Chủ đề
nhiễm giun sán
Dấu hiệu cảnh báo bạn nhiễm giun sán
Người thân trong gia đình tôi đều thích ăn gỏi cá sống và thịt bò tái nhưng khá lo lắng về việc nhiễm giun sán. Xin bác sĩ tư vấn dấu hiệu nhiễm giun, đặc biệt ở trẻ em.
Nghiện món vạn người mê, cụ bà bị kén sán ken đặc khắp cơ thể
Đi kiểm tra sức khoẻ, cụ bà choáng váng khi trên phim X- quang kén sán như hạt gạo ken đặc khắp cơ thể.
Hay ăn đồ sống, gỏi, người đàn ông bị liệt gần như hoàn toàn 2 chân vì... nang sán nội tủy
Bệnh viện Trung ương Quân đội 108 vừa tiếp nhận và phẫu thuật điều trị cho một nam bệnh nhân 38 tuổi, sinh sống ở vùng cao, bị nang sán nội tủy ngang đốt sống C7.
Bé 3 tháng tuổi chảy máu tiêu hoá, bác sĩ phát hiện lúc nhúc giun ở ruột
BS Nguyễn Minh Tiến - Phó Giám đốc Bệnh viện Nhi đồng TP.HCM cho biết bệnh viện vừa tiếp nhận bé gái xuất huyết ruột do ký sinh trùng.
Lại thêm một ca sán làm tổ trong não bệnh nhân
Các y bác sĩ Bệnh viện Hữu nghị Việt Nam - Cuba Đồng Hới Quảng Bình vừa tiếp nhận và điều trị cho một trường hợp người bệnh bị tổn thương viêm não do nang sán.
Nội soi gắp giun đũa dài gần 20cm trong ống mật chủ bé gái 11 tuổi
Bệnh viện Bãi Cháy (Quảng Ninh) vừa tiến hành nội soi mật tụy ngược dòng gắp giun đũa dài gần 20cm trong ống mật chủ của bệnh nhi 11 tuổi.
Giun dài 8cm kéo ra từ tay của người đàn ông có sở thích ăn quen thuộc
Giun dài 8cm kéo ra từ tay của người đàn ông có sở thích ăn quen thuộc
Rùng mình sán dài đến gang tay được lôi ra từ lòng lợn trắng phau và lời cảnh báo của chuyên gia về món ăn "vạn người thích"
Tiktok đang truyền tay nhau clip liên quan đến lòng lợn. Theo đó, chủ tài khoản viết lời dẫn đầy tính tò mò: "Sáng đi chợ mua lòng heo ăn với nước mắm và cái kết...".
Chia sẻ của người phụ nữ bị nhiễm giun sau khi ăn salad đóng túi
Sau trải nghiệm kinh hoàng với món salad, người phụ nữ này mong muốn cảnh báo mọi người về việc rửa kỹ thực phẩm trước khi ăn.
Rùng mình với clip "sán bò nhung nhúc ra khỏi miếng thịt lợn" được tưới đẫm nước ngọt có ga: Chuyên gia nói gì?
Nên hay không nên ăn thịt lợn, rất nhiều người đặt ra câu hỏi này sau khi tận mắt thấy clip đăng tải sán lúc nhúc chồi lên mặt miếng thịt được tưới đẫm pepsi.
Phát hiện "cục u" trong não người phụ nữ, bác sĩ quyết định phẫu thuật thì ngỡ ngàng trước vật thể thực sự bên trong và chỉ ra món ăn khiến cô suýt mất mạng
Dù dùng đủ mọi loại thuốc trong suốt 7 năm nhưng cô gái này vẫn không tìm ra bệnh, tới khi đi khám mới phát hiện sự việc xuất phát từ món ăn quen thuộc này.
Bác sĩ gắp ra một con giun 38mm từ amidan của một phụ nữ, nguyên nhân là do cô đã ăn món ăn phổ biến nhiều người thích
Theo thông tin đưa trên trang New York Post, vụ việc gây sốc xảy ra vào đầu năm nay nhưng chỉ được báo cáo và công bố tại Tạp chí Y học Nhiệt đới và Vệ sinh Hoa Kỳ vào ngày 8 tháng 7.
2019 - Năm của những ca bệnh kinh hoàng khi giun sán sinh sôi trong cơ thể, chọc thủng mắt, len vào tim, gan, trườn lên cả não... do thói quen ăn đồ tái sống
Ăn đồ tái sống là thói quen ăn uống xấu cực thịnh hành năm 2019 với vô số các trường hợp phải nhập viện để rút giun sán ra khỏi cơ thể.
Kinh hãi hàng nghìn con sán lá gan làm tổ nhung nhúc trong đường mật người đàn ông: Chấm dứt thói quen ăn uống này ngay nếu bạn không muốn bị bệnh!
Theo chuyên gia, việc ăn gỏi sống hay ăn thực phẩm sống, tái nói chung đều có nguy cơ nhiễm sán lá gan đáng sợ như người đàn ông này.
Đưa con 3 tuổi bị sốt đi truyền dịch, 5 phút sau người cha phát hiện trong ống dẫn có sinh vật lạ và lưng bệnh nhân có vết đỏ, nghi nhiễm giun sán
Tối ngày 16/12, trên mạng xã hội xôn xao thông tin về việc một bệnh viện ở Trung Quốc truyền dịch cho bệnh nhân 3 tuổi với ống dẫn chứa sinh vật lạ.
Những món khoái khẩu được nhiều người yêu thích khi gió lạnh nhưng đồng thời lại "tiếp tay" cho giun sán chui vào làm tổ trong cơ thể
Với đặc trưng có thể ngồi sum vầy, ăn uống ấm cúng bên những người thân yêu, những món ăn nóng hổi này vẫn khiến bạn có nguy cơ nhiễm giun sán do thói quen cực xấu khi ăn.
Loại giun sán khiến nhiều người dân ở Khánh Hòa phải nhập viện thực sự đáng sợ thế nào?
Ngoài việc nhiều bệnh nhân bị sán chó, bệnh viện này cũng cho biết từng tiếp nhận nhiều ca bị biến chứng nhiễm giun chó mèo di trú lên não gây viêm não.
Bác sĩ phát hiện 700 con sán dây "làm tổ", gây tổn thương trong não, ngực và phổi của một người đàn ông ăn thịt lợn chưa chín
Người đàn ông này kể lại rằng ông bắt đầu bị đau đầu và co giật sau khi ăn lẩu nhưng phải đến 1 tháng sau ông mới đến khám.
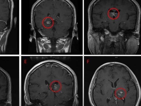
Ổ sán khổng lồ trong não khiến người đàn ông suy giảm trí nhớ nhanh đến kì lạ, tứ chi giảm vận động
Vừa qua, Khoa Ngoại Thần kinh - Bệnh viện đa khoa tỉnh Phú Thọ tiếp nhận một ca bệnh bị sán làm tổ lớn trong não.
Ba mẹ con bị ngứa râm ran khắp người, đi khám phát hiện cùng mắc chung một loại bệnh
Các bác sĩ cho biết khi thấy con bắt đầu xuất hiện triệu chứng ngứa, cha mẹ thường chủ quan vì nghĩ bé bị nổi mẩn hoặc côn trùng đốt.
 
                     
                     
                     
                     
                     
                     
                     
                     
                     
                     
                     
                     
                     
                     
                     
                     
                     
                     
                    