Sau khi có chẩn đoán bị u tế bào thần kinh đệm và phải phẫu thuật, người mẹ đã năn nỉ xin bác sĩ đưa con về nhà, sau 2 tháng cháu L. phải nhập viện khẩn cấp.
Đó là trường hợp của cháu N.T.L. (10 tuổi, ở Vĩnh Phúc) vừa được các bác sĩ Trung tâm phẫu thuật thần kinh (Bệnh viện Việt Đức) cứu sống sau phẫu thuật loại bỏ khối u tế bào thần kinh đệm. Hiện sức khỏe cháu L. đã ổn định và có tiến triển tốt.
PGS.TS Đồng Văn Hệ, PGĐ BV Việt Đức, Giám đốc TT Phẫu thuật thần kinh cho biết, cách thời điểm phẫu thuật khoảng vài tháng, cháu L. được gia đình đưa vào viện thăm khám. Sau khi được làm các xét nghiệm và chup chiếu các bác sĩ chẩn đoán bệnh nhi bị u tế bào thần kinh đệm, cần phải nhập viện để phẫu thuật cắt u.
Làm thủ tục nhập viện xong, các bác sĩ đã lên kế hoạch và xếp lịch mổ cho cháu L. Dù đã có ngày phẫu thuật, nhưng gia đình bỗng đổi ý xin bác sĩ cho cháu L. về nhà, lý do là thấy cháu sức khỏe ổn hơn sau khi dùng thuốc chống phù não.

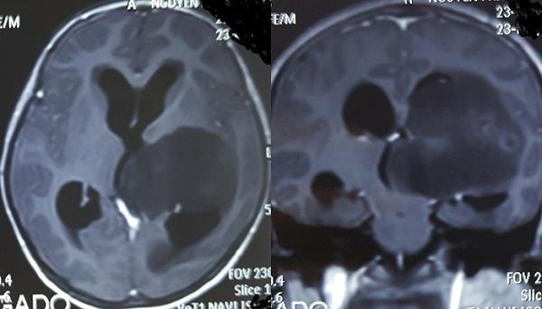
Hình ảnh khối u trong não bệnh nhi trước khi phẫu thuật.
Trước tính chất nghiêm trọng và sự cần thiết phải phẫu thuật khối u để không ảnh hưởng đến tính mạng bệnh nhi, các bác sĩ đã giải thích cho gia đình nên cho cháu phẫu thuật ngay, nhưng bố mẹ cháu L. nhất quyết đưa con về nhà và khẳng định “nếu có vấn đề gì, chúng tôi sẽ đưa cháu trở lại BV ngay”.
Sau 2 tháng trở về với gia đình, mẹ cháu bé trực tiếp gọi điện cho PGS Đồng Văn Hệ với giọng hốt hoảng: “Bác sĩ ơi, con cháu đã rơi vào trang thái lơ mơ, nôn nhiều. Bác sĩ cứu con cháu với ạ”. Nghe vậy, PGS Hệ yêu cầu gia đình đưa cháu L. đến Bệnh viện Việt Đức để cấp cứu. Tại đây, thể trạng cháu L. rất yếu, da xanh xao, sút 3kg so với khi rời viện.
Trước tình trạng khẩn cấp của cháu L. các bác sĩ đã quyết định mổ ngay. Ban đầu gia đình đồng ý mổ, nhưng sau đó vẫn có gặng hỏi bác sĩ: “Còn cách nào khác không?”. Khi đó các bác sĩ lại phải giải thích lại một lần nữa với gia đình bệnh nhi.

Người mẹ cho con ăn rau trong 2 tháng với hy vọng tiêu diệt được khối u.
Được biết, bố cháu bé lo sợ sức khỏe con yếu không vượt qua được ca phẫu thuật, nên muốn lùi lịch lại. Tuy nhiên, với tình trạng của bệnh nhi, nếu để càng lâu thì càng đe dọa đến tính mạng, sau một hồi giải thích gia đình đã đồng ý cho con vào phòng phẫu thuật. Ca phẫu thuật kéo dài 3 giờ, các bác sĩ đã vét sạch khối u trong não, ca mổ diễn ra thuận lợi, sau mổ cháu bé hồi phục nhanh, sức khỏe ổn định và đã được xuất viện.
Sau khi ca mổ diễn ra, mẹ bệnh nhi mới chia sẻ với bác sĩ rằng, trong thời gian 2 tháng xin cho con về nhà, chị tự chữa bệnh theo một phương pháp trên mạng. Theo đó, bố mẹ chỉ cho bé ăn rau, đậu phụ, tuyệt đối không có thịt, cá hay thành phần protein động vật nào.
Hậu quả cháu bé sụt cân, suy nhược, khối u trong não không giảm mà ngày càng to. May mắn, cuối cùng gia đình cũng đã đưa bé trở lại bệnh viện kịp thời và đã cứu được tính mạng.
Từ trường hợp trên, các bác sĩ khuyến cáo khi con mắc bệnh phụ huynh không nên nghe theo bất kể phương pháp chữa bệnh không chính thống nào, mà nên tuân thủ theo chỉ định của bác sĩ. Bởi có nhiều bệnh chỉ cần can thiệp chậm là có thể ảnh hưởn nghiêm trọng đến tính mạng của trẻ.
Theo Khám Phá
