Cúc được đưa đến bệnh viện trong tình trạng bị đoạn sắt dài đâm thấu chân. Theo nạn nhân khi cô đang đi xe máy qua khúc cua, phanh lại tránh đống sắt bên đường gặp nạn.
Chiều 23/4, Bệnh viện Chấn thương chỉnh hình, TP.HCM cho biết vừa phẫu thuật rút đoạn sắt dài 20 cm ra khỏi chân của bệnh nhân Cúc (15 tuổi, ở quận Bình Tân).
Theo các bác sĩ, trưa cùng ngày họ tiếp nhận bệnh nhân từ Trạm vệ tinh cấp cứu 115 của Bệnh viện Triều An chuyển lên. Nữ sinh được người nhà đưa đến viện trong tình trạng bị đoạn sắt dài 20 cm đâm xuyên thấu chân.
|
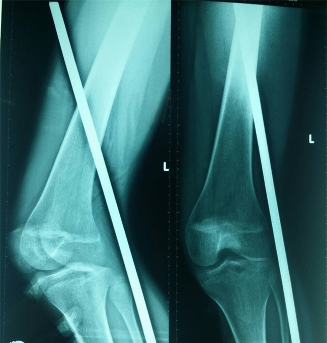
Phim chụp X-quang đoạn sắt đâm xuyên thấu chân bệnh nhân. Ảnh: Bác sĩ cung cấp. |
Kết quả chụp X-quang cho thấy đoạn sắt đâm xuyên phần mềm không làm tổn thương dây thần kinh, mạch máu.
Bệnh nhân nói với bác sĩ, do cô đi xe máy qua khúc cua thấy đồng sắt của công trình xây dựng nhà ở bên đường nên phanh lại để tránh thì tông vào vật nhọn. Các bác sĩ đã phẫu thuật, cắt lọc, rút đoạn sắt ra khỏi chân Cúc theo chiều từ dưới lên trên.
Bệnh nhân đã được các nhân viên y tế dùng bơm áp lực cao bơm nước rửa rỉ sét vết thương. Sau phẫu thuật, các bác sĩ để hở vết thương để đặt ống dẫn lưu, tưới nước để rửa cho chất bẩn trôi ra khỏi chân bệnh nhân. Hiện, Cúc được các bác sĩ khoa Hồi sức theo dõi nhiễm trùng do đoạn sắt quá dài, lại đâm xuyên thấu.
Theo Khánh Trung (Tri Thức Trực Tuyến)
