Hiện tại, tình hình sức khỏe của người đàn ông đang dần phục hồi. Nhưng tai nạn hy hữu này khiến nhiều người không khỏi bất ngờ và cảnh báo mọi người nên cẩn thận khi say rượu để tránh gặp phải tình trạng tương tự.
Gần đây, một người đàn ông 26 tuổi họ Thường sống ở Đông Quan, Quảng Tây vừa trải qua một tai nạn hy hữu sau một cơn say.
Được biết, anh Thường sau khi uống rượu say đã về nhà vào nửa đêm và phát hiện bị mất chìa khóa xe và thẻ từ vào nhà. Sáng hôm sau, khi tỉnh dậy, anh Thường cảm thấy bị đau ở ngực và cơn đau đó tăng thêm từng giờ. Cuối cùng, anh đã được người nhà đưa vào bệnh viện để cấp cứu.
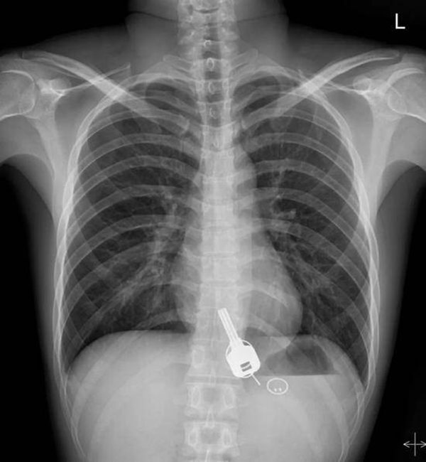
Kết quả kiểm tra cho thấy, nguyên nhân khiến anh Thường bị đau vì phát hiện trong dạ dày có 1 chìa khóa, 2 vòng sắt và 1 thẻ từ. Cuối cùng, thông qua nội soi dạ dày không đau, bác sĩ đã giúp anh Thường lấy những vật đó ra thành công.

Theo báo Tân Hoa Xã, anh Thường nói rằng không nhớ làm sao mình có thể nuốt được chìa khóa vào trong bụng. Tối hôm đó, anh trở về nhà không tìm thấy chìa khóa và nghĩ rằng chắc là bị rơi ở dọc đường, không hề quan tâm đến trường hợp khác và không bao giờ nghĩ rằng nó đang ở trong bụng mình.
Về việc làm sao lấy được vật dụng bằng kim loại kia ra khỏi bụng của anh Thường, bác sĩ Trương Dung Vũ, làm việc ở khoa tiêu hóa bệnh viện Nhân dân Đông Quan cho biết, lúc đầu bác sĩ xem xét và nhận thấy sẽ gặp một ít khó khăn khi lấy chìa khóa ra. Bởi vì chìa khóa không có góc nhọn và sẽ không gây thiệt hại cho đường tiêu hóa quá lớn. Tuy nhiên, nhưng khi nội soi kỹ càng hơn thì phát hiện chìa khóa bị mắc kẹt ở lối vào của thực quản gần cổ họng. Nếu như bị buộc phải lấy ra thì thực quản sẽ bị rách.

Bác sĩ Trương cho biết, nếu như không thể loại bỏ nó dưới ống soi dạ dày thì chỉ còn 2 cách. Một là để bệnh nhân tự lấy bằng đường bài tiết, nhưng do chìa khóa quá lớn và khả năng từ khoang dạ dày đến ruột quá nhỏ sẽ dẫn đến việc gây tắc nghẽn đường ruột. Hai là phải thực hiện phẫu thuật mở. May mắn thay, bác sĩ đã nhanh chóng nghĩ ra một phương pháp khác là đưa ống soi dạ dày không đau vào người. Dưới sự gây mê, các cơ ở lối vào thực quản giãn ra và cuối cùng chìa khóa đã được lấy một cách an toàn.
Theo Helino
