Ông Vương năm nay 43 tuổi (Trung Quốc), là một người nghiện thuốc, ông hút cả bao thuốc mỗi ngày trong hơn 20 năm. Thời gian gần đây, ông Vương bắt đầu có triệu chứng tức ngực và khó thở, nhất là khi thức dậy vào buổi sáng. Thấy không có chuyện gì to tát nên ông cũng không quan tâm, phải đến khi được người nhà thuyết phục thì ông Vương mới quyết định đến bệnh viện khám.
Kết quả xét nghiệm cho thấy ông Vương bị ung thư phổi giai đoạn cuối, ông Vương và gia đình đều không thể tin hay chấp nhận được, nhưng sự thật không thể thay đổi.

Theo hoàn cảnh của ông Vương, không quá bất ngờ khi kết quả khám là ung thư phổi, vì ông là người nghiện thuốc lá lớn tuổi, ngày nào cũng hút thuốc nhiều, độ tuổi nằm trong nhóm nguy cơ cao. Đồng thời, ông Vương cũng xuất hiện các triệu chứng của bệnh ung thư phổi - tức ngực và khó thở.
Mọi người đều ít nhiều biết rằng có sự khác biệt lớn về hiệu quả điều trị ung thư phổi giai đoạn đầu và giai đoạn cuối. Ung thư phổi giai đoạn đầu có hiệu quả điều trị tương đối tốt, đặc biệt là những giai đoạn rất sớm như ung thư biểu mô tại chỗ hoặc ung thư biểu mô xâm lấn tối thiểu hiệu quả chữa khỏi 100%; ung thư biểu mô tuyến phổi với tỷ lệ chữa khỏi 90% ở giai đoạn đầu.
Nếu muộn, tỷ lệ chữa khỏi của bộ phận này về cơ bản không quá 10%. Vì vậy, ung thư phổi phải được phát hiện và điều trị sớm. Làm thế nào để phát hiện sớm ung thư phổi?
3 dấu hiệu khi thức dậy vào buổi sáng: Ung thư phổi có thể đang đến gần
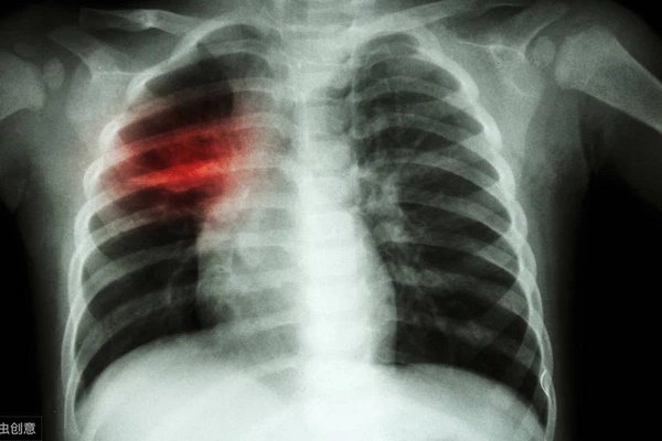
1. Tức ngực và khó thở khi thức dậy vào buổi sáng
Phổi là bộ phận quan trọng trong hệ hô hấp của con người, nếu phổi bị tổn thương nghiêm trọng sẽ xuất hiện các triệu chứng như tức ngực, khó thở. Đối với những người hút thuốc lá lâu năm hoặc hút một lượng lớn thuốc lá mỗi ngày, nếu bạn có những biểu hiện như vậy, nhất là khi bạn dậy sớm thì có nghĩa là phổi của bạn đã "phản kháng" và "kêu cứu" rồi, lúc này bạn phải kiên quyết bỏ thuốc.

2. Đi tiêu bất thường khi thức dậy vào buổi sáng
Đại tiện bất thường và bệnh phổi có mối liên hệ với nhau khiến nhiều người phải hoang mang. Trên thực tế, theo lý luận của y học phương Đông, phổi và ruột già là một hệ thống, nếu phổi có vấn đề thì có thể gây ra một số triệu chứng về ruột già. Ví dụ, độc tố trong phổi quá nhiều có thể dẫn đến nhu động ruột già kém, dẫn đến táo bón, đặc biệt là khi thức dậy vào buổi sáng, các triệu chứng sẽ rõ ràng hơn.

3. Soi gương thấy da xỉn màu khi thức dậy vào buổi sáng
Nhiều người soi gương khi thức dậy vào buổi sáng, nhưng có bao nhiêu người đã chú ý đến sức khỏe của mình bằng cách soi gương. Sức khỏe của làn da có mối quan hệ quan trọng với phổi, khi sức khỏe của phổi không bình thường và sự tích tụ độc tố trong cơ thể tăng lên sẽ phản ánh lên da khiến da xỉn màu.
Do đó, khi bạn soi gương vào buổi sáng và thấy khuôn mặt của mình tối sầm, đó là phổi của bạn đang nhắc nhở bạn rằng đã đến lúc phải chú ý đến sức khỏe phổi của mình, nếu không, bạn nên cẩn thận với sự tiếp cận của bệnh ung thư phổi.

Nuôi dưỡng và bảo vệ phổi, tránh xa ung thư phổi
Khả năng tự bảo vệ của phổi rất yếu, vì vậy chúng ta phải làm tốt công tác nuôi dưỡng và bảo vệ phổi trong sinh hoạt, để phổi khỏe mạnh hơn, tránh xa bệnh ung thư phổi.
1. Ít hút thuốc hơn
Như chúng ta đã biết, những người hút thuốc lá có nguy cơ mắc ung thư phổi cao hơn nhiều so với những người bình thường, vì vậy hãy cố gắng tránh hút thuốc hoặc tiếp xúc với khói thuốc trong cuộc sống hàng ngày.

2. Hít thở sâu và tập thể dục nhiều hơn
Thường xuyên thực hành hít thở sâu, thở ra cái cũ và tiếp nhận cái mới có thể nâng cao dung tích phổi và có lợi cho sức khỏe của phổi.
Ngoài ra, tập thể dục thường xuyên, đặc biệt là tập aerobic chậm, rất có lợi cho sức khỏe của phổi. Ví dụ như đi bộ, Thái Cực Quyền… xoa bóp từ từ, chậm rãi có thể làm tăng dung tích phổi của con người, cải thiện chức năng phổi, giúp luyện thở sâu và chậm.

Cần chú ý một điều trong quá trình luyện tập để bảo vệ sức khỏe của phổi, không nên vận động mạnh và không để hết hơi.
3. Ít buồn hơn, nhiều tiếng cười hơn
Buồn bã quá mức rất có thể làm tổn thương khí phổi, hoặc làm cho khí phổi bị trục trặc. Vì vậy, giữ tâm trạng vui vẻ rất có lợi cho sức khỏe của phổi.

Ngoài ra, cười thường xuyên có thể thúc đẩy phổi và giúp phổi khỏe mạnh. Cười có thể làm giãn nở phổi, thông đường thở, giúp thở dễ dàng hơn. Vì vậy, hãy vui vẻ và cười nhiều hơn một chút để phổi khỏe mạnh hơn.
Theo Pháp luật & Bạn đọc
