Nghiên cứu mới đây của các nhà khoa học ở ĐH Y Stanford cho biết mức độ
lưu thông vitamin D và biểu hiện của một gen được gọi là ID1 có liên
quan đến sự phát triển của ung thư vú.
Chính vì vậy, thiếu vitamin D là nguyên nhân khiến ung thư vú phát triển nhanh hơn và tốc độ lây lan mạnh hơn.
Phát hiện mới của các nhà khoa học cùng với những nghiên cứu trước đây đã cho thấy rằng việc thiếu hụt vitamin D không những thúc đẩy sự hình thành của các khối u tuyến vú mà còn khiến cho những khối u này phát triển nhanh hơn, mạnh hơn và nguy hiểm hơn.
Thí nghiệm được tiến hành thử nghiệm trên cơ thể chuột với chế độ ăn thiếu vitamin D trong vòng 10 tuần. Sau 1 tuần có thể sờ thấy khối u ở mức độ trung bình và sau 6 tuần tiếp theo thì kích thước khối u đã tăng lên đáng kể.
![]() |
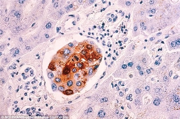
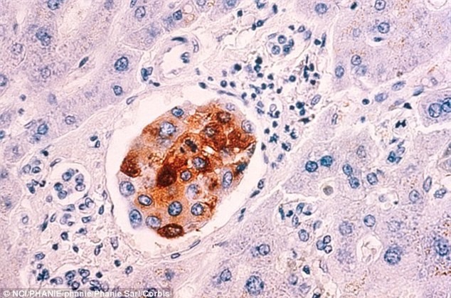
Sự thiếu hụt vitamin D là điều
kiện đủ để các tế bào ung thư không di căn biến đổi để trở thành các tế
bào di căn (ảnh: các tế bào ung thư vú di căn) |
Nghiên cứu này còn được tiến hành trên 34 bệnh nhân ung thư vú khác và kết quả là phụ nữ có nồng độ vitamin D thấp biểu hiện nhiều ID1 ở mô khối u hơn. Điều này khẳng định rằng sự chuyển hóa vitamin D trực tiếp điều khiển những biểu hiện của gen ID1 trong tế bào ung thư vú ở người.
Tiến sĩ Brian Feldman cho biết: "Nghiên cứu của chúng tôi cho thấy rằng thiếu hụt vitamin D, hoặc cơ thể không có khả năng tổng hợp vitamin D, là nguyên nhân hình thành các tế bào ung thư vú. Đồng thời nó có thể biến đổi và kích thích sự di căn của những khối u vú".
Nghiên cứu không cho biết lượng viamin D cần thiết nhưng Viện Y học Mỹ khuyên rằng người dưới 70 tuổi nên dùng khoảng 600 IU, người trên 70 dùng khoảng 800 IU. Phụ nữ mang thai và người trên 65 tuổi nên dùng thuốc bổ sung khoảng 10 micrograms (0.01 mg) vitamin D mỗi ngày.
Tuy nhiên, dùng quá nhiều vitaminb D (khoảng chừng 4.000 tới 10.000 IU) sẽ gây hại thận, hệ thống tim mạch và nội tạng.
Vitamin D trong cơ thể con người được tổng hợp chủ yếu từ ánh sáng mặt trời. Nhưng vitamin D còn được tìm thấy trong một số ít các loại thực phẩm như dầu cá như cá hồi, cá mòi và cá thu, trứng và một số loại ngũ cốc ăn sáng.
