
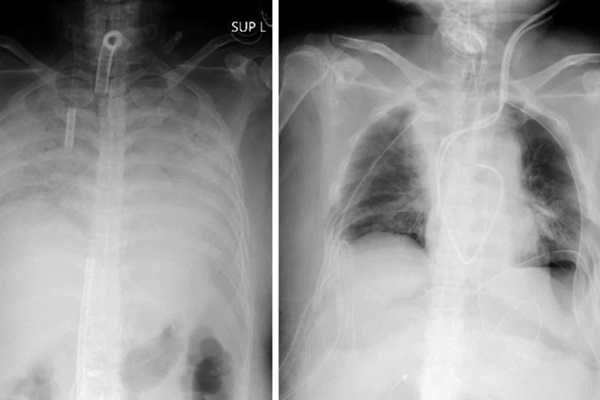
Ảnh chụp X-quang cho thấy phổi của một bệnh nhân COVID-19 trước và sau khi phẫu thuật cấy ghép. Ảnh: Bệnh viện Đại học Kyoto
Theo đài BBC (Anh), bệnh nhân đã nhận được các phần phổi từ con trai và chồng sau khi nội tạng của bà bị hỏng vì tổn thương do virus SARS-CoV-2 gây ra.
Người phụ nữ sống ở miền tây Nhật Bản không có bệnh nền nhưng chức năng hô hấp của bà đã suy giảm nhanh chóng sau khi mắc COVID-19 vào cuối năm ngoái. Căn bệnh đã khiến cả hai phổi của bà co cứng lại và hầu hết các chức năng đều bị phá hủy. Khi các bác sĩ cho biết bà cần ghép phổi để sống sót, con trai và chồng bà đã quyết định hiến một phần phổi của họ. Họ đã được cảnh báo về những nguy cơ sức khỏe do giảm dung tích phổi.
Người phụ nữ nhập viện hôm 5/4 và được kết nối với một thiết bị tim phổi nhân tạo, được gọi là trao đổi oxy qua màng ngoài cơ thể (ECMO). Bà đã được ghép một phần phổi trái của chồng và một phần phổi phải của con trai hai ngày sau đó.
Toàn bộ quá trình cấy ghép phổi diễn ra khoảng 11 giờ đồng hồ tại Bệnh viện Đại học Kyoto. Các bác sĩ cho biết cả người hiến tặng và bệnh nhân đều trong tình trạng sức khỏe ổn định.
Các bác sĩ tại thành phố Kyoto hy vọng bà sẽ bình phục hoàn toàn trong vòng vài tháng.
Tại Nhật Bản và nhiều quốc gia khác, có rất nhiều người đang chờ đợi để có cơ hội được cấy ghép toàn bộ phổi, chủ yếu là từ những người hiến tặng đã chết não.
Bệnh viện Đại học Kyoto cho biết hàng chục ca cấy ghép phổi điều trị bệnh COVID-19 đã được thực hiện ở Trung Quốc, Châu Âu và Mỹ bằng cách sử dụng phổi của những người hiến tạng đã qua đời. Tuy nhiên, thời gian chờ đợi có thể kéo dài nhiều năm ở Nhật Bản.
Giáo sư Hiroshi Date, bác sĩ phẫu thuật lồng ngực, người phụ trách ca phẫu thuật, chia sẻ với Kyodo News: “Tôi nghĩ rằng ca ghép phổi này mở ra hướng điều trị mới và đem lại niềm hy vọng cho nhiều bệnh nhân rơi vào tình cảnh sức khỏe tương tự”.
Theo Báo Tin Tức
