Trường hợp hy hữu và cực kỳ hiếm trong y khoa thế giới nói trên là của một bà mẹ người Pháp (33 tuổi) đang khiến dư luận cả thế giới xôn xao.

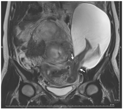
Cụ thể, theo tờ VnExpress đưa tin, từ tuần thai thứ 22, hình ảnh siêu âm cho thấy chân của thai nhi đã đạp rách và phát triển bên ngoài tử cung bà mẹ này.

Kết quả chụp phim cũng cho thấy một phần túi ối kích thước 19 x 12 x 9 cm bên trong cơ thể người phụ nữ 33 tuổi đã trượt qua lỗ ở thành tử cung. Kết quả, chân thai nhi đạp ra bên ngoài lớp bảo vệ vốn có.

thai-nhi-dap-chan-rach-tu-cung-me
Hình ảnh siêu âm cho thấy chân thai nhi nằm ở ngoài thành tử cung. Theo Science Alert, hiện tượng thai phi phát triển bộ phận bên ngoài tử cung cực kỳ hiếm gặp. Y khoa thế giới mới ghi nhận 26 trường hợp xảy ra tương tự.

Đến tuần thứ 30, hình siêu âm cho thấy vết rách đã lớn hơn và thai nhi ngày càng ra ngoài tử cung. Tình hình nghiêm trọng buộc các bác sĩ phải ngay lập tức tiến hành mổ bắt con cho sản phụ. May mắn, em bé chào đời an toàn dù chỉ nặng 1,4 kg. 6 tháng sau ca sinh nở, hai mẹ con đều khỏe mạnh.

Khi nhìn hình ảnh siêu âm, cư dân mạng đã không khỏi ngạc nhiên trước hiện tượng vô cùng hy hữu này. Nhiều bạn đọc còn thích thú bàn luận về tương lai của em bé “hiếu động” từ trong bụng mẹ này.


Dân mạng rôm rả bàn luận về tương lai của thai nhi "nổi tiếng" từ trong bụng mẹ này

Người thì cho rằng bé là truyền nhân của cầu thủ bóng đá nổi tiếng Zidane có chiếc chân trái ma thuật. Người khác lại đoán em là thiên tài võ thuật tương lai. Và cũng có độc giả thích thú nhận xét: “chắc là siêu nhân đây”...

Nhưng dù thế nào việc em bé ra đời an toàn ở tuần thai thứ 30 trong hoàn cảnh như vậy cũng là một điều kỳ tích đáng chúc mừng.

Bên cạnh đó, các bác sỹ cho rằng trường hợp hy hữu trên xảy ra do đẻ mổ quá nhiều. Thông thường, thai phụ đẻ mổ 3-4 lần đối mặt với nguy cơ rách thành tử cung, còn người mẹ Pháp này đã 5 lần sinh mổ. Do vậy  các thai phụ đẻ mổ ở Việt Nam cũng nên cân nhắc nếu muốn sinh thêm con vì không phải ai cũng được may mắn thoát nguy hiểm như ca mang thai nói trên.

Trước đó, thế giới cũng ghi nhận một số hình ảnh thú vị khác của thai nhi trong bụng mẹ khiến người lớn phải ngạc nhiên thích thú, mời độc giả xem lại:

Hình ảnh Hình ảnh bào thai cười trong bụng mẹ số 2
Thai nhi cười rất tươi từ tuần thai thứ 17 trong bụng người mẹ tên Henry ở Swallowfield (Berkshire, Anh)

Khoảnh khắc ngộ nghĩnh của thai nhi trong bụng mẹ

Tương tự, em bé này không những cười còn biết dơ tay chào bố mẹ khiến ai nhìn thấy cũng thấy vui lây

 Hình ảnh Những biểu hiện chết cười của thai nhi trong bụng mẹ số 3
Thai nhi biết giơ ngón cái lên như muốn nói: "Tất cả vẫn ổn!".

Hình ảnh Những biểu hiện chết cười của thai nhi trong bụng mẹ số 6
Thai nhi lè lưỡi đáng yêu


Hình ảnh Những biểu hiện chết cười của thai nhi trong bụng mẹ số 7
Thai nhi giơ tay làm biểu tượng chiến thắng

Hình ảnh Những biểu hiện chết cười của thai nhi trong bụng mẹ số 5
Thai nhi là con của một cặp vợ chồng đều là nhạc sĩ giơ tay làm biểu tượng nhạc Rock: giơ ngón trỏ và ngón út  Biết đâu em bé sau này sẽ trở thành 1 ca sĩ Rock?

V.K/Tintuconline (TH)