Chủ đề

chấn thương sọ não

chấn thương sọ não

Người đàn ông gặp nạn vì chiếc áo mưa, gãy nhiều xương sườn

Giữa trời mưa lớn, ông C. bất ngờ bị tà áo mưa cuốn vào bánh sau xe máy khiến mất thăng bằng và ngã xuống đường. Tại Bệnh viện 19-8, các bác sĩ xác định nạn nhân bị gãy nhiều xương sườn và tổn thương vùng hàm mặt.

Người đàn ông bị đánh nguy kịch sau khi khuyên 'nghỉ nhậu sớm'

Khuyên bạn nhậu đi nghỉ sớm, một người đàn ông ở An Giang, bị đánh bằng khúc gỗ, gục tại chỗ, được chẩn đoán chấn thương sọ não.

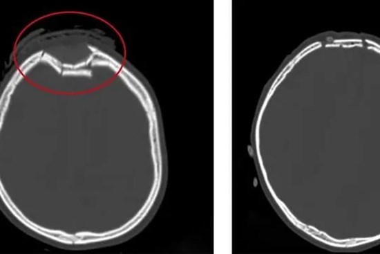
Bánh xe cuốn tà áo dài, nữ sinh bị đập đầu xuống đường nứt hộp sọ

Trên đường đến trường, nữ sinh 15 tuổi ở Tây Ninh bất ngờ ngã đập đầu xuống đường khi tà áo dài bị cuốn vào bánh sau xe đạp điện. Tai nạn tưởng chừng đơn giản đã khiến em rơi vào tình trạng chấn thương sọ não nguy kịch tính mạng.

Bảo mẫu ném bé 1 tuổi xuống nền nhà đến chấn thương sọ não, lý do gây phẫn nộ

Công an Quảng Ngãi đã khởi tố, bắt tạm giam chủ cơ sở giữ trẻ Như Ý vì hành vi ném bé trai 1 tuổi xuống nền nhà, khiến nạn nhân chấn thương sọ não, thương tích 47%.

Vụ lan can từ tầng 4 rơi trúng 3 nữ sinh, một nạn nhân chấn thương sọ não

Trong số 3 nữ sinh lớp 9 bị lan can từ tầng 4 Trường Phổ thông Thực hành Sư phạm (Đại học Vinh) rơi trúng, có 1 em bị chấn thương sọ não, đã được các bác sĩ phẫu thuật.

Vụ nam sinh bị đánh chấn thương sọ não ở Đồng Nai: Liên quan chuyện tình cảm

Theo Cơ quan CSĐT, P.B.N. và nam sinh Ng.M.Tr. (17 tuổi) là nạn nhân bị đánh chấn thương sọ não cùng quen, có tình cảm với bạn gái 16 tuổi.

Tạm giữ 6 người trong vụ đánh nam sinh chấn thương sọ não ở Đồng Nai

Nam sinh ngã gục xuống đường bất tỉnh, được đưa vào bệnh viện cấp cứu trong tình trạng chấn thương sọ não.

Đùa nghịch trên lớp, nam sinh bị chìa khóa cắm sâu vào đầu

Nam học sinh bị chấn thương sọ não do chìa khóa cắm sâu vào đầu. Tai nạn xảy ra khi các em đùa nghịch ở lớp

Bé gái 8 tuổi bị cha dượng đánh chấn thương sọ não

Ăn nhậu rồi xảy ra tranh cãi với người tình, người đàn ông ở Gia Lai đã cầm cây gậy gỗ đánh trúng đầu khiến bé gái 8 tuổi chấn thương sọ não.

Bị chồng tâm thần dùng búa đánh vào đầu, người phụ nữ nguy kịch tính mạng

Trong lúc phát bệnh tâm thần, không làm chủ được hành vi, người chồng đã dùng búa sắt đập vào đầu vợ dẫn đến chấn thương sọ não, tính mạng nguy kịch. Gia cảnh éo le, các con còn quá nhỏ, bà Lòng đang rất cần sự giúp đỡ.

Vô tình vặn tay ga xe máy, trẻ 3 tuổi bị ngã chấn thương sọ não

Vô tình vặn tay ga gây va chạm với xe máy khác khiến trẻ 3 tuổi bị ngã dẫn đến chấn thương sọ não phải nhập viện.

Chảy máu não sau cú ngã thang 3 mét

Sau khi trèo lên thang để thay bóng điện, người đàn ông bất ngờ bị ngã dẫn tới chấn thương sọ não phải mổ cấp cứu lấy máu tụ.

Say rượu, nam thanh niên chạy xe tông một phụ nữ nhập viện

Uống rượu say, Hiền chạy xe máy thì gây tai nạn khiến cụ bà 74 tuổi chấn thương sọ não, được chuyển đi cấp cứu.

Nữ sinh qua đời vì chấn thương sọ não sau 2 tháng cha mẹ gửi vào trường huấn luyện

Sự ra đi của nữ sinh 14 tuổi khiến gia đình đau lòng và bức xúc trước hành vi ngược đãi, bạo hành của nhà trường.

Sập cánh cổng, bé 15 tháng tuổi chấn thương sọ não

Bé gái 15 tháng tuổi được đưa vào cấp cứu trong tình trạng lơ mơ, da xanh tái, vùng thái dương phải và đỉnh đầu sưng nề. Bác sĩ xác định trẻ bị chấn thương sọ não.

Quảng Ninh: Chủ khách sạn bị mảng thạch cao rơi vào đầu tử vong

Tối 2/6, nhiều người đứng trước cửa khách sạn Milano (phường Bãi Cháy, TP Hạ Long, Quảng Ninh) hoảng hốt chứng kiến sự việc anh V.V.N. (chủ khách sạn) bị mảng thạch cao rơi từ trên tầng cao trúng đầu, khiến anh N. tử vong tại chỗ.

Mẹ nam sinh lớp 8 bác tin đồn nhận tiền tỉ của gia đình nghi phạm

Chị Nguyễn Thị Lan, mẹ nam sinh lớp 8 bị đánh chấn thương sọ não tử vong, bác bỏ tin đồn nhận tiền tỉ của gia đình nghi phạm, đồng thời quyết liệt đề nghị cơ quan công an điều tra, làm rõ vụ việc.

Đối tượng đánh nam sinh lớp 8 chết não dẫn đến tử vong đối diện mức án nào?

Luật sư nhận định, rất có thể bị can trong vụ án này sẽ phải đối mặt với khung hình phạt theo khoản 4, Điều 134 bộ luật hình sự với hình phạt là phạt tù từ 7 năm đến 14 năm.

Xót xa sinh nhật cuối cùng ngay trước khi qua đời của nam sinh lớp 8 bị đánh chấn thương sọ não

Trưa nay (21/5), Đ. đã tử vong tại bệnh viện, trước sinh nhật 14 tuổi chỉ hai ngày.

Nam sinh lớp 8 bị bạn học đánh chấn thương sọ não đã tử vong

Liên quan đến bệnh nhân N.H.Đ (14 tuổi, ở quận Long Biên) - người bị hành hung dẫn đến chấn thương sọ não, bệnh viện Nhi Trung ương cho biết, nam sinh này đã không qua khỏi.