Một bệnh nhân bị chiếc đinh dài 12cm chọc xuyên qua đỉnh phổi, chui qua lỗ liên hợp xuyên qua tuỷ sống (đoạn tuỷ ngực T2-3 sang tận lỗ liên hợp phía bên kia), vừa được các bác sĩ BVĐK Đức Giang cứu sống ngoạn mục. Theo các chuyên gia, đây là ca bệnh cực kì hiếm, trên thế giới đến nay mới có 11 ca được báo cáo.

Bệnh nhân là N.H.T, nam giới, 42 tuổi. Cách đây hơn 1 năm, anh T. bị ngã gãy xương đòn nên đã được mổ đóng 2 đinh để kết hợp xương đòn. Sau đó bệnh nhân được rút một chiếc đinh ra, chiếc còn lại do nằm quá sâu nên chưa thể rút ra ngay được.

Bệnh nhân về nhà, thấy không có biểu hiện gì bất thường nên đã không thăm khám lại để rút đinh. Tuy nhiên, chiếc đinh dần dần trôi tuột ra khỏi xương rồi chọc vào phổi và xuyên qua tủy sống.

Trao đổi với PV , BS. Trần Trung Kiên - Trưởng khoa Chấn thương chỉnh hình, BVĐK Đức Giang cho biết, trường hợp bệnh nhân này vô cùng đặc biệt, bệnh nhân bị một chiếc đinh Kirschner (K-wire) dài 12cm di chuyển từ phần đầu ngoài xương đòn chạy xuyên qua đỉnh phổi xuyên thẳng vào tuỷ sống. Điều kì lạ là bệnh nhân không hề có bất cứ một dấu hiệu tổn thương thần kinh, vẫn sinh hoạt bình thường mà không hề hay biết về mức độ nguy hiểm của mình.

"Nếu cứ tiếp tục để lâu như vậy thì hậu quả khôn lường, bệnh nhân có thể liệt bất cứ lúc nào. Chiếc đinh cũng có thể tiếp tục trôi đi bất cứ đâu, gây tổn thương thêm các tạng khác của cơ thể"- BS. Kiên nói.

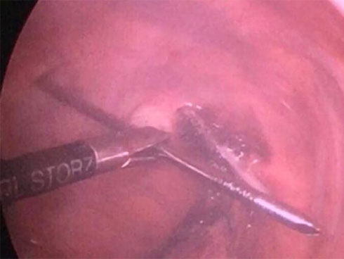
Các bác sĩ tiến hành nội soi lấy trọn chiếc đinh nhọn 12cm ra khỏi cơ thể bệnh nhân.

BS. Kiên cho hay, đứng trước một ca bệnh vô cùng hóc búa và hi hữu, các bác sĩ đã tiến hành hội chẩn toàn bệnh viện, hội chẩn xin ý kiến các giáo sư và chuyên gia nhiều kinh nghiệm về lĩnh vực cột sống, hội chẩn với bác sĩ chuyên khoa lồng ngực tim mạch và tham khảo kinh nghiệm từ các bài viết của các tác giả nước ngoài để có một chiến thuật điều trị hợp lý và an toàn nhất cho bệnh nhân.

Sau khi hội chẩn xin ý kiến nhiều chuyên gia, các bác sĩ Chấn thương chỉnh hình đã quyết định phẫu thuật cho bệnh nhân. Kíp phẫu thuật phối hợp giữa chuyên khoa Chấn thương chỉnh hình - Cột sống và chuyên khoa Phẫu thuật lồng ngực tim mạch đã quyết định sử dụng phương pháp mổ nội soi để rút đinh thay vì mổ mở vào lồng ngực như các tác giả nước ngoài. Tận dụng lợi thế phẫu thuật nội soi ít gây tổn thương thêm cho các phần mềm xung quanh và hình ảnh qua camera được phóng to giúp kiểm soát chảy máu và kiểm soát tổn thương tuỷ sống, dò dịch não tuỷ dễ dàng hơn.

"Sau 20 phút vô cùng căng thẳng, chiếc đinh được gỡ ra khỏi nhu mô phổi và nhẹ nhàng rút ra khỏi tuỷ sống một cách an toàn, không gây tổn thương tuỷ sống và hệ thống mạch máu xung quanh tuỷ. Lỗ rút đinh chảy 1 chút dịch não tuỷ được bịt kín lại"- BS. Kiên thông tin.

Hình ảnh chiếc đinh khổng lồ qua phim chụp X-quang.

Các bác sĩ phải đợi bệnh nhân tỉnh táo trở lại để kiểm tra các dấu hiệu thần kinh mới kết luận và thông báo cho người nhà biết ca mổ đã vô cùng thành công. Hôm nay (18/8), sau một ngày phẫu thuật bệnh nhân đã khá ổn định, tươi tắn, cười nói vui vẻ. Theo nhận định của các chuyên gia, tuy còn phải theo dõi sau mổ thêm một thời gian nhưng với thành công bước đầu như vậy đã có thể gọi là một kì tích thần kì.

Qua ca mổ này, kíp phẫu thuật cũng khuyến cáo các bác sĩ nên thận trọng khi chỉ định mổ gãy xương đòn. Các bệnh nhân đã mổ gãy xương đòn nên đi khám kiểm tra định kì và rút đinh sớm, tránh để xảy ra những biến chứng đáng tiếc.

 

BS. Trần Trung Kiên thăm khám cho bệnh nhân T. sáng ngày 18/8/2018.

Được biết, các ca bệnh như trường hợp anh T. là vô cùng hi hữu. Ca bệnh giống như này được Hinzpeter&Sartor báo cáo lần đầu tiên trên thế giới vào năm 1977, từ đó đến nay đã có 11 trường hợp được báo cáo. Ca bệnh này tại BVĐK Đức Giang là ca bệnh thứ 12 đã được phẫu thuật thành công khẳng định tay nghề của các bác sĩ tại y tế tuyến cơ sở có thể làm chủ kỹ thuật, nâng cao chất lượng khám chữa bệnh cho người dân.

Theo Sức khỏe đời sống