Bác sĩ cho rằng dấu hiệu có kinh nguyệt (chảy máu âm đạo) của bà Hoàng không phải do kinh nguyệt mà là do 2 chứng bệnh này.
Bác sĩ Khoa Dịch tễ và Phụ khoa Lê Dục Mẫn (Đài Loan) mới đây đã thăm khám cho một bệnh nhân họ Hoàng 74 tuổi. Cụ bà này đã mãn kinh được 20 năm nhưng 2 tháng gần đây liên tục có dấu hiệu kinh nguyệt.
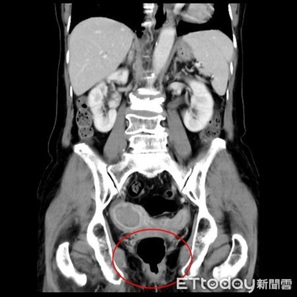
Bác sĩ Lê cho rằng đây là một dấu hiệu bất thường ở một người phụ nữ 74 tuổi nên đã cho bà đi siêu âm tử cung, kết quả cho thấy bà có "tử cung hai sừng", đây là một dạng dị tật bẩm sinh. Sở dĩ gọi là tử cung hai sừng vì hai bên tử cung có phần nhô lên giống như sừng, trong lòng tử cung có một vách ngăn.

Bác sĩ Khoa Dịch tễ và Phụ khoa Lê Dục Mẫn (bên trái ảnh) đang thăm khám cho bệnh nhân.
Ngoài ra, các bác sĩ còn tìm thấy 1 khối u nghi ngờ trong buồng tử cung bên phải, theo thăm khám bác sĩ xác định đây là khối u ung thư nội mạc tử cung. Như vậy, dấu hiệu chảy máu âm đạo của bà Hoàng không phải do kinh nguyệt mà là do 2 chứng bệnh này.
Các bác sĩ đã tiến hành cắt bỏ nội mạc tử cung cho bà Hoàng theo phương pháp nội soi 3D và kết hợp xa trị sau phẫu thuật. Hiện âm đạo của cụ bà 74 tuổi đã không còn hiện tượng chảy máu.
Theo bác sĩ Lê, ung thư nội mạc tử cung là bệnh ung thư phụ khoa thường gặp ở nữ giới. Bệnh có thể xảy ra ở bất kỳ độ tuổi nào, nhưng phổ biến hơn trong khoảng 45-75 tuổi. Loại ung thư này thường gặp hơn ở những đối tượng thừa cân, béo phì, mắc bệnh đái tháo đường, hay dùng các sản phẩm có chứa hormone estrogen.

Vừa mắc tử cung 2 sừng vừa mắc ung thư nội mạc tử cung là trường hợp khá hiếm, cần phải có đội ngũ y bác sĩ chuyên điều kh trị ung thư, nhiều năm kinh nghiệm mới có thể giúp bệnh nhân giảm thiểu tổn thương sau phẫu thuật và giảm sự xuất hiện của các biến chứng.
Theo các chuyên gia, kinh nguyệt có liên quan mật thiết đến sức khỏe sinh sản ở nữ giới. Đôi khi những bất thường ở "vùng kín" cũng là dấu hiệu cảnh báo nhiều bệnh nguy hiểm. Chính vì vậy nếu nhận thấy kinh nguyệt có những dấu hiệu này, chị em không nên bỏ qua mà hãy đi khám phụ khoa càng sớm càng tốt:
- Lượng máu kinh quá nhiều: Lượng máu kinh quá nhiều còn có thể là dấu hiệu của những vấn đề sức khỏe nghiêm trọng hơn như polyp cổ tử cung hay u xơ tử cung. Bệnh ung thư tử cung cũng có thể khiến máu kinh ra nhiều. Phụ nữ trên 35 tuổi cần đặc biệt lưu ý hiện tượng này.
- Chảy máu bất thường giữa 2 chu kỳ kinh nguyệt: Hiện tượng chảy máu bất thường giữa 2 chu kỳ kinh nguyệt có thể gây ra bởi những bệnh lý nguy hiểm như hội chứng buồng trứng đa nang, lạc nội mạc tử cung, viêm loét âm đạo. Thậm chí ung thư âm đạo, ung thư cổ tử cung…
- Kinh nguyệt không đều: Mỗi chu kỳ kinh nguyệt thường kéo dài từ 2-6 ngày. Nếu chu kỳ kinh nguyệt kéo dài hơn 7 ngày hoặc chu kỳ kinh nguyệt sau xuất hiện quá sớm hoặc quá muộn so với chu kỳ trước đó thì bạn nên tham khảo ý kiến bác sĩ.

- Chu kỳ kinh nguyệt quá khác thường so với tháng trước: Nếu hiện tượng chảy máu quá nhiều hoặc quá ít so với các kỳ kinh nguyệt khác hoặc bỗng đau bụng dữ dội khác hẳn những tháng khác thì bạn cũng nên đi kiểm tra bác sĩ.
- Không thấy kinh nguyệt vài tháng liền: Không thấy kinh nguyệt xuất hiện có thể là do mang thai hoặc có thể là dấu hiệu của nồng độ hormone trong cơ thể đang có vấn đề.
Theo Helino
