Bệnh viện Đa khoa Quốc tế Thu Cúc vừa điều trị và kiểm soát thành công khối u ác tính ở phổi của một bệnh nhân ung thư giai đoạn cuối theo phác đồ chuẩn 100% Singapore.
Cô K.T.S, sinh năm 1962, được con trai đưa đến Bệnh viện Thu Cúc (286 Thụy Khuê, Tây Hồ, Hà Nội) trong tình trạng ho nhiều, mệt mỏi. Cô S. từng điều trị tại Khoa Hô hấp của một bệnh viện lớn, sinh thiết nhưng không tìm ra bệnh.
Kết quả kiểm tra tại Thu Cúc cho thấy các chỉ số ung thư trong máu cao vượt ngưỡng cho phép: CA 125: 214,4 IU/mL;CEA 30,03 ng/ML; CA 15-3: 50,1 IU/mL. Nguy hiểm hơn, phim chụp X-quang phổi của cô S. có đám mờ lan khắp 2 bên phổi “trắng như sao trên trời”. Sau khi sinh thiết, bác sĩ kết luận cô S. mắc ung thư phổi không tế bào nhỏ dạng biểu mô tuyến giai đoạn cuối. Để đưa ra phác đồ đặc hiệu, mẫu sinh thiết cũng được gửi sang Singapore làm xét nghiệm tìm đột biến gen và không thấy có đột biến.
![]() |
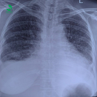
| Đám mờ lan khắp 2 phổi của bệnh nhân S |
Tình trạng bệnh diễn biến phức tạp
Trực tiếp thăm khám cho cô S. là TS.BS Lim Hong Liang và BS. Nguyễn Thị Minh Hương. BS. Lim cho biết: “Thể trạng bệnh nhân rất yếu, khối u ở phổi cũng đã phát triển lớn và chèn ép các cơ quan khác trong cơ thể. Mục tiêu điều trị lúc này là phải thu nhỏ được khối u, giảm nhẹ các triệu chứng và nâng cao chất lượng sống cho người bệnh. Sau khi hội chẩn, chúng tôi thấy rằng hóa trị là phương pháp phù hợp nhất.”
Tuy nhiên, chưa kịp tiếp nhận phác đồ hóa trị thì tình trạng bệnh của cô S. đã diễn biến xấu đi rất nhiều. Cô S. thấy khó thở, siêu âm phát hiện có dịch ép vào màng tim. Bác sĩ Lim lập tức chỉ định dẫn lưu dịch màng tim, giải ép để bệnh nhân dễ thở. Sau vài ngày có dấu hiệu ổn định, mức ô xy của cô S. lại tụt xuống rất thấp (mặc dù lúc đó đã phải thở oxy 10 lít/phút). Anh Nguyễn M.H - con trai cô S - nhớ lại: “Lúc ấy, mẹ tôi gần như không còn một chút sức lực nào. Cả gia đình thậm chí đã xác định tình huống xấu nhất...”
Bất ngờ phục hồi kỳ diệu
Với 30 năm kinh nghiệm điều trị ung thư, đặc biệt là các ca điều trị nâng đỡ, bác sĩ Hương chẩn đoán cô S. bị tắc mạch phổi và cho dùng thuốc chống đông ngay. Chỉ qua 1 đêm, cô S đã có dấu hiệu phục hồi.
Sau một thời gian điều trị, sức khỏe cô S đã ổn định và bắt đầu truyền hóa chất theo phác đồ đã được chỉ định. Sau 2 tháng, từ việc gắn liền với giường bệnh và máy thở, cô đã khỏe mạnh, tự ăn uống và sinh hoạt bình thường. Hiện tại, cứ 3 tuần 1 lần, cô S lại đến bệnh viện để truyền hóa chất.
![]() |
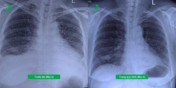
| Tình trạng bệnh cải thiện trong quá trình điều trị |
Anh M.H chia sẻ thêm: “Đối với gia đình tôi, đây thực sự là một điều kỳ diệu. Nhìn mẹ tôi bây giờ, chẳng ai nghĩ bà đã từng chiến đấu và vượt qua được cơn bạo bệnh thập tử nhất sinh như thế.”
Nơi bệnh nhân ung thư gửi hy vọng
Không chỉ có cô S., tại Khoa Ung bướu Singapore - Bệnh viện Thu Cúc, nhiều bệnh nhân đã có kết quả điều trị tốt. Tại đây, người bệnh ung thư được điều trị bằng phác đồ chuẩn 100% Singapore. Chất lượng điều trị tương đương Singapore, trong khi người bệnh giảm được khoản chi phí khổng lồ so với việc điều trị bằng phác đồ tương tự ở Singapore, bao gồm chi phí đi lại, ăn ở, chưa kể giảm được những khó khăn khi sang xứ người lạ lẫm. Đặc biệt, bệnh viện còn áp dụng BHYT và các loại bảo hiểm bảo lãnh.
![]() |
| Khoa Ung bướu - Cơ hội sống cho người mắc bệnh ung thư |
Một điểm nổi bật không thể không nhắc đến đó là đội ngũ bác sĩ tại đây cũng là những chuyên gia nổi tiếng về điều trị ung thư tại Singapore. Trong đó, nổi tiếng với điều trị các bệnh ung thư vùng đầu mặt cổ là TS.BS Lim Hong Liang. BS. Lim nguyên là trưởng khoa Ung thư và Huyết học, Bệnh viện Đại học Tổng hợp, Đại học Quốc gia Singapore.
|
Theo lịch khám định kỳ, ngày 28/11 - 29/11 tới đây, TS.BS Lim Hong Liang sẽ tư vấn, điều trị các bệnh ung thư vùng đầu - mặt - cổ ngay tại Bệnh viện Thu Cúc. Để đặt lịch hẹn điều trị với BS. Lim, vui lòng liên hệ 0907 245 888. Xem chi tiết tại https://ungbuouvietnam.com/lich-kham-bac-si-singapore/ |
(Nguồn: Bệnh viện Thu Cúc)


