Chị Hà chia sẻ, cách đây 3 năm chị có dấu hiệu đau bả vai trái. Chị nghĩ do làm việc vất vả nên đau, chị không đi khám ở nhà tự mua thuốc về uống. Lúc đầu khi uống thuốc, chị thấy đỡ đau nhưng về sau chị vẫn bị đau lại, cơn đau âm ỉ mỗi ngày một tăng.
Thời gian gần đây, chị Hà bị đau bả vai nhiều, gây ảnh hưởng tới cuộc sống nên chị quyết định tới Bệnh viện Đa khoa Hùng Vương khám.
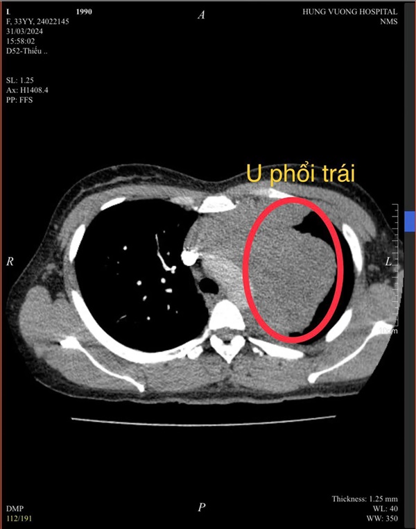
Tại đây, chị Hà được khám và tư vấn chụp cắt lớp vi tính phổi. Kết quả trên hình ảnh phim phát hiện khối u thuỳ trên phổi trái rất to, kích thước 9x12 cm. Các bác sĩ đã tiến hành sinh thiết, kết quả trả về kết luận: ung thư phổi (u ác) giai đoạn 3b.
Bác sĩ Tẩn A Pao, Phó trưởng khoa Ung thư và chăm sóc giảm nhẹ, Bệnh viện Đa khoa Hùng Vương cho hay, bệnh nhân khá trẻ, mắc ung thư phổi ở giai đoạn muộn, có chỉ định hóa trị.
Khi khai thác tiền sử gia đình, bác sĩ cho biết bố mẹ, anh chị em ruột của bệnh nhân không mắc ung thư phổi. Bệnh nhân làm nông nghiệp không có yếu tố nguy cơ làm việc trong môi trường độc hại như: sản xuất thuốc lá, hầm mỏ, sản xuất xi măng.
"Bản thân bệnh nhân không hút thuốc lá. Tuy nhiên, chồng của bệnh nhân lại hút thuốc lá khoảng 20 năm nay. Qua loại trừ, chúng tôi nghĩ nguyên nhân mắc ung thư của bệnh nhân nhiều khả năng do hút thuốc lá thụ động từ chồng. Đây được coi là một trong những nguyên nhân dẫn tới ung thư phổi", bác sĩ Pao nói.

Khối u phổi lớn bên thủy phổi trái (ảnh bác sĩ cung cấp).
Theo số liệu thống kê, ung thư phổi đứng thứ 2 về tỷ lệ mắc mới và là nguyên nhân hàng đầu gây tử vong. Riêng tại Việt Nam, năm 2020, tỷ lệ mắc ung thư phổi xếp thứ 2 với hơn 26.000 ca mắc mới và hơn 23.000 ca tử vong.
Nguyên nhân mắc ung thư phổi 90% là do hút thuốc lá, 4% là do hút thuốc lá thụ động (hít phải khói từ người hút thuốc). Hút thuốc lá làm tăng nguy cơ mắc ung thư phổi lên 15-30 lần so với người không hút. Ngoài ra, một số nguyên nhân khác làm tăng nguy cơ mắc ung thư phổi như yếu tố di truyền, môi trường làm việc có nhiều khói bụi ô nhiễm.
Phòng ngừa ung thư phổi
Theo bác sĩ Pao, mọi người có thể phòng ung thư phổi bằng cách:
- Không tiếp xúc hoặc hạn chế tiếp xúc với khói thuốc lào, thuốc lá; Không hút thuốc lá, thuốc lào; Trường hợp làm trong môi trường độc hại phải tuân thủ bảo hộ lao động.
- Chủ động đi tầm soát bệnh, đặc biệt là người có yếu tố nguy cơ cao như gia đình có bố mẹ, anh chị em ruột mắc ung thư đã được chứng minh có tính di truyền; Người làm việc trong môi trường độc hại tiếp xúc với các chất như Asen, Amiang, Niken, Silica…, phơi nhiễm với Radon. Người có yếu tố nguy cơ thấp nhưng có triệu chứng ho kéo dài, đau không rõ nguyên nhân và đã dùng thuốc không đỡ thì nên đi khám và tầm soát ung thư.
Ngoài ra, khi phát hiện mắc bệnh ung thư phổi, mọi người cần lựa chọn phương pháp điều trị sao cho phù hợp, hiệu quả nhất, từ đó giúp kéo dài thời gian sống.
*Tên nhân vật đã được thay đổi.
Theo Đời sống Pháp luật
