Một người đàn ông trung niên họ Tạ, sống tại Hàng Châu (Trung Quốc) đã bị sán lá gan “ăn rỗng” một bên gan trái chỉ vì vài sở thích khi ăn uống. Cụ thể, từ giữa tháng 3, ông bắt đầu cảm thấy khẩu vị suy giảm, ăn gì cũng không ngon, trong người mệt mỏi. Lúc này, ông Tạ đơn giản nghĩ do mình dạo này bận rộn hơn nên cơ thể suy nhược, bồi bổ một chút là sẽ ổn.
Tình trạng này cứ kéo dài mãi trong hơn 2 tuần. Đến cuối tháng 3, ông chuyển sang chán ăn nghiêm trọng, tiêu chảy nặng, đau hạ sườn, sốt cao kèm ớn lạnh nhưng không khỏi. Người nhà thuyết phục mãi ông mới chịu tới bệnh viện thăm khám.

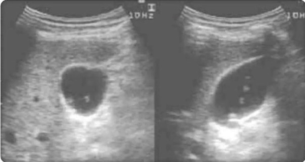
Hình ảnh siêu âm gan trái của ông Tạ khi bị sán lá gan nhỏ ăn mòn và gây áp xe (Ảnh bác sĩ cung cấp)
Siêu âm gan chỉ ra gan trái của ông gần như đã bị “đục rỗng”. Bởi các tế bào gan đều bị chúng tấn công, cả lá gan chẳng khác nào quả bóng lớn bên trong chứa đầy mủ. Khu vực viêm bị lan rộng ra xung quanh, nhất là vùng cơ bụng trước. Để điều trị áp xe gan, ông phải lập tức nhập viện làm phẫu thuật.
Bác sĩ cho biết, phía sau tổn thương gan của bệnh nhân là rất nhiều ký sinh trùng và trứng của chúng. Ông cũng phải rùng mình khi thấy cảnh tượng những con sán lá gan bò lồm ngồm trong gan, mật của ông Tạ. Nếu không điều trị dứt điểm, e rằng hậu quả khôn lường, thậm chí gây nguy hiểm tính mạng.
Sán lá gan xâm nhập và gây hại cho cơ thể như thế nào?
Bác sĩ điều trị của ông Tạ giải thích, sán lá gan chia làm sán lá gan lớn và sán lá gan nhỏ. Loại sán gây áp xe gan cho ông Tạ là sán lá gan nhỏ hay còn được gọi là sán lá gan Trung Quốc (do tỷ lệ mắc ở nước này rất cao) có tên khoa học là Clonorchis sinensis.
Gọi là sán lá gan nhỏ vì sán khi trưởng thành, chiều dài của sán chỉ từ 10 - 20 mm, chiều rộng 2 - 4mm, kích thước này nhỏ hơn nhiều so với sán lá gan lớn. Trứng sán lá gan nhỏ để tồn tại và phát triển cần phải có môi trường nước, trứng sẽ hỏng nếu ở trên cạn hoặc khi nhiệt độ mặt trời quá cao.

Sán lá gan nhỏ thường sống ký sinh và xâm nhập vào cơ thể người qua các món cá, tôm, ốc… chưa chín (Ảnh minh họa)
Sán lá gan nhỏ là vi sinh vật có chu kỳ sinh trưởng phức tạp. Ở người, sán trưởng thành ký sinh ở đường mật, đẻ trứng, trứng sán lá gan nhỏ sẽ theo mật xuống ruột và theo phân ra ngoài môi trường. Nếu phân rơi vào môi trường nước, trứng sán sẽ phát triển thành ấu trùng lông. Những ấu trùng lông này sẽ di chuyển tự do trong nước và tìm đến cư trú trong các loài ốc. Trong cơ thể ốc, ấu trùng lông sẽ phát triển thành những ấu trùng đuôi. Các ấu trùng đuôi sau đó sẽ rời ốc và tìm đến cư trú trong các loài cá nước ngọt, phát triển thành nang ấu trùng trong cơ thể cá.
Bệnh sán lá gan nhỏ thường xuất hiện ở những người từng ăn cá, tôm, ốc… sống hoặc chưa chín kỹ hoàn toàn. Ấu trùng sán lá gan sẽ theo các loại cá, tôm, ốc… này xuống dạ dày, tới tá tràng rồi theo đường mật lên gan, phát triển thành sán lá gan trưởng thành ký sinh và gây bệnh ở đường mật. Thời gian từ khi ấu trùng xâm nhập cơ thể đến khi sán trưởng thành gây các triệu chứng bệnh khoảng 3 - 4 tuần.
Triệu chứng bệnh phổ biến bao gồm: đau tức vùng gan, chán ăn, rối loạn tiêu hóa, ậm ạch khó tiêu, phát ban toàn thân, nổi mẩn, có thể sạm da, vàng da, kèm theo thiếu máu. Khi xét nghiệm phát hiện trứng sán lá gan nhỏ trong phân hoặc dịch dạ dày. Siêu âm có hình ảnh gan tăng sáng, có thể có dấu hiệu gan to hoặc xơ gan tùy theo mức độ bệnh, ống mật bị giãn, thành ống mật và thành túi mật dày.
Bệnh sán lá gan nhỏ gây ảnh hưởng nghiêm trọng đến sức khỏe người bệnh. Ký sinh lâu ngày có thể gây các tình trạng như:
- Đau bụng, rối loạn tiêu hóa, thiếu máu, kích thích và viêm đường mật, áp xe đường mật.
- Xơ hóa lan tỏa ở khoảng cửa, tổ chức gan tăng sinh, thoái hóa mỡ gan, áp xe gan, có thể có cổ trướng
- Sỏi mật, đặc biệt có thể gây ung thư đường mật cholangiocarcinoma.
Tuy nhiên, điều đáng sợ nữa là loại sán này có thể ký sinh trong cơ thể người tới 30 năm. Nhiều trường hợp không phát ra triệu chứng rõ ràng ở thời gian đầu nên rất khó phát hiện. Trong khi gan lại là cơ quan có khả năng bù trừ rất lớn, nên khi gan bị tổn thương rất nặng mới phát ra các triệu chứng đặc hiệu.
Giống như trường hợp của ông Tạ, sán lá gan nhỏ thực chất đã xâm nhập và sống ký sinh trong cơ thể ông Tạ được nhiều năm. Nhưng do triệu chứng không rõ ràng, bệnh nhân quá chủ quan lại có vài bệnh lý nền dễ gây nhầm lẫn nên đến khi gây áp xe gan mới được phát hiện.
Cụ thể, điều tra bệnh sử cho thấy khoảng vài năm trước ông có sở thích ăn hải sản, thủy sản sống. Nhất là các món đặc trưng của vùng Quảng Đông (Trung Quốc) mà ông làm việc những năm đó như gỏi cá, gỏi tôm… Đặc biệt, ông từng rất mê các món ốc nước ngọt và gần như ăn chúng mỗi ngày. Tuy nhiên, sau khi trở về Hàng Châu thì ông rất ít khi động tới các món này.
May mắn là y học hiện đại đã tìm ra các loại thuốc đặc trị sán lá gan. Sau gần 2 tuần điều trị tích cực, áp xe gan của ông Tạ đã suy giảm đáng kể. Tuy nhiên, vẫn cần tiếp tục nằm viện để điều trị và theo dõi thêm trong một thời gian dài.

Dù đã có thuốc đặc trị nhưng bệnh sán lá gan nhỏ không phát hiện kịp thời có thể gây nguy hiểm tính mạng (Ảnh minh họa)
Qua trường hợp này, bác sĩ cũng nhắc nhở mỗi chúng ta nâng cao ý thức phòng chống sán lá gan. Hãy luôn ăn chín uống sôi, ăn thủy hải sản rõ nguồn gốc và cẩn trọng khi chế biến, không dùng chung dụng cụ nhà bếp giữa thực phẩm sống và chín. Đặc biệt là không ăn gỏi cá và các món ăn từ cá chưa được chế biến chín. Tuyệt đối không dùng phân người để nuôi cá, không phóng uế xuống các nguồn nước.
Theo Phụ nữ Việt Nam
