1. Tiêu xương hàm là gì?
Tiêu xương hàm còn gọi là bệnh tiêu xương ổ răng, gồm cả trường hợp tiêu xương răng hàm trên và tiêu xương răng hàm dưới. Tình trạng này xảy ra khi mật độ, chất lượng xương hàm bị suy giảm do nhiều nguyên nhân, khiến nướu bị teo lại, gương mặt bị méo, lão hóa, chảy xệ và ảnh hưởng lớn tới khớp cắn.
1.1. Nguyên nhân gây tiêu xương hàm
Nguyên nhân gây tiêu xương hàm chủ yếu đến từ hiện tượng mất răng và viêm nha chu
Khi bị mất răng, xương hàm sẽ có một khoảng trống ở vị trí chân răng, không còn lực nhai tác động của răng lên xương hàm, dẫn tới quá trình tiêu xương. Thông thường, sau khi bị mất răng khoảng 3 tháng, mật độ xương hàm sẽ suy giảm từ từ. Trong khoảng 12 tháng đầu tiên, có khoảng 25% xương hàm ở vị trí răng mất sẽ tiêu biến và sau khoảng 3 năm, xương hàm sẽ bị tiêu biến tới 45 – 60%.
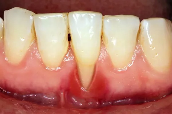
Với trường hợp tiêu xương do viêm nha chu bởi vì nướu răng bị viêm gây tụt nướu (tụt lợi) làm hở chân răng, từ đó sẽ dẫn tới tình trạng xương và dây chằng bao bọc quanh răng bị tiêu hủy dần, khiến răng không còn chỗ dựa gây nên tiêu xương hàm.

Hình ảnh tiêu xương do viêm nha chu
1.2. Tiêu xương hàm gây ảnh hưởng gì đến sức khỏe?
- Do bệnh tiêu xương hàm không xảy ra ngay lập tức sau khi mất răng và thường không có biểu hiện trong thời gian đầu nên nhiều người đã đánh giá thấp, xem thường về mức độ nguy hiểm của căn bệnh này.
Thực tế, tiêu xương hàm gây ra khá nhiều hệ lụy, làm xương hàm tiêu biến khiến độ rộng và chiều cao của thành xương bị giảm một cách đáng kể, vì vậy, không thể nâng đỡ được nướu, gây tụt nướu, làm bờ nướu mỏng dần. Từ đó tạo cơ hội cho vi khuẩn phát triển nhiều hơn, gây đau đầu, suy giảm sức khỏe của bệnh nhân, thậm chí gây nhiễm trùng huyết.
- Mặt khác, hiện tượng tiêu xương hàm khiến xương hàm bị tụt thấp, hàm răng có xu hướng đổ về phía khoảng trống, khiến các răng kế cận răng bị xô lệch, có nguy cơ lung lay và gãy rụng.
- Đồng thời, tiêu xương hàm cũng dẫn tới tình trạng lệch khớp cắn khiến người bệnh gặp khó khăn nhai khi ăn. Về mặt thẩm mỹ, hiện tượng tiêu xương hàm có thể dẫn đến xương hàm dưới bị ngắn hơn. Khi xương hàm bị tiêu biến tới 60% sẽ gây ra tình trạng các dây chằng và cơ mặt hóp vào trong, dấu hiệu lão hóa trên mặt biểu hiện rõ ràng hơn và hậu quả là gương mặt người bệnh sẽ bị teo nhỏ và già nua trông thấy
Nếu không phát hiện sớm, kịp thời điều trị, tiêu xương hàm có thể gây lệch khớp cắn, méo miệng rất mất thẩm mỹ cũng như ảnh hưởng rất xấu tới sức khỏe của người bệnh.

Tác hại của tiêu xương hàm.
2. Hoại tử xương hàm mặt là gì?
Theo tài liệu của tổ chức Rheumatology (Mỹ), hoại tử xương hàm, cơ mặt xảy ra khi các tế bào ở vùng hàm không được cung cấp đủ máu, dẫn tới tiêu cơ, hoại tử xương (tổ chức xương bị chết) ở vùng tương ứng. Hậu quả là xương bắt đầu yếu đi, chết mòn không còn hoạt động và gây đau đớn.
Người bị hoại tử xương hàm, cơ mặt sẽ phải sống trong cảm giác đau đớn thường trực, trong trường hợp nghiêm trọng, họ có thể bị biến dạng khuôn mặt do mất xương hàm.
2.1. Nguyên nhân hoại tử xương hàm mặt
Theo các chuyên gia răng hàm mặt, nguyên nhân hoại tử xương hàm mặt thường gặp ở những bệnh nhân nhiễm virus Herpes zoster, hoặc gặp ở người bệnh đang xạ trị (trị liệu bằng bức xạ thường nói gọn là xạ trị, viết tắt theo tiếng Anh là RT, RTx, hay XRT (Radiation therapy), là phương pháp điều trị sử dụng bức xạ ion hóa để trị liệu ung thư có kiểm soát hay tiêu diệt tế bào ác tính và thường được thực hiện bằng máy gia tốc tuyến tính) vùng đầu và cổ (hoại tử xương bằng bức xạ). Bên cạnh những vai trò tích cực trong điều trị ung thư, xạ trị cũng có thể gây ra những tác dụng phụ không mong muốn.
Với đặc điểm giải phẫu sinh lý riêng (vùng đầu, mặt, cổ mỏng, nhiều mô mềm, cấu trúc tinh tế, chức năng quan trọng, dễ tổn thương và khó phục hồi...), việc điều trị ung thư bằng tia xạ ở vùng đầu mặt cổ vẫn còn nhiều rủi ro. Do ảnh hưởng của tia xạ, một số khu vực trên mặt bị thiểu sản da, bỏng da, tổ chức dưới da và các cơ quan lân cận bị sạm, teo lại,...
Một số trường hợp gặp biến chứng nặng hơn khi vết thương do vùng chiếu xạ không lành mà tiếp tục lan rộng dẫn tới hoại tử xương do tia xạ.
Biểu hiện của biến chứng là việc hoại tử phần mềm trên khuôn mặt (ví dụ vùng da ổ mắt, gò má, xương gò má và các xương thành ổ mắt, xương mũi) ... dẫn đến viêm rò mủ nhiễm trùng (viêm rò hoại tử).
Hoại tử xương hàm mặt có thể do viêm tủy xương .
Hoại tử xương hàm, cơ mặt còn có thể liên quan đến việc dùng thuốc chữa bệnh xương nguyên phát chứa bisphosphonates như alendronate (Fosamax), risedronate (Actonel và Atelvia), ibandronate (Boniva), axit zoledronic (Reclast) và denosumab.
Ngoài ra, một số trường hợp hoại tử xương hàm mặt không tìm thấy nguyên nhân.
Gần đây một số người bệnh nhân bị hoại tử xương hàm mặt nghi do hậu quả của hậu COVID-19, Bộ Y tế đang chỉ đạo tập trung nghiên cứu tìm ra nguyên nhân chính và báo cáo Bộ trong thời gian sớm nhất có thể.
2.2. Điều trị bảo tồn xương hàm mặt

Hoại tử xương hàm mặt có thể do quá trình xạ trị.
Bệnh nhân bị hoại tử xương hàm sẽ tùy tình trạng hoại tử mà được điều trị bảo tồn (sử dụng các dung dịch súc miệng sát khuẩn, thuốc giảm đau đơn thuần hay kết hợp với kháng sinh, kháng nấm); điều trị phẫu thuật (cắt bỏ xương hoại tử, thuốc kháng sinh) gồm phẫu thuật tại chỗ (chỉ can thiệp lên phần xương ổ, không can thiệp vào phần xương nền của hàm dưới hay hàm trên) hay phẫu thuật triệt để (cắt bỏ toàn bộ xương hoại tử); và các điều trị bổ trợ khác để cải thiện sự lành thương của xương hàm bị hoại tử.
Điều trị hoại tử xương do tia xạ, các bác sĩ cần cắt bỏ toàn bộ các tổ chức đã hoại tử (có thể gồm xương, phần mêm viêm rò vùng gò má, ổ mắt, thành bên sống mũi...), giải phóng sẹo co kéo, dọn sạch xương chết, làm sạch vết thương sau đó mới tạo hình che phủ vùng hoại tử bằng vạt da tự do hoặc các vạt có chân nuôi để phục hồi các khuyết hổng tổ chức.
Với bệnh nhân bị hoại tử xương hàm dưới, cần phải nạo vét hết vùng hoại tử xung quanh và tạo hình lại bộ phận bị hỏng thì bệnh nhân mới hết đau đớn, có lại diện mạo bình thường.
3. Lời khuyên của thầy thuốc
Khi nghi bị bệnh về răng hàm mặt, nhất là mất răng có nguy cơ tiêu xương, hủy hoại xương hàm mặt, người bệnh cần đến khám ở những cơ sở chuyên khoa Răng Hàm Mặt tin cậy để được xác định và điều trị sớm, đúng tránh để xảy ra biến chứng nguy hiểm. Đồng thời nên chăm sóc răng cẩn thận theo những lưu ý sau:
- Chải răng 2 lần/ngày bằng bàn chải lông mềm.
- Sử dụng thêm nước súc miệng để đảm bảo cặn bẩn được loại bỏ tối đa.
- Tập thói quen dùng chỉ nha khoa thay cho tăm tre.
- Tới bác sĩ chuyên khoa răng hàm mặt khám định kỳ 6 tháng 1 lần.
- Cắm Implant hoặc làm răng ngay sau khi mất răng.
Theo Sức khỏe đời sống
