Bác sĩ không khỏi giật mình khi bé Quân há miệng để kiểm tra. Hàm răng của cậu không khác bị "bộ nhai" của một ông già. Nguyên nhân là do một thức uống rất phổ biến hiện nay.
Bác sĩ hốt hoảng trước bộ răng "thối" cả hàm của một cậu bé 5 tuổi
Dân gian có câu nói nổi tiếng "hàm răng mái tóc là góc con người" với hàm ý về tầm quan trọng của răng và tóc đối với sức khỏe và vẻ đẹp bề ngoài của mỗi người.
Tuy nhiên hiện nay, việc ăn uống và vệ sinh răng miệng, đặc biệt là đối với trẻ em chưa được các bậc cha mẹ quan tâm đúng mức, dẫn đến hậu quả không thể đo đếm được.

Bằng chứng nhất là mới đây, một cậu bé 5 tuổi tên là Quân Quân ở Sùng Dương (Hồ Bắc, Trung Quốc) đã được mẹ đưa đến bệnh viện khám trong tình trạng vô cùng tồi tệ.
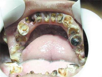
Bác sĩ đã không khỏi giật mình khi bé vừa mở miệng ra. Ông nói rằng cậu bé chẳng khác gì một ông già tí hon không còn răng, miệng lổn nhổn chân răng đen nhẻm và hơi thở có mùi.
Bác sĩ Bành Hữu Kiệm, giám đốc Bệnh viện Nhân dân Hồ Bắc (TQ) lắc đầu khi nói về vấn đề răng trẻ em không được bảo vệ tốt gây hậu quả rất đáng lo lắng.
Thông thường, trẻ em có khoảng 20 chiếc răng sữa. Sau khi kiểm tra sơ bộ, bác sĩ cho biết Quân Quân đã có 8 chiếc răng thối hoàn toàn chỉ còn chân răng bên trong.
Cùng lúc đó, 6 chiếc răng khác cũng bị biến dạng, vừa đen vừa vàng, sứt mẻ, không còn có thể nhận dạng được.
Trước tình trạng khủng khiếp như vậy, thiếu răng không chỉ mất thẩm mĩ, ảnh hưởng sức khỏe, mà ngay cả phát âm cũng không còn được rõ ràng.
Bác sĩ thất vọng nói, trong vòng 30 năm làm nha sĩ, ông chưa bao giờ phải chứng kiến nhiều trẻ em bị hỏng răng như hiện nay, đặc biệt là bé Quân.
Ông cảnh báo rằng, trẻ thường xuyên uống những đồ uống có ga, uống sữa vào ban đêm mà không đánh răng là hai thói quen xấu khiến nhiều trẻ em bị tổn thương răng nặng nhất.
Mỗi ngày uống 3 lon Coca

Sau khi tìm hiểu về trường hợp của bé Quân, các bác sĩ mới biết cháu hiện đang sống cùng ông bà do bố mẹ cháu đi làm xa.
Từ khi 2 tuổi, bé Quân nhìn thấy người khác uống coca nên đã đòi uống. Từ đó, bé không chịu uống nước lọc bình thường mà thường xuyên đòi uống nước ngọt. Có ngày, bé uống tận 3 lon.
Đến bữa ăn, bé còn uống một ngụm coca rồi lại ăn một miếng cơm và cả nhà cho bé uống nước ngọt thay món canh.
Không những thế, bé Quân còn có thói quen uống sữa vào ban đêm trước khi đi ngủ. Nhiều khi, bé còn không chịu đánh răng. Và ông bà cũng không nhắc nhớ cháu.
Khi trở thành "cụ non" không có răng, bé Quân chỉ ăn cháo và thức ăn được nấu mềm. Nói chuyện cũng trở nên thều thào không còn "tròn vành rõ chữ" nữa.
Sau khi khám, bác sĩ Bành lập tức phải lên phương án điều trị khẩn cấp cho bé theo hình thức nhổ 8 chân răng thối để lắp răng giả, đồng thời trám lại những chiếc răng còn chân răng.
Những răng ố vàng sức mẻ tạm thời được làm trắng và giữ nguyên cho bé sử dụng tạm chờ đến thời kỳ thay răng tự nhiên.
Bác sĩ Bành thông tin thêm, ngoài khôi phục lại chức năng nhai, việc lắp răng giả cho bé Quân còn có tác dụng định vị cho những chiếc răng tương lai mọc đúng chỗ, đồng thời hạn chế việc răng vĩnh viễn mọc quá sớm.
Ông giải thích rằng nếu để răng vĩnh viễn mọc sớm sẽ giống như "một đứa trẻ sinh non" khi chất răng chưa đủ cứng, sẽ dễ bị tổn thương, gây rụng răng sớm, làm ảnh hưởng xấu đến cuộc sống tương lai của bé.
Hơn nữa, các răng vĩnh viễn mọc sớm hơn so với độ tuổi, sẽ rất mềm yếu và dễ dàng bị vỡ, nhanh chóng bị rụng răng trước tuổi.
Uống nước ngọt cũng giống như ngâm răng trong axit

Bác sĩ Bành khẩn thiết: "Chúng tôi kêu gọi các bậc cha mẹ cần phải biết hiện tượng răng "thối" này. các bác sĩ chỉ đích danh hội chứng này với một cái tên lóng đó là "Răng coca".
Hầu hết đồ uống có ga thông thường có độ pH là 2,2 - 4,9, trong khi bề mặt men răng sữa của trẻ chỉ chịu được được mức độ pH với chỉ số khoảng 5. Đã chạm gần đến ngưỡng cấm sử dụng loại nước này.
Điều này cho thấy mức độ nghiêm trọng của việc cho trẻ uống nước ngọt có ga sẽ có hậu quả như thế nào.
Răng ngâm trong nước có tính axit như vậy trong một thời gian dài, chắc chắn sẽ từ từ tan đi theo hình thức bị ăn mòn.
Trong 1 chai coca thông thường có khoảng 17 viên đường vuông (loại đường miếng vuông pha cà phê ở TQ). Khi vi khuẩn trong miệng tiếp xúc với lượng đường cao sẽ tạo nên quá trình lên men axit, dẫn đến làm bào mòn men răng.

Axit sẽ tạo nên các bong bóng trên bề mặt răng thành các lỗ nhỏ li ti, độ cứng của răng bị giảm xuống.
Nếu đánh răng vào lúc này sẽ khiến cho răng bị tổn thương thêm một lần nữa. Tốt nhất chỉ nên uống nước súc miệng, chờ khoảng sau 30 phút mới có thể đánh răng.
Không đánh răng vào buổi tối sẽ nguy hiểm hơn nhiều so với không đánh răng vào buổi sáng. Bác sĩ Bành giải thích rằng, ban ngày khi ăn uống, nước uống và thức ăn cũng là "trợ thủ đắc lực" để loại trừ vi khuẩn gây hại trên răng.
Ban đêm nằm ngủ, cơ thể dừng mọi hoạt động ăn uống cũng là cách tạo ra môi trường sống "tự do yên bình" cho các vi khuẩn "tấn công" vào răng mà không bị can thiệp.
Có rất nhiều trẻ nhỏ có thói quen uống sữa trước khi đi ngủ. Sữa chứa nhiều đường sẽ là "chất dinh dưỡng" tốt cho vi khuẩn hại răng và hình thành cao răng.
Bác sĩ Bành nhắn nhủ, đánh răng cũng cần tuân thủ nguyên tắc 3-3, tức là đánh 3 phút trên cả 3 mặt răng từ 8-10 lần. Bởi chất diệt khuẩn trong kem đánh răng cũng phải lưu lại trong miệng tối thiểu 3 phút mới phát huy được tác dụng.
Theo Trí thức trẻ