
Các bác sĩ tại Bệnh viện và Trường Y ESIC ở Faridabad, Ấn Độ, phát hiện các nang ký sinh trùng bám đầy lớp ngoài cùng của não bộ bệnh nhân sau khi chụp chiếu.
Với trường hợp này, bác sĩ cho biết, do số lượng nang sán dây mà thông thường, thuốc kháng ký sinh trùng vẫn được chỉ định, lại không phải là lựa chọn thích hợp. Bởi thuốc có thể làm tăng nặng tình trạng viêm trong não, từ đó, làm trầm trọng thêm nguy cơ tử vong cho bệnh nhân bị nhiễm sán dây nghiêm trọng như nam thanh niên 18 tuổi này.
Rốt cuộc, bác sĩ đã cho người bệnh dùng thuốc steroid và thuốc kháng chống động kinh. Nhưng thật không may, chàng trai đã qua đời 2 tuần sau đó.
Theo Helino
