Mặc dù quá trình siêu âm thai hoàn toàn bình thường nhưng chính bác sĩ mổ để cũng vô cùng hốt hoảng khi em bé trong bụng sản phụ bị cắt đứt bàn tay bên trái.
Bà mẹ đơn thân Christabel Koh, 28 tuổi (sinh sống tại Singapore) đã từng rơi vào tình trạng trầm cảm nặng nề và có ý nghĩ tự tử khi sinh ra đứa con với cánh tay trái bị cắt lìa từ trong bụng mẹ. Vậy nhưng, bây giờ cuộc sống của 2 mẹ con cô đã hoàn toàn khác.
Sự việc xảy ra cách đây 3 năm trước khi Christabel hạ sinhcon gái đầu lòng. Trong quá trình sinh mổ, các bác sĩ đã vô cùng ngỡ ngàng khi tìm thấy cánh tay trái của em bé bị cắt đứt bởi hội chứng dải sợi ối (amniotic band syndrome - ABS). Đây là một rối loạn bẩm sinh hiếm gặp khi một hoặc nhiều sợi dây bắt ngang qua buồng ối và vướng vào thai nhi như dây cao su. Trong trường hợp của bé Chrislyn, con gái chị Christabel, những sợi dây này đã thắt vào cánh tay trái của bé và cắt đứt cánh tay đồng thời làm dị tật 3 ngón tay bên bàn tay phải khiến các ngón dính liền nhau.
“Bác sĩ đã tìm thấy bàn tay trái nhỏ bé của con gái tôi bên trong tử cung. Mặc dù trong suốt thai kỳ, tôi vẫn khám thai đều đặn và không hề phát hiện ra mắc hội chứng nguy hiểm này.”, Christabel kể lại trong đau đớn.

Mẹ Christabel Koh bên con gái 3 tuổi.
Cuộc sống sau sinh với bà mẹ trẻ càng trở nên tồi tệ hơn. Cùng với sự đau đớn khi sinh ra một đứa con dị tật, chị còn gặp khó khăn về kinh tế gia đình khiến Christabel rơi vào trầm cảm nặng nề. Mối quan hệ vợ chồng cũng ngày càng lạnh nhạt, làm Christabel thêm căng thẳng và cuối cùng cô đã ly dị chồng, một mình nuôi con.
“Khi tôi mang thai, tôi mơ ước con mình sau này sẽ chơi violin và múa ballet. Nhưng sau sinh tất cả những gì tôi nhận được là cái nhìn xót xa, thương hại từ mọi người.”, Christabel nói trong nước mắt.
Những tháng ngày sau khi sinh con là thời gian khó khăn và tăm tối nhất với Christabel. Cô bị thất nghiệp và không ít lần có ý định tự tử. “Tôi không có việc làm và một tập những hóa đơn cần phải thanh toán với một đứa trẻ không biết trước tương lai. Cólần tôi leo lên tầng cao nhất tòa nhà với Chrislyn và muốn thả mình xuống. Như một cảnh trong phim nhưng tôi đã được cảnh sát cứu kịp thời. Người ta giữ Chrislyn và nhốt tôi trong vòng 24 giờ. Cũng chính thời gian này tôi đã nhận ra tôi yêu thương con gái biết nhường nào và tôi không cho phép mình được rời xa con.”
Sau khi được cảnh sát thả về với con, Christabel đã quyết định sẽ sống lại cuộc đời mình. Cô đi tìm việc làm và nhờ người chăm sóc con. Cô dành dụm tiền cùng với sự trợ giúp tài chính của bố Chrislyn… để phẫu thuật vàtách rời các ngón bên bàn tay phảicho con gái. Cuộc sống của mẹ con cô dần ổn định lại.
Hiện tại, bé Chrislyn đã 3 tuổi, lớn lên như những em bé bình thường khác. Mẹ của bé cũng hy vọng con sẽ là một ngôi sao nhạc rock trong tương lai vì bé rất đam mê. Dù vậy, là một người mẹ, Christabel cũng có những trăn trở: “Tôi chỉ mong muốn mọi người đừng trố mắt lên nhìn bé khi thấy con không có tay. Hãy đối xử với bé như những đứa trẻ bình thường khác. Mong ước lớn nhất của tôi là con gái sẽ không cảm thấy kém cỏi hơn với các bạn khác dù con thiếu một bàn tay.”
Bà mẹ này cũng chia sẻ thêm: “Nếu con gái thích chơi violin hay múa ballet, tôi sẽ làm mọi cách để bé được học. Tôi sẽ làm mọi thứ để giúp Chrislyn thực hiện được ước mơ của mình.”
Dải sợi ối là gì?
Dải sợi ối (hay còn gọi là vách ngăn buồng ối) là hiện tượng xuất hiện một hoặc nhiều sợi dây bắt ngang buồng ối. Cho đến nay, y học cũng chưa xác định được nguyên nhân nào khiến dải sợi ối xuất hiện. Chúng được xác định là xuất hiện ngẫu nhiên, không phải do di truyền, cũng không phải do bất cứ vấn đề gì từ sức khỏe người mẹ tạo nên. Vì vậy, một người mẹ không may đã có một đứa con dị tật do dải sợi ối thì cũng không ảnh hưởng đến lần mang thai tiếp theo. Điều này đồng nghĩa với việc người mẹ đó vẫn hoàn toàn có thể sinh ra những đứa con khỏe mạnh bình thường.

Những gì diễn ra trong tử cung khi có dải sợi ối xuất hiện
Một giả thuyết được chấp nhận nhiều nhất giải thích nguyên nhân của hiện tượng này là do lớp màng bên trong của túi ối (màng ối) bị vỡ mà không gây tổn thương màng ngoài (màng đệm). Cùng với sự vỡ ra này, những mảnh màng ối trôi nổi trong nước ối và có thể quấn vào tay, chân hay bất kỳ bộ phận nào của thai nhi, gây ra các dị tật bẩm sinh được phát hiện với các kiểm tra siêu âm hoặc nhìn thấy bằng mắt thường ngaykhi bé được sinh ra.
Vì sao dải sợi ối gây dị tật thai nhi?
Nếu sợi dây được xác định là không căng và dày thì có khả năng ảnh hưởng đến sự phát triển của thai nhi. Các sợi này quấn vào cơ thể bé, khiến phần cơ thể đó không thể lưu thông máu. Nguy hiểm ở chỗ, nếu dải sợi ối quấn chặt tay chân có thể làm chân tay bị cắt cụt hoàn toàn. Còn nếu dải sợi ối bắt ngang qua khuôn mặt của em bé, nó có thể làm em bé bị hở hàm ếch. Cũng có rất nhiều trường hợp thương tâm vì dải sợi ối này mà em bé sinh ra với chân cà khoèo. Thậm chí, người mẹ có thể sẩy thai ngay lập tức nếu dải sợi ối quấn quanh dây rốn.
Nếu trường hợp của mẹ bị dải sợi ối nhưng đó là một đoạn căng và mảnh thì các mẹ không nên lo lắng vì trường hợp này ít có khả năng ảnh hưởng đến bé.
Những dị tật bẩm sinh gây ra bởi hiện tượng này được gọi chung là Hội chứng dải sợi ối (Amniotic Band Syndrome – ABS). Những vấn đề này thường bao gồm:
- Khoèo chân
- Xương ngón tay phát triển không bình thường
- Dính ngón chân
- Dị tật ngón tay: Ngón tay có những đoạn trông như bị xiết lại
- Chiều dài các chi bất thường
- Hiện tượng tay, chân có những đoạn lõm do bị xiết chặt
- Dải sợi ối quấn qua mặt gây hở hàm ếch
- Nếu dải sợi ối quấn quá chặt ở tay hay chân, nhiều khả năng là tay và chân đó sẽ phải bị cắt cụt.
- Dải sợi ối cũng là nguyên nhân dẫn đến sảy thai, khi những dải ối quấn chặt dây rốn làm thai nhi không thể lấy được chất dinh dưỡng và bị chết trong bụng mẹ.

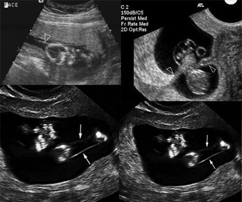
Hiện tượng dải sợi ối được phát hiện thông qua siêu âm. Những điểm có dải sợi ối được đánh dấu bằng mũi tên
Hiện tượng dải sợi ối xác định bằng cách nào?
Phát hiện mẹ bầu có bị dải sợi ối hay không là dựa vào siêu âm hình thái có thể thấy được em bé có bị dị tật hay không. Vì vậy, với những mẹ rơi vào trường hợp hợp này cần phải đi khám thai thường xuyên để được theo dõi kỹ lưỡng.
Trên thế giới, các ca phẫu thuật cho thai nhi đã được tiến hành. Các chuyên gia sẽ mở tử cung của mẹ, làm các phẫu thuật thích hợp cho thai nhi rồi đặt bé trở lại trong tử cung và tiếp tục phát triển cho đến ngày chào đời. Đây cũng là hướng giải quyết cho những trường hợp dải sợi ối nghiêm trọng.
Ngoài ra, với những dị tật do dải sợi ối như dính ngón tay, dính ngón chân, cụt ngón tay, chân khoèo, các bác sỹ có thể tiến hành các ca phẫu thuật chỉnh hình để khắc phục.
Theo Khám Phá