Liệt yếu tứ chi do tự điều trị nhiệt miệng
Trường hợp đầu tiên là nam sinh viên 20 tuổi tại Hà Nội phải nhập viện trong tình trạng cấp cứu vì liệt tứ chi, không thể đi lại, người nhà phải dìu vào bệnh viện.
Sau một đêm cấp cứu, bệnh nhân cử động được. Sau gần 2 ngày cấp cứu, kali máu của bệnh nhân đã về ngưỡng bình thường là 4,5 mmol/L, bệnh nhân được xuất viện.
Qua khai thác tiền sử bệnh, bác sĩ phát hiện nam sinh hay bị nhiệt miệng và tự mua thuốc bột uống. Sau khi uống thuốc, tình trạng nhiệt miệng thuyên giảm rất nhanh. Tuy nhiên, những gói thuốc này không rõ nguồn gốc, thành phần và được bệnh nhân mua trên mạng.
Tiến sĩ, bác sĩ Nguyễn Quang Bảy - Trưởng khoa Nội tiết - Đái tháo đường, Bệnh viện Bạch Mai (Hà Nội) cho biết, khuôn mặt của bệnh nhân có những dấu hiệu rõ rệt của việc dùng corticoid kéo dài, bao gồm da mỏng và lông tóc mọc nhiều.
“Nếu việc tự ý dùng thuốc xảy ra ở người dân vùng sâu, vùng xa thì còn thông cảm được, thế nhưng với một sinh viên đại học năm 2 ở Hà Nội thì điều này thật khó chấp nhận”, bác sĩ Bảy nói.

Hiện nay, corticoid có thể được trộn lẫn vào thuốc và được quảng cáo là "thuốc Đông y chữa bách bệnh". Nhiều người dân tin tưởng rằng các loại thuốc này lành tính và an toàn nên vô tư dùng. Tuy nhiên, sau một thời gian lệ thuộc vào thuốc, các tác dụng phụ sẽ ngày càng nặng hơn.
Tác dụng phụ nguy hiểm nhất khi lạm dụng corticoid là suy thượng thận, với các biểu hiện như mệt mỏi thường xuyên, huyết áp thấp. Thậm chí, bệnh viện đã từng ghi nhận trường hợp tử vong do lạm dụng corticoid.
Tổn thương não vì dùng thuốc giảm cân
Cũng tương tự trường hợp nam sinh trên, mới đây Trung tâm Chống độc, Bệnh viện Bạch Mai đã tiếp nhận một trường hợp nữ sinh (21 tuổi, tại Hà Nội) bị tổn thương não nặng do ngộ độc Sibutramin.
Qua khai thác tiền sử bệnh, nữ sinh cho biết bản thân đã mua thuốc giảm cân trên mạng xã hội không rõ nguồn gốc xuất xứ. Bệnh nhân đã uống thuốc được hơn 1 tháng, với liều lượng mỗi ngày 1 viên. Sau thời gian uống thuốc và nhịn ăn, bệnh nhân giảm được 4-5kg. Đặc biệt, bệnh nhân cũng không có biểu hiện mệt mỏi, lo lắng, hồi hộp, run chân tay, trống ngực sau khi uống thuốc.
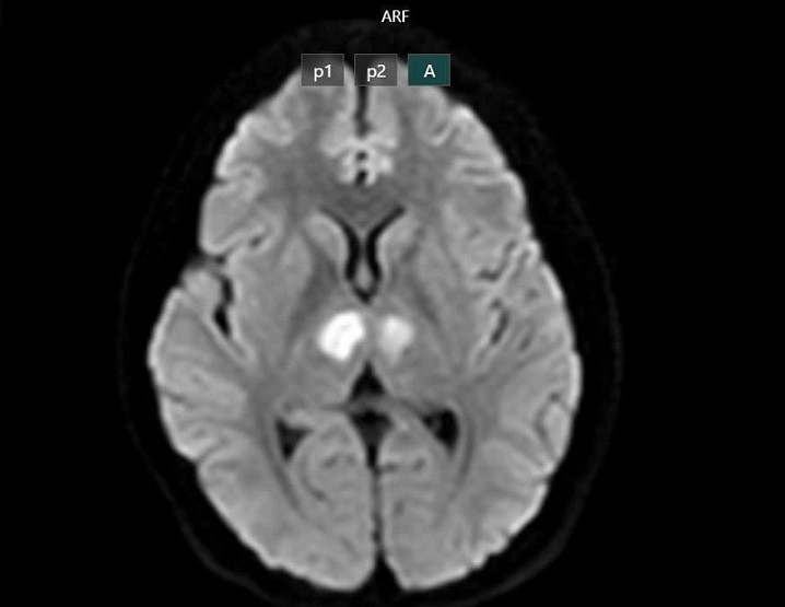
Gia đình phát hiện ra bệnh nhân bất tỉnh, gọi hỏi không đáp ứng nên đã đưa đến bệnh viện gần nhà cấp cứu. Kết quả chụp MRI cho thấy não bệnh nhân có hình ảnh tổn thương vùng đồi thị hai bên. Gia đình xin chuyển bệnh nhân sang Bệnh viện Bạch Mai để tiếp tục điều trị.
Trung tâm Chống độc (Bệnh viện Bạch Mai) đã gửi mẫu thuốc bệnh nhân uống cho Viện Kiểm nghiệm Vệ sinh An toàn thực phẩm Quốc gia để kiểm tra. Kết quả xét nghiệm cho thấy trong thuốc giảm cân có thành phần Sibutramin.

Bác sĩ Nguyễn Trung Nguyên, Giám đốc Trung tâm Chống độc, Bệnh viện Bạch Mai cho biết, sibutramin trước đây là một thuốc dùng đường uống để điều trị béo phì. Tuy nhiên, quá trình sử dụng tại nhiều nước đã ghi nhận các báo cáo về những trường hợp ngộ độc khi sử dụng, bao gồm các trường hợp nặng và tử vong. Đặc biệt, thuốc làm tăng nguy cơ gặp tai biến về đột quỵ và bệnh lý tim mạch. Do vậy, Mỹ và Châu Âu đã ngừng sử dụng sibutramin làm thuốc giảm cân.
Tại Việt Nam, từ năm 2010, Cục Quản lý Dược (Bộ Y tế) đã ban hành công văn về việc ngưng cấp phép nhập khẩu nguyên liệu sibutramin. Ngày 14/04/2011, Cục Quản lý Dược cũng đã có công văn đình chỉ lưu hành trên toàn quốc các thuốc có chứa hoạt chất sibutramin và thu hồi toàn bộ các thuốc có chứa hoạt chất này.
Trung tâm chống độc còn từng tiếp nhận các bệnh nhân ngộ độc thực phẩm chức năng giảm cân có chứa nhiều chất khác như Phenolphthalein, cafein liều rất cao, synephrine,…
Có thể thấy cả hai bệnh nhân kể trên đều có một điểm chung, đó là tự ý dùng thuốc không rõ nguồn gốc xuất xứ. Qua 2 trường hợp này, các chuyên gia khuyến cáo khi cần mua bất cứ sản phẩm gì, đặc biệt là các sản phẩm uống trực tiếp vào cơ thể, mọi người cần chọn các sản phẩm được sản xuất bởi các công ty được cấp phép và đáp ứng tiêu chuẩn của nhà nước.
Mọi người nên mua hàng trực tiếp qua nhà phân phối chính thức, có hóa đơn, đóng thuế rõ ràng. Ngoài ra, người dân tuyệt đối không mua các sản phẩm thực phẩm chức năng, thuốc trên mạng xã hội, qua internet không có nguồn gốc xuất xứ rõ ràng.

Theo Đời sống pháp luật