Theo truyền thông Trung Quốc, ngày 13/5 vừa qua, cô Vương (24 tuổi, ở Hàng Châu, Trung Quốc) đã xuất hiện các triệu chứng như ho, mệt mỏi và sốt. Sau khi đến bệnh viện kiểm tra, cô được chẩn đoán mắc bệnh viêm phổi do nấm.
Theo cô Vương, cách đây 1 tháng, cô phát hiện tủ quần áo ở nhà có vết ẩm mốc nên đã lau chùi những bộ phận bị ẩm mốc nhưng không đeo khẩu trang, trong quá trình vệ sinh, cô hít phải rất nhiều tạp chất và bụi bẩn phát sinh, sau đó xuất hiện các triệu chứng ho kịch phát nhẹ và không nghiêm trọng. Tuy nhiên, các triệu chứng như ho, mệt mỏi xuất hiện và sốt lên tới 40 độ C dần xuất hiện.
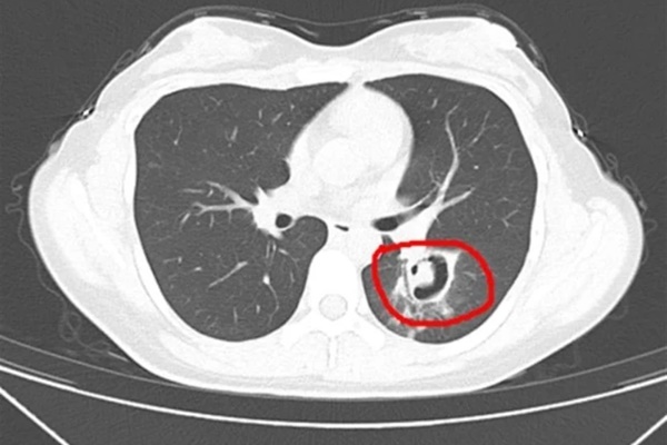
Sau một loạt kiểm tra, bác sĩ kết quả chụp CT phổi cho thấy những "chồi cây nhỏ" đã mọc ra từ phổi của cô Vương và họ nghi ngờ cô bị viêm phổi do nấm. Tiếp theo, bác sĩ tiến hành nội soi phế quản, phát hiện một lượng lớn mảng trắng trên thành đường thở. Sau khi xét nghiệm, xác định đó là Aspergillus.
Trước đó, bà Đại, 63 tuổi đến từ tỉnh Hồ Nam (Trung Quốc) cũng trở thành nạn nhân của việc này. Theo lời của chính bà, gần đây bà đã sắp xếp lại sách và ảnh cũ ở nhà, những bức ảnh và sách cũ này ẩn chứa rất nhiều mạt bụi và nấm mốc. Trong quá trình vệ sinh, bà không thực hiện các biện pháp bảo vệ, dẫn đến hít phải một lượng lớn mạt bụi và nấm mốc, sau đó bị dị ứng nặng, gây ra các triệu chứng hen suyễn và đau đến mức không thể thở được.

Cô Vương được chẩn đoán mắc bệnh viêm phổi do nấm
Nấm mốc xâm nhập vào phổi bằng cách nào?
Bác sĩ Li Jianmin, Trưởng Đơn vị Chăm sóc Hô hấp Số 3 thuộc Bệnh viện Nhân dân tỉnh Hồ Nam (Trung Quốc), cho biết: "Khi xâm nhập vào cơ thể con người cơ thể, nấm mốc có thể gây ngộ độc mãn tính, gây ung thư và gây quái thai, gây đột biến, viêm phổi do hít phải...".
Nấm mốc có thể phát triển trong thực phẩm, phấn hoa, đất, thực vật, nhà cửa và các môi trường khác. Khi hệ thống miễn dịch của con người bị tấn công hoặc yếu đi, nấm mốc có thể xâm nhập vào phổi và gây viêm phổi do nấm.
Các triệu chứng điển hình của bệnh viêm phổi do nấm chủ yếu bao gồm ho dai dẳng, có đờm, sốt, đau ngực và khó thở. Các triệu chứng ban đầu có thể giống với triệu chứng cảm lạnh hoặc cúm thông thường, vì vậy chúng có thể dễ dàng bị bỏ qua. Điều quan trọng là phải cảnh giác với sự tồn tại dai dẳng và các triệu chứng ngày càng trầm trọng hơn.
Nấm mốc xâm nhập vào cơ thể con người cũng có thể gây nhiễm trùng ở miệng, da, hệ tiết niệu, đường tiêu hóa... thậm chí gây nhiễm trùng toàn thân. Đối với người bị dị ứng, hít nấm mốc vào cơ thể có thể gây dị ứng.
Ngoài ra, một số hóa chất có khả năng gây tổn thương phổi, dẫn đến nhiễm trùng phổi. Ví dụ, những người tiếp xúc với lượng lớn bụi, khói, không khí ô nhiễm và các nguồn ô nhiễm khác có thể dễ dàng gây tổn thương phổi, dẫn đến viêm phổi do nấm.
Tốt nhất nên đeo khẩu trang và găng tay khi vệ sinh
Nấm mốc thích môi trường ẩm ướt, ấm áp. Các bác sĩ nhắc nhở, nấm mốc có thể dễ dàng sinh sản ở một số phòng kém thông gió và ẩm ướt; đặc biệt là ở các góc, bệ cửa sổ, bồn rửa bát, bếp nấu, dụng cụ nhà bếp, bộ đồ ăn, vòng cao su, bên trong tủ lạnh, nhà vệ sinh, phòng tắm, máy giặt, điều hòa... nấm mốc có thể dễ sinh sôi và phát triển. Sách, thảm lâu ngày không sử dụng cũng dễ bị nấm mốc phát triển.
Người già, trẻ nhỏ, người mắc bệnh tiềm ẩn hoặc khả năng miễn dịch kém nên tránh xa bụi bặm càng nhiều càng tốt, hạn chế tiếp xúc với đất ẩm, mục nát; lục lọi hộp, tủ để dọn dẹp, phân loại quần áo cũ hoặc xử lý; những vật dụng có mùi mốc nồng nặc trong cuộc sống hàng ngày. Khi ở trong nhà gỗ tối tăm, ẩm ướt, tầng hầm và những nơi khác, hãy đeo khẩu trang và găng tay, quần áo dài để tránh hít phải trực tiếp khí có chứa nấm mốc.
Nguồn và ảnh: QQ, Healthline
Theo Phụ nữ mới
