Bệnh nhân là N.X.N. (15 tuổi) vào viện khám vì đau bụng, trước đó em hoàn toàn khỏe mạnh, không có tiền sử bệnh.
Trước khi vào viện 4 ngày, bệnh nhân xuất hiện đau bụng vùng quanh rốn, hố chậu trái, các cơn đau tăng dần. Người bệnh còn bí trung đại tiện, bụng chướng dần, nôn buồn nôn ít và không sốt.
Khi nhập viện, N. tỉnh, đau bụng cơn, bụng chướng hơi, nôn và không có phản ứng thành bụng. Thăm khám trực tràng cho người bệnh, các bác sĩ không thấy u bất thường.
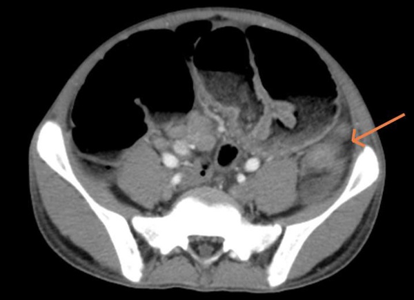
Hình ảnh chụp cắt lớp vi tính ổ bụng cho thấy, các quai ruột non và khung đại tràng của bệnh nhân giãn lớn, đường kính lớn nhất 57mm. Bệnh nhân được chẩn đoán tắc ruột/theo dõi ung thư đại tràng trái và chỉ định mổ cấp cứu làm hậu môn nhân tạo đại tràng trái.

Hình ảnh cắt lớp vi tính ổ bụng của bệnh nhân
Tiến hành nội soi đại trực tràng, các bác sĩ phát hiện ngay dưới hậu môn nhân tạo có khối sùi loét chiếm gần hết chu vi, phần đại trực tràng còn lại không thấy tổn thương.
Sau 10 ngày, bệnh nhân được phẫu thuật nội soi cắt đại tràng trái và vét hạch. Giải phẫu bệnh sau mổ là ung thư biểu mô tuyến biệt hóa vừa xâm lấn tới thanh mạc, không xâm lấn mạch máu thần kinh. Chẩn đoán xác định ung thư đại tràng trái.
Ung thư đại trực tràng ở người bệnh trẻ tuổi thường được chẩn đoán ở giai đoạn muộn hơn và có tiên lượng xấu hơn so với nhóm người bệnh lớn tuổi.
Hiện nay, theo các khuyến cáo trên thế giới, mốc bắt đầu sàng lọc ung thư đại trực tràng thường được khuyến cáo ở tuổi 45. Tuy nhiên, ung thư đại trực tràng có xu hướng ngày càng trẻ hóa, không chỉ gặp ở lứa tuổi trung niên mà có thể gặp ở cả thanh thiếu niên.
Vì vây, với những đối tượng nguy cơ cao như tiền sử gia đình có người mắc ung thư đại trực tràng, mắc các hội chứng di truyền liên quan đến ung thư đại trực tràng hoặc khi có triệu chứng nghi ngờ như đi ngoài phân nhầy máu, thay đổi thói quen đại tiện, đau bụng kéo dài nên đi khám sàng lọc bệnh sớm.
Theo các bác sĩ Trung tâm Y học hạt nhân & Ung bướu, Bệnh viện Bạch Mai, ung thư đại trực tràng là một trong những ung thư phổ biến hàng đầu trên thế giới, phần lớn gặp ở các nước phát triển như Australia, New Zealand, các nước châu Âu, Bắc Mỹ.
Theo GLOBOCAN 2020, trên thế giới, ung thư đại trực tràng đứng thứ 3 về số ca mới mắc trong tất cả các ung thư ở cả 2 giới với gần 2 triệu ca, và đứng thứ 2 về số ca tử vong với khoảng hơn 900.000 ca.
Việt Nam cũng là nước có tỉ lệ mắc và tử vong do ung thư đại trực tràng cao, năm 2020, số ca mắc và tử vong do ung thư đại trực tràng đứng thứ 5 ở cả 2 giới chiếm 9% tổng số ca mới mắc các bệnh ung thư và 6,7% ca tử vong.
Loại ung thư này thường gặp ở người lớn tuổi, 80% các ca ung thư đại trực tràng được chẩn đoán sau tuổi 55, tuổi trung bình mắc ung thư đại trực tràng là 74.
Tuy nhiên, trong những năm gần đây mô hình ung thư đại trực tràng theo lứa tuổi đã và đang thay đổi với tỉ lệ bệnh nhân trẻ tuổi ngày một gia tăng. Các số liệu nghiên cứu cho thấy, từ năm 2000 đến năm 2013, tỉ lệ mắc ung thư đại trực tràng ở người dưới 50 tuổi tăng 22%, chiếm khoảng 10% tổng số các ca mới mắc loại ung thư này ở tất cả các lứa tuổi.
Trong thực tiễn lâm sàng các bác sĩ Bệnh viện Bạch Mai gặp ngày càng nhiều các bệnh nhân ung thư đại trực tràng trẻ tuổi.
Theo VietNamNet
