Dọn dẹp nhà cửa ngày Tết là điều mọi người thường làm vào dịp cuối năm. Tuy nhiên mọi người cần cẩn thận tránh để bản thân gặp nguy hiểm khi dọn dẹp như trường hợp dưới đây.
Ông Shao ở An Cát, tỉnh Hồ Châu, Chiết Giang, Trung Quốc năm nay 55 tuổi và làm quản lý kho trong một xưởng gỗ. Cuối tháng 11/2019, ông Shao đã giúp ông chủ của mình dọn dẹp và mang một bộ "đồ cổ" lâu đời ra khỏi ngôi nhà cũ. Tuy nhiên sau vài ngày, ông đột nhiên ngã bệnh.
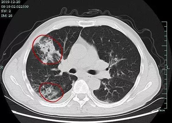
Ông Shao liên tục ho ra đờm vàng, cơ bắp đau nhức. Vợ con ông nhận thấy ông có vẻ ốm yếu nên đã nhanh chóng đưa ông đến bệnh viện địa phương. Kết quả chụp CT ngực phát hiện bất thường, bác sĩ đã tiến hành nội soi phế quản cho ông và thấy rằng có một lượng lớn dịch tiết màu vàng và trắng trong khoang phế quản. Vì vậy, bác sĩ cần xét nghiệm thêm trước khi đưa ra chẩn đoán chính xác.

Phim chụp X-quang phổi cho thấy nấm mốc phát triển trong cơ thể ông Shao.
7 ngày sau, kết quả nuôi cấy dịch phế quản cho thấy có sợi nấm aspergillus xuất hiện trong phổi, điều đó có nghĩa là trong cơ thể ông Shao có nấm phát triển và sinh sản trong cơ thể, xác nhận rằng ông đã bị nhiễm nấm Aspergillus .
Sau khi nhập viện vài ngày, kết quả CT phổi cho thấy tình trạng bệnh của ông vẫn đang tiến triển. Nếu không được điều trị ngay, ông Shao có thể sẽ bị suy hô hấp và thậm chí đe dọa đến tính mạng. Ông Shao mau chóng được chuyển đến Khoa truyền nhiễm, Bệnh viện đầu tiên của Đại học Chiết Giang để tiếp tục điều trị.
"Tại thời điểm nhập viện, nhiệt độ cơ thể của bệnh nhân vẫn là 38,9°C, khó thở và ho nghiêm trọng." Bác sĩ trưởng Sheng Jifang, trưởng Khoa Truyền nhiễm cho biết. Các bác sĩ mau chóng cho bệnh nhân hít thở oxy và cũng phát hiện ra Aspergillus đã xâm chiếm các mạch máu phổi. Vì vậy, ưu tiên hàng đầu là điều trị ho và nhiễm trùng.
Nhưng lúc này một vấn đề mới xuất hiện đó là nếu dùng thuốc để điều trị Aspergillus, tác dụng phụ lớn nhất của thuốc này là nó sẽ gây tổn thương gan. May mắn, Khoa Truyền nhiễm và Khoa Dược đã cùng lập ra một kế hoạch dùng thuốc hợp lý để ông Shao vừa chữa được bệnh mà không gây hại đến gan. Sau bốn ngày điều trị, nhiệt độ cơ thể trở lại mức bình thường và chức năng gan dần được cải thiện. Các tổn thương trong phổi đã nhỏ hơn trước.
Aspergillus là gì?

Ông Shao bị nhiễm nấm vì dọn dẹp nhà cũ hộ ông chủ. (Ảnh minh họa)
Aspergillus là một trong những loại nấm mốc phổ biến nhất trong môi trường, chiếm khoảng 12% nấm trong không khí. Nó có thể sinh sôi trong đất, chất thải động vật và các chất hữu cơ bị hư hỏng (như thực vật chết, hạt mốc, v.v.).
Vậy ông Shao đã nhiễm Aspergillus từ đâu? Theo lời kể của ông Shao thì nhà ông ở rất sạch sẽ, ngày nào vợ ông cũng dọn dẹp và không có nhiều bụi. Tuy nhiên căn nhà mà ông chủ nhờ ông dọn dẹp lại cũ kỹ, đã lâu không có người ở nên khi ông chuyển một số đồ đạc ra còn thấy cả một lớp bụi dày.
Dựa theo lời nói của bệnh nhân, bác sĩ kết luận rằng rất có thể trong quá trình dọn dẹp, một lượng lớn bụi có chứa Aspergillus đã được hít vào trong một khoảng thời gian ngắn dẫn tới nhiễm Aspergillus cấp tính .
Hãy chú ý dọn dẹp những nơi này trước khi nghỉ lễ
Trong cuộc sống, nhiều bệnh nhân bị nhiễm Aspergillus mãn tính, điều đó có nghĩa là hít phải không khí có chứa Aspergillus trong thời gian dài gây ra nhiễm trùng. Ngoài các triệu chứng như ho và khạc đờm, ho ra máu là một trong những biểu hiện phổ biến nhất của những bệnh nhân này.
Aspergillus được hít qua đường hô hấp và nó sẽ ký sinh trong phổi. Nếu không được chẩn đoán và điều trị kịp thời, nó sẽ xâm lấn các mạch máu phổi và gây hoại tử xuất huyết và nhồi máu, gây suy hô hấp, thậm chí tử vong.
Ngoài Aspergillus, trên thực tế có rất nhiều loại nấm xung quanh chúng ta. Chúng thích phát triển ở những nơi ẩm ướt và mát mẻ. Do đó, nấm mốc thường có mặt ở những nơi này trong nhà:
1. Phòng tắm
Nếu phòng tắm ẩm ướt kết hợp với các điều kiện như không có ánh sáng mặt trời và không có không khí, thì nó rất phù hợp cho sự phát triển của nấm mốc. Các góc và đường gạch trong phòng tắm là khu vực có tỷ lệ cao, và nấm mốc sẽ xuất hiện với nhiều màu sắc khác nhau, như đen, vàng, xanh lá cây, nâu,...

2. Ban công trồng cây cảnh, mái nhà ẩm mốc
Nhiều người có sở thích trồng hoa, cây cảnh trên ban công. Trồng hoa đòi hỏi đất mùn, là điều kiện tự nhiên để nấm mốc tồn tại. Vì vậy cần dọn dẹp khu vực này sạch sẽ. Một số mái nhà bị dột cũng dễ bị mốc và nấm mốc, mọi người nên chú ý dọn thường xuyên.
3. Khu vực bếp
Khu vực bếp nhiều thực phẩm, gia vị có thể dễ bị nấm mốc xâm chiếm nếu chúng ta không bảo quản cẩn thận. Các đồ dùng trong bếp như đũa, thớt gỗ cũng dễ bị nấm nên cần chú ý sau khi sử dụng, để ở nơi khô ráo, thoáng mát.
Lưu ý: Khi dọn dẹp nhà cửa ngày Tết cần chú ý thực hiện vệ sinh toàn diện. Khi dọn dẹp, cần đeo khẩu trang để tránh hít phải. Nếu có bụi mốc, hãy nhớ rửa tay hoặc thay quần áo kịp thời sau khi vệ sinh.
Ngoài ra, chúng ta phải chú ý để ngăn ngừa sự phát sinh của nấm mốc trong cuộc sống hàng ngày. Ví dụ, sau khi sử dụng phòng tắm, hãy mở quạt thông gió, mở cửa để thông gió, giữ cho nó khô nhất có thể và không được trồng hoa trong ban công kín.
Theo Khám Phá
