Tại trung tâm y học hạt nhân và ung bướu, Bệnh viện Bạch Mai đã gặp bệnh nhân cùng lúc mắc hai bệnh ung thư nhưng trên bệnh nhân mắc 3 bệnh ung thư là hiếm gặp.

Ca bệnh hiếm
Bệnh nhân là Đ. V. C., 18 tuổi quê ở Nghệ An. Từ tháng 7/2018, C. đột ngột xuất hiện đau đầu nhiều và tăng dần, kèm theo mắt nhìn mờ, buồn nôn, nôn, không sốt, không yếu, không liệt chi, không rối loạn đại tiện, không đau bụng.
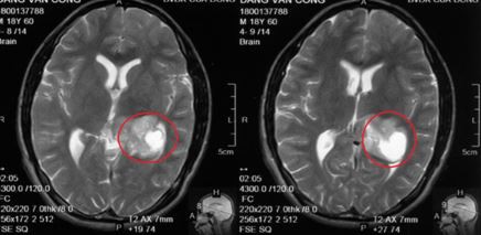
Bệnh nhân vào Bệnh viện Đa khoa tỉnh Nghệ An chụp cộng hưởng từ sọ não phát hiện có khối u lớn trong não (ở hồi hải mã trái), kích thước khoảng 30×35mm. Bệnh nhân được nhập viện Trung tâm Y học hạt nhân và Ung bướu, Bệnh viện Bạch Mai để điều trị tiếp.
Sau khi đánh giá, làm xét nghiệm toàn thân…, không phát hiện các dấu hiệu bất thường khác, bệnh nhân được hội chẩn Hội đồng giáo sư tại Bệnh viện Bạch Mai và có chỉ định phẫu thuật vi phẫu lấy khối u não.

Hình ảnh u não của bệnh nhân C
Kết quả giải phẫu bệnh sau mổ khối u não là Anaplastic Oligodendroglioma. Đây là khối u não ác tính nguyên phát tại não. Sau mổ 1 tháng, tình trạng ổn đinh, bệnh nhân được hội chẩn để điều trị hóa chất kết hợp với xạ trị.
Đến ngày 15/10/2018, bệnh nhân xuất hiện đau bụng âm ỉ vùng thượng vị và vùng quanh rốn, đau thành cơn dữ dội, kèm theo nôn ra dịch thức ăn không lẫn máu, đại tiên phân có lẫn ít máu tươi. Bụng mềm, không chướng, không phản ứng thành bụng. Thăm hậu môn trực tràng không phát hiện khối bất thường, không có máu.
Ngay sau đó, bệnh nhân được chỉ định nội soi thực quản- dạ dày- tá tràng và phát hiện: Đoạn DII tá tràng có khối lồi kích thước khoảng 3cm, gồ ghề, ranh giới không rõ. Niêm mạc dạ dày xung huyết, không có điểm chảy máu. Theo dõi ung thư tá tràng. Bệnh nhân có chỉ định mổ cấp cứu tháo lồng, cắt khối u đại tràng và cắt đoạn tá tràng :
Giải phẫu bệnh khối u ở tá tràng là: Ung thư biểu mô tuyến (đã nhuộm hóa mô miễn dịch). Giải phẫu bệnh và hóa mô miễn dịch sau mổ khối u đại tràng của bệnh nhân C. phù hợp với U lympho ác tính non Hodgkin tế bào B lan tỏa dưới típ tâm mầm.
Bệnh nhân C được chẩn đoán 3 bệnh ác tính đó là u thần kinh đệm ít nhánh độ 3 đã phẫu thuật, đang hóa – xạ trị; ung thư biểu mô tuyến tá tràng đã phẫu thuật và u lympho non Hodgkin tại đại tràng đã phẫu thuật.
Thách thức trong điều trị
Nhận định về trường hợp này, GS. TS. Mai Trọng Khoa – nguyên Phó Giám đốc bệnh viện Bạch Mai, Giám đốc Trung tâm Y học hạt nhân và Ung bướu, Bệnh viện Bạch Mai cho biết đây là một trường hợp hiếm gặp, bệnh nhân có 3 loại ung thư riêng biệt trên một cá thể, đặt ra nhiều thách thức cho các nhà lâm sàng.
Các bác sĩ phải cân nhắc lựa chọn điều trị bệnh nào trước, bệnh nhân có thể chịu đựng được quá trình điều trị không, bởi ba bệnh ung thư với ba phác đồ điều trị khác nhau.

GS Mai Trọng Khoa chia sẻ về trường hợp bệnh nhân C.
GS Khoa cho biết bình thường bệnh nhân mắc 2 bệnh ung thư cùng lúc cũng có nhiều ở Trung tâm Y học hạt nhân và Ung bướu nhưng có đến 3 bệnh ung thư thì hiếm hơn.
Với ca bệnh này, GS Khoa cho biết vai trò của giải phẫu bệnh cũng như hóa mô miễn dịch… là rất quan trọng để đảm bảo không sai lầm trong chẩn đoán và làm cơ sở cho lập kế hoạch điều trị được chính xác, hợp lý, an toàn cho bệnh nhân.
U tế bào thần kinh đệm còn được gọi là Glioma, là một loại u thần kinh ác tính, nguyên phát tại não, diễn biến nhanh, nếu không điều trị kịp thời có thể dẫn đến tử vong. Bắt nguồn từ các tế bào thần kinh đệm, loại tế bào bao quanh các dây thần kinh và giúp chúng thực hiện chức năng của mình.
U tế bào thần kinh đệm bao gồm u tế bào hình sao, u tế bào ống nội tủy, u tế bào thần kinh đệm ít nhánh. U thần kinh đệm ít nhánh được chia làm 2 loại theo mô học: độ 2 (độ thấp) và độ 3 thoái triển (ác tính).
Điều trị u thần kinh đệm ít nhánh chủ yếu bằng phẫu thuật lấy u tối đa, kết hợp xạ trị và hóa chất. Việc lựa chọn phương pháp điều trị phụ thuộc vào loại tế bào u, kích thước khối u, grade, vị trí, thể trạng người bệnh và bệnh nhân.
Còn u lympho non Hodgkin, GS Khoa cho biết: là nhóm bệnh tăng sinh ác tính dòng tế bào lympho, với biểu hiện phức tạp về lâm sàng và mô bệnh học.
Bệnh thường biểu hiện tại hạch chiếm trên 60% hoặc biểu hiện u ở ngoài hạch và có thể ở bất cứ cơ quan, vị trí khác nhau trong cơ thể, hay gặp như ở da, đường tiêu hóa (dạ dày, đại trực tràng…), vòm mũi họng, lưỡi, thần kinh trung ương, hốc mắt…; về mô bệnh học bệnh gặp chủ yếu dòng bạch cầu lympho B (chiếm trên 85%) còn lại là dòng bạch cầu lympho T và tế bào NK.
Ngày nay với kĩ thuật tiên tiến đã áp dụng nhiều phương pháp điều trị mới như điều trị đích, điều trị miễn dịch, ghép tế bào gốc…đã cải thiện được thời gian sống thêm đáng kể ngay cả trường hợp bệnh giai đoạn muộn hoặc ở những bệnh nhân cao tuổi, nâng cao chất lượng cuộc sống cho người bệnh.
Điều trị đích ở bệnh nhân u lympho không Hodgkin tế bào B, có dấu ấn CD20 dương tính bằng kháng thể đơn dòng Rituximab kết hợp với phác đồ hóa chất kinh điển mang lại hiệu quả cao, kéo dài thời gian sống thêm đáng kể cho người bệnh.
Theo Trí Thức Trẻ
