Phổi tổn thương do tự mua thuốc điều trị cúm A tại nhà
Thời gian gần đây, bà P.T.H. (51 tuổi, Hà Nội) xuất hiện triệu chứng ho nhiều, ho có đờm, đau rát họng, người gai rét, sốt cao kèm theo tình trạng đau rát vùng sau xương ức và khó thở.
Nghĩ là cảm cúm thông thường, bà H tự ra hiệu thuốc mua thuốc cảm cúm về uống. Tuy nhiên, tình trạng không thuyên giảm, vẫn sốt cao kèm mệt nhiều, ăn kém. Trước tình trạng trên, bà được người nhà đưa vào viện cấp cứu ngay trong đêm.

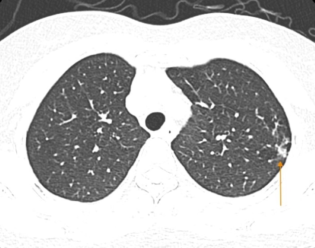
Hình ảnh chụp cắt lớp vi tính phổi phát hiện tổn thương. Ảnh: BVCC.
Tại Bệnh viện Đa khoa Medlatec, bác sĩ chỉ định thực hiện các kỹ thuật cận lâm sàng cần thiết phục vụ chẩn đoán. Trong đó, xét nghiệm cúm A cho kết quả dương tính.
Hình ảnh chụp cắt lớp vi tính phổi độ phân giải cao cho thấy hình ảnh dày thành phế quản hai phổi kèm tổn thương kính mờ, nốt đặc, dày tổ chức kẽ thùy trên phổi trái.
Bà H được chẩn đoán mắc cúm A kèm theo biến chứng viêm phổi. Hiện tại, bệnh nhân tiếp tục được điều trị và theo dõi tại bệnh viện.
Điều đáng nói, không chỉ bà H gặp họa do tự mua thuốc điều trị cúm, theo các bác sĩ, thực tế, nhiều người có tâm lý chủ quan khi mắc cúm, cho rằng đó là bệnh nhẹ nên không đi khám. Thay vào đó, đa phần có thói quen "tự làm bác sĩ", mua thuốc về điều trị.
Trong đó, với cúm A, không ít người dân khi mắc bệnh đã tự mua Tamiflu về uống mà không có sự chỉ định của bác sĩ. Điều này được cảnh báo tiềm ẩn rất nhiều nguy cơ đối với sức khỏe người dùng.
Không tự ý mua Tamiflu điều trị cúm
Theo các bác sĩ, bệnh cúm hay còn gọi là cúm mùa là bệnh truyền nhiễm cấp tính với biểu hiện sốt, đau đầu, đau cơ, mệt mỏi, sổ mũi, đau họng và ho. Tác nhân gây bệnh chủ yếu do các chủng virus cúm A(H3N2), cúm A(H1N1), cúm B và cúm C. Bệnh có khả năng lây nhiễm rất cao, lây nhanh qua đường hô hấp thông qua các giọt nhỏ nước bọt hay dịch tiết mũi họng do hắt hơi, ho khạc.
80-90% các trường hợp mắc cúm là ở thể nhẹ, có thể tự khỏi. Những trường hợp sốt cao kéo dài, liên tục, tổn thương phổi thì mới cần nhập viện điều trị.

Các bác sĩ khuyến cáo, không tự ý mua Tamiflu khi chưa có chỉ định và theo dõi chặt chẽ của bác sĩ chuyên khoa. Ảnh: TL
PGS.TS Đỗ Duy Cường - Giám đốc Trung tâm Bệnh Nhiệt đới, Bệnh viện Bạch Mai cho biết, thuốc kháng virus điều trị cúm là Oseltamivir (Tamiflu) giúp điều trị giảm nhanh triệu chứng. Tuy nhiên cần phải có chỉ định và theo dõi chặt chẽ của bác sĩ chuyên khoa.
Ngoài thuốc Tamiflu, bác sĩ sẽ dùng nhiều loại thuốc khác để phối hợp điều trị. Những trường hợp mắc cúm nhưng chỉ ho, chảy nước mũi, sốt nhẹ, chụp Xquang phổi không có tổn thương thì chỉ cần điều trị ngoại trú, nâng cao thể trạng để bệnh tự khỏi.
Theo ThS.BS Trần Thu Nguyệt, Viện Y học Ứng dụng Việt Nam, Tamiflu là thuốc kháng virus nhưng không giống với hầu hết kháng sinh, nó không có khả năng tiêu diệt virus cúm.
Tamiflu là thuốc ức chế men neurominidase của virus cúm. Virus cúm sau khi xâm nhập vào cơ thể, đi vào tế bào và nhân đôi, sau đó men này sẽ giúp virus cúm tách ra, rời khỏi tế bào chủ và đi tìm tế bào mới. Tamiflu ức chế sự nhân lên của virus này, làm giảm sự phát tán của virut cúm trong cơ thể.
Tuy nhiên, Tamiflu chỉ có tác dụng nếu chẩn đoán phát hiện cúm sớm trong 48 giờ đầu, có triệu chứng sốt cao kéo dài, liên tục, tổn thương phổi và theo chỉ định của bác sĩ. Sau 48 giờ, bệnh nhân chủ yếu được điều trị hạ sốt và chăm sóc để phòng biến chứng.
Những người cần điều trị bằng thuốc Tamiflu:
- Bệnh nhân cúm với triệu chứng rõ ràng như sốt cao, kéo dài, liên tục, tổn thương phổi.
- Những người thuộc nhóm dễ bị biến chứng cúm nặng như trẻ em nhỏ hơn 2 tuổi và người già trên 65 tuổi, bệnh nhân có bệnh mãn tính như hen suyễn, bệnh tim, suy giảm miễn dịch…
Lưu ý, Tamiflu cũng gây ra một số tác dụng phụ, thường gặp nhất là có thể gây nôn ói. Ngoài ra có tiêu chảy, nhức đầu, gây độc thận ở những người có bệnh thận.
"Tamiflu không phải là "thần dược" trị cúm. Đáng lo ngại, việc lạm dụng Tamiflu có thể dẫn đến nhiều hệ lụy cho sức khỏe, như hiện tượng kháng thuốc này ngày càng tăng", BS Trần Thu Nguyệt nhấn mạnh.
Những điều cần làm khi cúm mùa gia tăng
Các chuyên gia khuyến cáo, thay vì đợi khi có bệnh mới uống thuốc, người dân có thể chủ động phòng bệnh cúm bằng cách tiêm vaccine cúm mùa hàng năm để tăng cường miễn dịch phòng chống cúm.
Đảm bảo vệ sinh cá nhân, che miệng khi hắt hơi; thường xuyên rửa tay với xà phòng với nước sạch; vệ sinh mũi, họng hằng ngày bằng nước muối; giữ ấm cơ thể, ăn uống đủ chất dinh dưỡng để nâng cao thể trạng.
Hạn chế tiếp xúc với bệnh nhân cúm hoặc các trường hợp nghi ngờ mắc bệnh khi không cần thiết; sử dụng khẩu trang y tế khi cần thiết.
Đặc biệt, người dân không nên tự ý mua thuốc và sử dụng thuốc kháng virus cúm như thuốc Tamiflu, mà cần phải theo hướng dẫn và có chỉ định của thầy thuốc.
Khi có triệu chứng ho, sốt, sổ mũi, đau đầu, mệt mỏi cần đến ngay cơ sở y tế để được khám, xử trí kịp thời, tránh biến chứng có thể xảy ra.
Theo Giadinhxahoi
