
Chụp cổng hưởng từ sọ não cho thấy có nang sán trong não bệnh nhân. Ảnh: BVCC
Bệnh nhân H.T.L.A. (nữ giới, 38 tuổi) trú tại phường Phước Long, thành phố Nha Trang, tỉnh Khánh Hòa. Bệnh nhân có tiền sử chấn thương sọ não khoảng 10 năm, sau đó động kinh và đang điều trị bằng thuốc uống.
Trước khi vào viện, bệnh nhân xuất hiện triệu chứng đau đầu dữ dội và có nhiều cơn co giật mặc dù đã kiểm soát bằng thuốc chống động kinh.
Bệnh nhân được các bác sĩ cho các chỉ định làm cận lâm sàng. Qua hình ảnh chụp cộng hưởng từ sọ não có tiêm chất tương phản cho thấy người bệnh bị tổn thương não do sán. Kết quả xét nghiệm giải phẫu bệnh là mô não có nhiều ổ viêm hạt, trung tâm chất hoại tử, bao quanh lympho, đại bào nhiều nhân, tương bào và tế bào sợi. Kết luận tổn thương viêm não do nang sán.
Các bác sĩ Khoa Ngoại thần kinh đã tiến hành hội chẩn và thống nhất can thiệp bằng phương pháp ngoại khoa để điều trị cho bệnh nhân.
Ngày 4/8, bệnh nhân có chỉ định phẫu thuật. Sau 4 tiếng phẫu thuật, các bác sĩ đã lấy toàn bộ bao áp xe não. 6 ngày sau mổ, hiện tại, bệnh nhân sức khỏe ổn định, vết mổ khô, di chuyển và giao tiếp tốt.

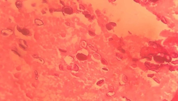
Hình ảnh trứng sán qua xét nghiệm giải phẫu bệnh. Ảnh: BVCC
Sán não là bệnh lý thuộc nhóm nhiễm trùng hệ thần kinh trung ương, gây ảnh hưởng nghiêm trọng đến sức khỏe của người bệnh với mức độ nguy hiểm rất cao, có thể dẫn đến tử vong nếu không được chẩn đoán và điều trị kịp thời. Bệnh phát triển âm thầm cho đến khi phát hiện những triệu chứng rõ rệt thường khá muộn. Do đó, các biện pháp dự phòng mắc bệnh sán não cần được người dân ưu tiên hàng đầu.
ThS.BS Hà Xuân Nguyên, Trưởng Khoa Giải phẫu bệnh cho biết: Nguyên nhân mắc bệnh sán não là do ăn phải ấu trùng sán dây lợn hoặc trâu, bò (thường do ăn thịt lợn hoặc trâu, bò tái, nem hoặc thịt nướng chưa nấu chín) hoặc rau sống chưa được vệ sinh sạch sẽ. Khi vào cơ thể, ấu trùng sán di chuyển theo đường máu tới não, phổi, gan... và gây bệnh. Nếu ấu trùng lên tá túc ở não sẽ gây bệnh ấu trùng sán não.
Bác sĩ Nguyên cũng cho biết thêm: Bệnh sán não là bệnh nguy hiểm nhưng người dân có thể phòng bệnh bằng cách tẩy giun sán định kỳ 6 tháng 1 lần (đối với trẻ từ 2 tuổi trở lên); rửa tay trước khi ăn và sau khi đi vệ sinh; cẩn thận khi ăn các loại rau sống; ăn chín, uống sôi. Đặc biệt, người dân không nên ăn tiết canh, gỏi sống và các thực phẩm tái, chưa được nấu kỹ.
Theo VTV
