Theo Newsweek, trong bối cảnh thiếu hụt bộ xét nghiệm Covid-19, hình ảnh chụp cắt lớp vi tính (CT) phổi của các bệnh nhân đã trở thành "phòng tuyến đầu tiên" để các cơ sở y tế biết được họ có nhiễm virus corona hay không.
Trong số các nghiên cứu mới đây được đăng trên tạp chí y khoa của Hiệp hội X quang Bắc Mỹ (RSNA) - Radiology - có một bài viết mô tả trường hợp một bệnh nhân 44 tuổi ở Vũ Hán, là nhân viên vận chuyển hàng hoá tại khu chợ hải sản Hoa Nam, nơi được cho là điểm đầu tiên bùng phát dịch Covid-19.
Người này đã bị sốt cao và ho trong 13 ngày trước khi được nhập viện hôm 25/12/2019. Tại đây, bệnh nhân được chẩn đoán bị viêm phổi nặng - tình trạng mà các khu vực chứa khí trong phổi bị viêm - dẫn đến hội chứng suy hô hấp cấp tính.

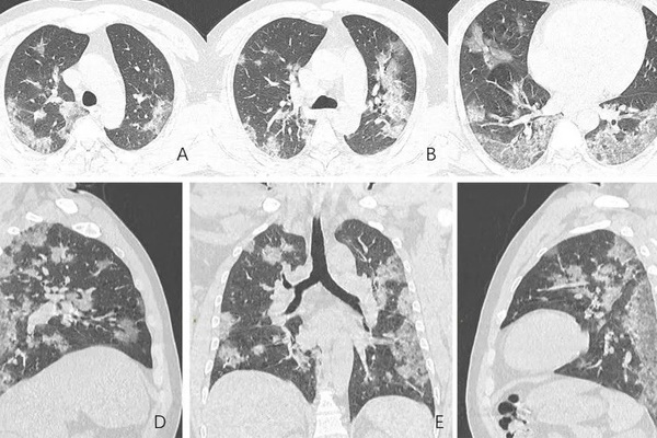
Hình ảnh chụp cắt lớp vi tính của phổi bệnh nhân 44 tuổi nhiễm Covid-19 tại Vũ Hán - có thể thấy rõ những đốm trắng hình thành và lan rộng. Ảnh: Newsweek.
Các bác sĩ ở Vũ Hán cuối cùng chẩn đoán người này nhiễm Covid-19 sau khi loại trừ nhiễm trùng và các bệnh khác có thể dẫn đến viêm phổi. Bất chấp nỗ lực của các bác sĩ để cứu sống bệnh nhân, người này tử vong khoảng một tuần sau đó.
"Trường hợp này xảy ra tại thời điểm bùng phát dịch Covid-19, cho thấy mức độ nghiêm trọng tiềm tàng của bệnh này, đồng thời nhấn mạnh vai trò của việc sử dụng hình ảnh để theo dõi tiến triển của bệnh", các tác giả của bài báo nhận định.
"Hơn nữa, hình ảnh chụp cắt lớp vi tính cũng có thể có vai trò chẩn đoán quan trọng, đặc biệt là khi mà các xét nghiệm khác không có sẵn", các bác sĩ cho biết thêm.
Khi dịch bệnh đang lây lan nhanh chóng ở thành phố Vũ Hán, với hàng nghìn ca nhiễm mới mỗi ngày, các bác sĩ Trung Quốc đã sử dụng hình ảnh chụp CT như một cách để chẩn đoán Covid-19 trong bối cảnh thiếu hụt bộ dụng cụ xét nghiệm RNA.
Trong hình ảnh chụp CT của bệnh nhân 44 tuổi ở Vũ Hán, có thể thấy rõ các mảng trắng hình thành trên phổi của người này. Thông thường đây được coi là một dấu hiệu bất thường mà các bác sĩ X-quang gọi là "tổn thương kính mờ" - khi một phần khí trong phế nang bị thay thế bởi dịch tiết hoặc dịch thấm, hoặc tổ chức xơ kèm dày, hoặc phế nang bị xẹp.
Ông Sean Jorgensen Callahan, trợ lý giáo sư Khoa Nội tại Đại học Utah, cho rằng Covid-19 có thể gây viêm trong những không gian nhỏ của phổi, khiến dịch viêm tích tụ ở đây, dẫn đến việc oxy không thể di chuyển từ phổi vào máu.
"Khi điều này xảy ra, bệnh nhân sẽ cảm thấy rất khó thở, nồng độ oxy thấp, ho và có các triệu chứng hô hấp khác... Phổi bình thường trên hình chụp CT sẽ có màu đen hoặc xám đen. Các khu vực bất thường sẽ có màu trắng", ông Callahan cho biết.
Theo Zing
