Bác sĩ Lâm Vĩ, khoa Nội Lồng ngực, bệnh viện Lotung Pohai Hospital, chia sẻ về trường hợp bà Lương (59 tuổi) sống tại Đài Loan. Dạo gần đây, bà Lương nhận thấy vai phải có dấu hiệu co giật bất thường nên đến khoa nội thần kinh của bệnh viện khám. Sau đó, bà Lương được chuyển sang khoa Nội Lồng ngực khám với kết quả khiến bà Lương sốc nặng.
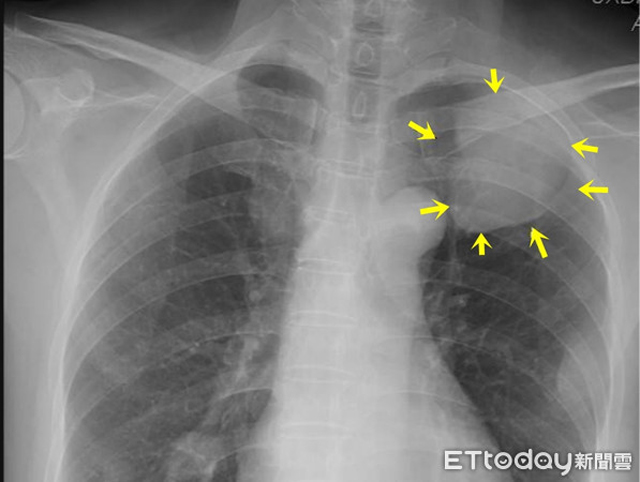
Bác sĩ Lâm Vĩ cho biết: "Kết quả chụp CT cho thấy tế bào ung thư phổi di căn đến thùy đỉnh của não gây ra hiện tượng co giật ở vai phải. Bệnh nhân được chẩn đoán ung thư phổi giai đoạn cuối, các tế bào ung thư phổi đã di căn toàn bộ cơ thể".

Tế bào ung thư phổi di căn đến thùy đỉnh của não gây ra hiện tượng co giật ở vai phải.
Theo kinh nghiệm lâm sàng, bệnh ung thư phổi bao gồm các triệu chứng ho, thở khò khè, ho ra máu, tràn dịch màng phổi. Tuy nhiên, trường hợp của bà Lương có biểu hiện khác so với triệu chứng thông thường là vai phải co giật, do đó bà Lương không thể ngờ mình mắc bệnh ung thư phổi.

Trường hợp của bà Lương có biểu hiện khác so với triệu chứng thông thường.
Bác sĩ Lâm Vĩ thông tin thêm, bệnh ung thư phổi được chia làm hai loại, đó là ung thư phổi tế bào nhỏ và ung thư phổi không tế bào nhỏ. Ung thư phổi tế bào nhỏ chiếm 12~15% ca bệnh, đặc điểm là tế bào ung thư tăng trưởng nhanh, di căn nhanh, tiên lượng xấu. Ung thư phổi không tế bào nhỏ tăng trưởng chậm, di căn chậm, chiếm 85% ca bệnh.
Bệnh nhân mắc bệnh ung thư phổi giai đoạn đầu không có triệu chứng rõ ràng, một khi đã có triệu chứng thường được chẩn đoán giai đoạn cuối. Chụp X-quang phổi là một trong những hạng mục khám sức khỏe cơ bản để phát hiện bệnh ung thư phổi, tuy nhiên những tổn thương do ung thư phổi gây ra nhỏ hơn 1cm rất khó phát hiện. Do đó, chụp cắt lớp vi tính lồng ngực liều thấp được coi là phương pháp dễ dàng nhất để phát hiện các tổn thương ung thư phổi giai đoạn đầu.
Bác sĩ Lâm Vĩ khuyến cáo, nhóm người hút thuốc và gia đình có tiền sử người mắc bệnh nên kiểm tra sức khỏe bằng phương pháp chụp cắt lớp vi tính lồng ngực liều thấp. Điều quan trọng là mọi người cần thực hiện kế hoạch cai thuốc lá, giảm tiếp xúc với khói thuốc để đảm bảo sức khỏe.
Nguyên nhân bệnh ung thư phổi:
Hút thuốc lá: Hiện nay, 90% bệnh nhân bị ung thư phổi bởi hút thuốc lá, 4% bệnh nhân do hít phải số lượng đáng kể khói thuốc hàng ngày.
Môi trường làm việc là yếu tố dễ gây ra bệnh ung thư phổi. Các tác nhân từ môi trường gây ung thư phổi như: khói bụi, những người làm việc trong môi trường luyện thép, niken, crom và khí than.
Tiếp xúc với tia phóng xạ: Đây là nguyên nhân gây ra nhiều bệnh ung thư, trong đó có ung thư phổi. Bệnh nhân làm việc trong các mỏ uranium, fluorspar và hacmatite có thể tiếp xúc với tia phóng xạ do hít thở không khí có chứa khi radon.
Những triệu chứng ung thư phổi thường gặp gồm:
Bị ho kéo dài không khỏi.
Có cảm giác khó thở, thở ngắn, có đờm lẫn máu.
Bị đau ngực.
Sau một thời gian ủ bệnh, người bệnh có thể bị gầy sút, mệt mỏi, khàn giọng, khó nuốt, thở khò khè, đau xương thậm chí bị tràn dịch màng phổi.
Theo Pháp luật và bạn đọc
