Bác sĩ nhãn khoa đã cảnh báo các bậc cha mẹ không cho con nghịch các đồ chơi có đèn chiếu laser sau khi một cậu bé 14 tuổi bị mất 70% thị lực.
Bác sĩ nhãn khoa Armitage đã nhận được một cuộc gọi yêu cầu kiểm tra cho một cậu bé 14 tuổi gặp vấn đề về thị lực. "Cậu bé đến gặp tôi vào tối thứ Sáu. Trên tay cậu bé còn cầm 1 chiếc bút laser và cậu bé chia sẻ mình đã chiếu vào mắt mình trong một thời gian rất ngắn.Thật không may, cậu bé đã làm tổn thương võng mạc của mình".

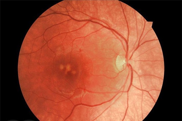
"Đằng sau của đôi mắt của cậu bé ở cả hai bên đều bị bỏng laser. Cậu bé đã thực sự làm bỏng võng mặc, ở gần khu vực điểm vàng", bác sĩ Armitage chia sẻ. Thật không may, điểm vàng là một bộ phận nằm tại vùng trung tâm võng mạc ở phần sau nhãn cầu, là nơi tập trung nhiều tế bào thần kinh, đóng vai trò rất quan trọng trong việc thu nhận hình ảnh, đảm nhận tới 90% thị lực. Điểm vàng giúp nhận biết màu sắc, độ sắc nét của hình ảnh.

Cậu bé cho biết mình không cảm thấy bất kỳ đau đớn vào thời điểm đó, nhưng thị lực giảm gần như ngay lập tức. Thị lực của cậu bé được chẩn đoán chỉ còn khoảng 25 phần trăm, và không chắc chắn rằng sẽ có thể phục hồi. "Các vết bỏng laser về cơ bản ở khu vực khó có thể hồi phục. Chúng tôi hi vọng qua thời gian, vết bỏng sẽ bớt sưng và thị lực sẽ tốt hơn phần nào", bác sĩ Armitage nói thêm.
Thêm vào đó, cậu bé cũng không thể cải thiện tầm nhìn của mình nhờ kính. Bác sĩ giải thích: "Bạn hãy tưởng tượng đôi mắt giống như một chiếc máy ảnh. Nếu cảm biến ở đằng sau bị hư hỏng thì dù ống kính phía trước có tốt đến đâu, ảnh cũng không thể lên được".
Cuối cùng, bác sĩ cảnh báo cha mẹ nên cẩn thận với bút laser hoặc bất kì loại đồ chơi có đèn chiếu laser. Nếu trong nhà có những chiếc bút laser hoặc đồ chơi như vậy, tốt nhất nên vứt đi hoặc giám sát con cẩn thận.
