Louisiana hiện đang là tiểu bang có số ca nhiễm Covid-19 trên đầu người cao thứ ba ở Mỹ. Tính đến sáng nay 25/3, họ đã có gần 1.400 ca nhiễm, khoảng một nửa tập trung trong thành phố New Orleans và 46 trường hợp tử vong.
Vậy mà chỉ mới hai tuần trước, hàng triệu người dân ở đây vẫn còn đổ ra đường vui chơi trong ngày lễ Mardi Gras. Những bác sĩ trị liệu hô hấp tại một bệnh viện New Orleans khi đó còn bông đùa với nhau rằng, ước gì họ bị nhiễm virus corona để được nghỉ ốm có lương.
Trong khu ICU của bệnh viện, những bác sĩ hô hấp này đang tỉ mẩn chỉnh từng thông số máy thở cho bệnh nhân của mình.
Họ không có quá nhiều, đa phần là những người lớn tuổi bị mắc hen suyễn hoặc bệnh mạn tính về phổi. Mỗi ngày vài lần, bác sĩ sẽ tới thăm từng bệnh nhân một, đảm bảo các ống oxy của họ được đặt ngay ngắn trên mũi.
Cho đến khi cơn lũ Covid-19 ập tới...
C
Covid-19 nguy hiểm cả với người trẻ: Chia sẻ của một bác sĩ tuyến đầu cho thấy nó tàn phá phổi người bệnh như thế nào
Lizzie Presser, một phóng viên trên trang báo chí điều tra phi lợi nhuận ProPublica đã phỏng vấn một bác sĩ trị liệu hô hấp tại New Orleans để biết điều gì đã xảy ra sau đó.
Vị bác sĩ giấu tên cho biết mình đã thực sự bị sốc. Bắt đầu từ tuần trước, anh ấy đã phải đặt máy thở cho những bệnh nhân Covid-19 ốm yếu nhất. Nhiều người còn tương đối trẻ khỏe, không có bệnh nền đáng kể nhưng vẫn bị virus đánh gục.
Những bệnh nhân này đang thở hổn hển, gắng sức để giành giật lấy từng ngụm không khí. Những dịch lỏng màu hồng chứa máu chảy ra khỏi ống thở của họ. Không còn một bác sĩ nào còn nghĩ rằng họ muốn nhiễm virus để được nghỉ phép nữa.
Toàn bộ khu ICU ở bệnh viện bị quá tải. Máy thở đang hết và cả trang thiết bị bảo hộ y tế. Các bác sĩ hô hấp ở đây không còn thời gian để chỉnh từng thông số máy thở cho từng bệnh nhân nữa. Họ phải làm việc nhanh nhất có thể, để hạn chế thời gian ở trong phòng.
Mỗi ca làm việc bây giờ được kéo dài thành 12 tiếng đồng hồ, vậy mà vẫn thiếu bác sĩ. Dưới đây là những gì mà vị bác sĩ hô hấp giấu tên ở New Orleans đã kể lại cho Lizzie Presser qua điện thoại:
***
Khi đọc được những bản tin hằng ngày về Covid-19 trên báo chí, tôi biết rằng căn bệnh này sẽ rất tệ. Nhưng bởi vì năm nào chúng tôi cũng đối phó với bệnh cúm nên tôi đã nghĩ: Chà, nó có lẽ sẽ không tệ hơn cúm là mấy.
Phải đến khi tận mắt thấy những bệnh nhân Covid-19 được đưa tới bệnh viện, quan điểm của tôi về căn bệnh này mới hoàn toàn thay đổi: Covid-19 đáng sợ hơn cúm rất nhiều.
Tôi đã tiếp nhận những bệnh nhân mới ngoài 40 tuổi, và thực sự đã bị sốc. Họ là những người trông tương đối khỏe mạnh, không có tiền sử bệnh tật nào quá đáng ngại nhưng vẫn bị căn bệnh đánh gục, cứ như thể họ vừa bị một chiếc xe tải đâm qua vậy.
Covid-19 hạ nốc-ao những người hoàn toàn khỏe mạnh. Họ là những bệnh nhân mới nhập viện, thường chỉ cần hỗ trợ chăm sóc ở mức tối thiểu với mặt nạ thở và một chút oxy. Thế nhưng, đột nhiên họ có thể ngừng hô hấp bất cứ lúc nào, cơ thể họ hoàn toàn bất lực và không còn có thể hít thở được một chút nào nữa.
Chúng tôi có một đơn vị theo dõi trong bệnh viện, nơi tiếp nhận những bệnh nhân đã được xét nghiệm dương tính hoặc bị nghi ngờ là dương tính - đây là những bệnh nhân đã tiếp xúc với những bệnh nhân dương tính khác.
Cứ mỗi 4 tiếng đồng hồ, chúng tôi lại đi từng giường để kiểm tra những chỉ số sự sống của họ. Một số bệnh nhân được nối vào máy theo dõi nhịp tim liên tục, và như vậy chúng tôi sẽ thấy được nhịp tim của họ đột ngột tăng giảm. Một số nhân viên y tế đi vào phòng và nhận thấy bệnh nhân đang khó thở hoặc không còn tỉnh táo.
Đó dường như là điều xảy ra với rất nhiều bệnh nhân Covid-19: Họ đột nhiên mất tỉnh táo hoặc bị suy hô hấp.
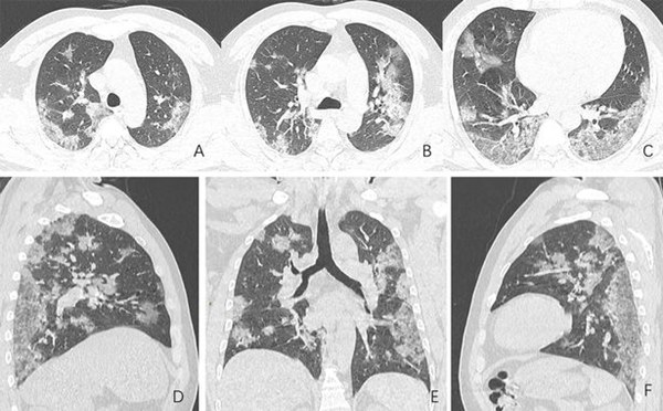
Nó được gọi là hội chứng suy hô hấp cấp tính, ARDS, khi phổi đã chứa đầy chất lỏng. Tình trạng này lộ ra trên phim chụp X-quang: Toàn bộ phổi về cơ bản trắng xóa vì đã ngập chất lỏng. Bệnh nhân mắc ARDS hấp thụ oxy cực kỳ khó. Họ có tỷ lệ tử vong thực sự cao, khoảng 40%. Phương pháp điều trị là phải đưa bệnh nhân vào máy thở. Tạo ra áp lực bổ sung giúp oxy đi vào máu.
Thông thường, ARDS là một tình trạng tiến triển dần dần theo thời gian, khi phổi bị viêm từng chút một. Nhưng với virus này, có vẻ như nó xảy ra chỉ sau một đêm.

Phổi bệnh nhân trông giống như một lớp kính trắng mờ đục, hoặc đôi khi trắng xóa vì nó đã chứa quá nhiều chất lỏng thay vì không khí.
Trong khi còn khỏe mạnh, phổi của bạn được tạo thành từ những quả bóng nhỏ. Giống như một cái cây thành hình từ những tán lá, phổi được tạo nên từ những túi khí được gọi là phế nang.
Khi bạn hít vào, tất cả các túi khí nhỏ đó sẽ phồng lên, và chúng có nhiều mao mạch trong các vách ngăn, là các mạch máu nhỏ. Oxy được hấp thụ từ không khí trong phổi vào mao mạch đó để có thể được vận chuyển theo dòng máu đi khắp cơ thể.
Thông thường với ARDS, phổi sẽ bị viêm. Nó giống như viêm ở bất cứ đâu trên cơ thể: Nếu bạn bị bỏng ở cánh tay, vùng da xung quanh sẽ chuyển sang màu đỏ vì lưu lượng máu bổ sung đổ về đó. Cơ thể đang gửi tới chỗ viêm những chất dinh dưỡng bổ sung để chữa lành nó.
Vấn đề là, khi điều đó xảy ra trong phổi của bạn, chất lỏng và máu dư thừa bắt đầu đổ về. Virus có thể làm tổn thương các tế bào trong thành của phế nang, khiến chất lỏng rò rỉ vào phổi. Một dấu hiệu nhận biết ARDS trên phim chụp X-quang được gọi là “tổn thương kính mờ”, nó giống với những tấm kính cửa sổ nhà tắm kiểu cũ được làm cho mờ đục để không ai nhìn được vào bên trong.
Lá phổi hiện hình như vậy vì chất lỏng chụp lên phim X-quang sẽ có màu trắng, vì vậy, phổi bệnh nhân trông giống như một lớp kính trắng mờ đục, hoặc đôi khi trắng xóa vì nó đã chứa quá nhiều chất lỏng thay vì không khí.
Những bệnh nhân nhiễm virus corona ở chỗ chúng tôi, một khi họ đã phải sử dụng máy thở, hầu hết đều cần được cài đặt ở mức cao nhất mà chúng tôi có thể làm. Khoảng 90% oxy và PEEP (áp lực dương cuối thì thở ra) mức 16 giúp lá phổi luôn căng phồng.
Con số này đã chạm gần tới mức cao nhất mà tôi đã từng thấy. Phải cài máy thở ở cấp độ đó có nghĩa là chúng tôi đang cạn kiệt các sự lựa chọn.

Những bệnh nhân nhiễm virus corona ở chỗ chúng tôi, một khi họ đã phải sử dụng máy thở, hầu hết đều cần được cài đặt ở mức cao nhất mà chúng tôi có thể làm.
Theo kinh nghiệm của tôi, chỉ có những bệnh nhân chết đuối mới có mức độ suy hô hấp nghiêm trọng đến vậy - bởi họ có cả đống nước bẩn trong phổi. Hoặc một trường hợp khác là những người đã hít phải khí ăn da.
Sự khởi phát cấp tính như ở bệnh nhân Covid-19 thật khó giải thích. Tôi chưa bao giờ thấy một vi sinh vật hay một bệnh truyền nhiễm gây thiệt hại cho phổi nhanh đến vậy. Đó thực sự là điều khiến tôi bị sốc.
Cú đánh đầu tiên khiến tôi thấy được sự khác biệt của Covid-19 là khi bệnh nhân đầu tiên của tôi tiến triển nặng. Gần như, tôi đã phải kêu Chúa ơi, đây rõ ràng không phải cúm. Nhìn anh chàng tương đối trẻ này thở hổn hển, những giọt dịch màu hồng chảy ra từ ống thở và miệng anh ấy mà xem.
Máy thở đáng lẽ đã phải giúp bệnh nhân thở nhưng anh ấy vẫn thở hổn hển, mấp máy miệng, lục đục người và vùng vẫy. Chúng tôi đã phải kiềm chế anh ấy xuống. Tất cả các bệnh nhân nhiễm virus corona khác, chúng tôi cũng đã phải kiềm chế họ.
Họ thở gấp, thực sự phải giành giật lấy từng ngụm không khí. Khi đầu óc bạn đang chìm trong cơn khó thở và mê sảng vì sốt, bạn không biết khi nào và có ai đó đang cố gắng giúp bạn, vì vậy bạn sẽ cố gắng giằng ống thở ra ngoài vì bạn cảm thấy nó khiến bạn bị nghẹn, nhưng sự thực thì bạn đang chết đuối.
Trước đây, khi gặp một bệnh nhân nào đó bị nhiễm trùng, tôi sẽ thấy những chất dịch có màu sắc bình thường mà có thể được giải thích một cách hợp lý. Chúng có màu xanh lá cây hoặc màu vàng. Nhưng với bệnh nhân Covid-19 bị suy hô hấp cấp, họ đã có rất nhiều dịch tiết màu hồng, vì chúng chứa đầy các tế bào máu đang rỉ từ mạch vào đường thở.
Về cơ bản, họ đang bị chết đuối trong máu và dịch lỏng vì phổi của họ đã ngập đầy chúng. Cũng bởi vậy mà mỗi lần bước tới giường bệnh, chúng tôi đã liên tục phải hút dịch tiết ra ngoài.

Chúa ơi, đây rõ ràng không phải cúm. Nhìn anh chàng tương đối trẻ này thở hổn hển, những giọt dịch màu hồng chảy ra từ ống thở và miệng anh ấy mà xem.
Trước khi tất cả những điều này xảy ra, chúng tôi đều đã đùa nhau. Những câu bông đùa hết sức trợn trạo, rằng nếu bản thân chúng tôi phơi nhiễm với virus, rồi được xét nghiệm dương tính, được cách ly thì chúng tôi sẽ được nhận tiền trợ cấp.
Tất cả chúng tôi đều nói đùa: Tôi muốn nhiễm virus corona vì sau đó tôi sẽ được nghỉ phép có lương.
Nhưng rồi khi tôi chứng kiến những gì xảy ra với bệnh nhân này, tôi dường như đã thốt lên một lần nữa: Chúa ơi, con không muốn bị nhiễm virus này và con cũng không muốn bất cứ ai con quen biết nhiễm phải virus này.
Bắt đầu từ tuần trước, tôi đã làm việc dưới cường độ rất nặng. Bạn đầu tôi còn xem điều đó như một trải nghiệm mới lạ. Nhưng càng về sau, nó càng trở thành một vấn đề nghiêm trọng. Mới đầu, bệnh viện chỗ tôi chỉ tiếp nhận một đến hai bệnh nhân, nhưng sau đó tăng lên đến 10 rồi 20.
Mỗi ngày, cường độ làm việc cứ tăng dần lên. Chúng tôi có nhiều bệnh nhân hơn và nhiều bệnh nhân tiến triển ngày một nặng hơn. Khi mọi thứ bắt đầu, tất cả chúng tôi đều có hàng tấn thiết bị, hàng tấn vật tư y tế. Nhưng khi có nhiều bệnh nhân hơn, mọi thứ dần cạn kiệt.
Bệnh viện đã phải ra mức giới hạn. Lúc đầu, chúng tôi cố gắng sử dụng một mặt nạ cho mỗi bệnh nhân. Nhưng sau đó chỉ thị mới là: Bạn có một mặt nạ cho bệnh nhân tích cực, một mặt nạ khác cho những người còn lại. Và bây giờ chỉ thị là: Bạn chỉ còn một mặt nạ.
Tôi làm việc theo những ca kéo dài 12 tiếng. Ngay lúc này, chúng tôi đang vận hành lượng máy thở gấp 4 lần so với bình thường. Chúng tôi có một khối lượng bệnh nhân lớn và thật khó để tìm đủ người lấp đầy tất cả các ca.

Bạn còn không thể dừng lại để cài đặt thông số máy thở một cách tỉ mẩn, bởi bạn không còn nhiều thời gian khi ghé thăm từng phòng.
Tỷ lệ người chăm sóc bệnh nhân đã giảm và bạn không thể dành nhiều thời gian cho từng bệnh nhân được nữa. Bạn còn không thể dừng lại để cài đặt thông số máy thở một cách tỉ mẩn, bởi bạn không còn nhiều thời gian khi ghé thăm từng phòng.
Chúng tôi cũng phải cố gắng hạn chế bước vào phòng bệnh ở mức ít nhất có thể, để giảm nguy cơ lây nhiễm chéo sang nhân viên y tế và kéo dài thời gian sử dụng các thiết bị bảo hộ cá nhân.
Chúng tôi đang cố gắng giảm chỉ định máy thở xuống mức càng ít bệnh nhân cần nó càng tốt. Bởi vì bạn sẽ không muốn để bất kể một bệnh nhân nào thở máy lâu hơn mức họ cần. Nguy cơ tử vong của bạn tăng lên mỗi ngày khi bạn sử dụng máy thở.
Khi đó, một luồng không khí áp lực cao đang được đẩy vào phổi, và có thể tràn vào những quả bóng nhỏ bên trong đó. Chúng có thể bị bóp vỡ. Không khí có thể phá hủy phế nang. Ngay cả khi bạn sống sót sau ARDS, mặc dù một số thiệt hại có thể được chữa lành, nhưng có những di chứng trong phổi sẽ tồn tại lâu dài.
Lá phổi của bạn có thể bị lấp đầy bởi mô sẹo. ARDS có thể dẫn đến suy giảm nhận thức. Một số người mất cơ bắp, và họ phải mất một thời gian dài để hồi phục sau khi kết thúc liệu trình thở máy.
Có một điều rất thực tế vào lúc này, đó là chúng tôi có thể hết giường ICU bất cứ lúc nào. Và khi đó, không biết chuyện gì sẽ xảy ra với các bệnh nhân cần đặt nội khí quản và máy thở.
Liệu họ sẽ chết vì chúng tôi không còn đủ thiết bị để giữ cho họ sống? Điều gì sẽ xảy ra nếu dịch bệnh này còn kéo dài trong nhiều tháng, sẽ có hàng tá bệnh nhân tử vong vì chúng tôi không còn máy thở dành cho họ?
Tôi hi vọng mọi chuyện sẽ không đến mức đó, nhưng nếu bạn chỉ có một máy thở và lại có tới hai bệnh nhân, bạn sẽ phải dành máy thở cho người có khả năng sống sót cao hơn. Và tôi sợ rằng chúng ta đã đi tới đó. Tôi nghe nói rằng chuyện này đã xảy ra ở Ý.
Theo Trí Thức Trẻ
