Chủ đề

tiêu chảy

tiêu chảy

Làm rõ vụ 74 học sinh đau bụng, tiêu chảy sau bữa ăn tại trường tiểu học ở TPHCM

Hàng chục học sinh xuất hiện triệu chứng đau bụng, tiêu chảy sau bữa ăn tại Trường tiểu học Nguyễn Văn Triết (phường Linh Xuân, TPHCM).

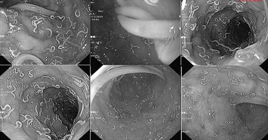
Liên tục bị tiêu chảy, bác sĩ sốc nặng khi nội soi cho bé gái

Nội soi cho bé gái liên tục mệt mỏi và bị tiêu chảy, các bác sĩ phát hiện một số lượng lớn giun tóc ký sinh trong niêm mạc trực tràng và đại tràng.

Bác sĩ cảnh báo: Không tùy tiện dùng thuốc cầm tiêu chảy cho trẻ

Tiêu chảy là tình trạng thường gặp ở trẻ em, trong đó tác nhân gây tiêu chảy do rotavirus nguy hiểm hơn tiêu chảy do các nguyên nhân khác.

Uống sữa của hot Tiktok bán, nhiều người tiêu chảy, VTV vạch trần loạt dấu hiệu bất thường

Phóng sự của VTV đã chỉ ra loạt điểm bất thường, trái ngược hoàn toàn với những lời có cánh mà Yoona Cươn quảng cáo về loại sữa mình bán.

Vụ nhiều học sinh Hà Nội tiêu chảy: Phụ huynh cung cấp thông tin bất ngờ

Theo một số phụ huynh Trường Tiểu học Thành Công B (Hà Nội), ngoài 10 học sinh nhập viện như đã công bố, nhiều em bị tiêu chảy, nôn ói tự điều trị tại nhà chưa được đề cập trong thống kê của trường.

Bác sĩ cảnh báo mối nguy khi lạm dụng thuốc cầm tiêu chảy cho trẻ

Nhiều phụ huynh thấy con bị tiêu chảy đã tự ý mua thuốc cầm tiêu chảy cho trẻ sử dụng. Theo khuyến cáo của các bác sĩ, hành động này có thể gây nguy hiểm đến tính mạng của trẻ.

Sau mưa ngập, 5 bệnh này rất dễ tìm đến bạn!

Nếu bạn phải ngâm chân hàng tiếng đồng hồ trong mưa ngập ở Hà Nội ngày hôm ấy thì hãy cẩn trọng với những chứng bệnh dưới đây.

Nhiều trẻ cứ uống sữa là bị nôn ói, tiêu chảy, cha mẹ nên làm gì?

Nhiều phụ huynh chia sẻ, con mình cứ uống sữa là bị nôn ói, đi kèm hiện tượng tiêu chảy nhiều ngày. Trước vấn đề này, bạn nên làm gì? Liệu có cách nào để phòng tránh?

Bác sĩ chuyên khoa nói gì trước tin đồn lan truyền về 'dịch nôn, tiêu chảy chưa rõ nguyên nhân'?

Trước tình trạng gần đây có nhiều trẻ nhập viện do sốt, nôn, đau bụng, tiêu chảy gây lo lắng. Các bác sĩ nhi khoa đưa ra những lời khuyên bổ ích.

Nhiều trẻ bị nôn và đau bụng tiêu chảy không đỡ, cha mẹ cần làm gì?

Thời gian gần đây, có nhiều cha mẹ chia sẻ về việc con bị nôn và đau bụng, phải đưa đi khám, thậm chí có những trẻ nôn ra mật xanh mật vàng, dùng thuốc cũng không đỡ.

F0 bị tiêu chảy nhiều khả năng nhiễm Omicron

Chán ăn, tiêu chảy, đau bụng có thể là dấu hiệu cảnh báo nguy cơ bệnh nhân Covid-19 đã nhiễm Omicron.

Người đàn ông nhập viện do tiêu chảy kéo dài, không ngờ phát hiện ung thư dạ dày chỉ vì 2 loại củ rất nhiều gia đình thường ăn

Ngoài hành lang bệnh viện, 1 người đàn ông ngồi bệt xuống đất, gào khóc thảm thiết sau khi biết mình mắc bệnh ung thư.

Bé 5 tháng tuổi bị suy gan nguy kịch, tiên lượng nặng khó qua khỏi do uống thuốc nam "nhà tôi 3 đời" để chữa sốt, tiêu chảy

Khi trẻ bị sốt, tiêu chảy gia đình đã cho bé uống thuốc nam dẫn đến bệnh nặng hơn và được các bác sĩ đánh giá suy gan tiên lượng nặng khó qua khỏi.

Ăn uống hợp vệ sinh mà vẫn cứ bị tiêu chảy, hóa ra nguyên nhân lại đến từ một vật dụng quen thuộc mà hầu như nhà ai cũng có

Theo các chuyên gia đây chính là nguyên nhân khiến gia đình bạn luôn bị bệnh, đặc biệt là bị tiêu chảy.

Mẹ tử vong, con hôn mê chỉ vì thường xuyên có thói quen ăn uống rất tai hại

Bà Ngụy, 61 tuổi ở Phúc Châu, Phúc Kiến (Trung Quốc) bà làm nông và sống cùng mẹ già 80 tuổi trong một ngôi nhà đơn sơ, giản dị. Để không làm lỡ việc đồng áng, 2 người nấu cơm đều có thói quen nấu một lần ăn cả ngày.

Đang thi chạy thì bị tiêu chảy, nam VĐV "chạy đến đâu đánh dấu đến đấy" mà vẫn vô địch

Mặc dù gặp vấn đề về đường ruột ngay trong lúc tham gia cuộc thi chạy, vận động viên Wu Xiangdong vẫn xuất sắc đứng đầu cả nước với thời gian đáng kinh ngạc.

Bé 18 tháng ở Hà Nội hôn mê, tím tái toàn thân do sai lầm của cha mẹ

Gia đình tự ý mua thực phẩm bổ sung oresol cho con khiến cháu bé rơi vào tình trạng mất nước nặng, tím tái toàn thân, mất ý thức, co giật.

Bé 2 tháng tuổi bị tiêu chảy nhưng việc làm sai lầm của cha mẹ đã khiến em tử vong

Khi thấy con bị tiêu chảy, vợ chồng anh Lý không đưa con tới bệnh viện hay tìm hiểu nguyên nhân mà lựa chọn một phương pháp sai lầm.

Dì bị tiêu chảy sau khi mua nho bên đường, cháu gái đến nơi bán quay được cảnh bất ngờ

Một nữ khách du lịch đã đăng tải đoạn clip gây sốc sau khi người thân của cô bị tiêu chảy sau khi ăn nho.

Đau bụng, tiêu chảy 1 tuần, người đàn ông suýt mất mạng vì đại tràng "quá tải" chất thải

Người đàn ông giấu tên đến từ London đã đi đến bệnh viện sau khi phải chịu đựng cơn đau dạ dày và tiêu chảy trong suốt một tuần.