Mới đây, trang Jimu News đưa tin, có một bé tên Zhou Zhou (12 tuổi), sống ở thành phố Vũ Hán, Trung Quốc xuất hiện các triệu chứng như do dai dẳng, sốt suốt 1 tuần. Thế nhưng, bố mẹ cậu bé này sợ con trai mình bị lây nhiễm chéo nên tự ý mua thuốc ho điều trị tại nhà.
Sau đó, các triệu chứng của Zhou Zhou không thuyên giảm, thậm chí còn ho tới mức nôn mửa, tức ngực. Lúc này, bố mẹ cậu bé mới vội vàng đưa con mình tới khoa nhi tại Bệnh viện Y học Cổ truyền Trung Quốc ở tỉnh Hà Bắc cấp cứu.

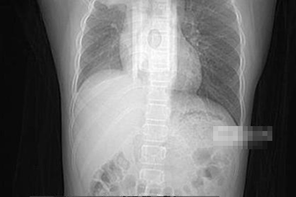
Phổi bé trai nổi nhiều mảng trắng.
Sau một loạt các cuộc kiểm tra, bác sĩ nhận định rằng, tình trạng của Zhou Zhou đã phát triển thành viêm phổi. Từ những bức ảnh siêu âm có thể thấy một bên mô phổi của cậu bé có một mảng trắng lớn.
Tuy nhiên, các triệu chứng hiện tại của Zhou Zhou đã được cải thiện đáng kể sau khi điều trị bằng cả Đông y và Tây y.
Bác sĩ nhắc nhở nếu trẻ có các tình trạng sau cần đưa đi khám kịp thời:
1. Sốt kéo dài trên 3 ngày không có dấu hiệu thuyên giảm.
2. Rối loạn ý thức, sốt cao co giật.
3. Xuất hiện các triệu chứng viêm thanh quản và tắc nghẽn thanh quản, giọng khàn, không thở được, sắc mặt tím tái.
4. Viêm phổi nặng, khó thở, mặt tái xanh, thiếu oxy.
5. Chú ý quan sát trạng thái tinh thần, trẻ có ngủ được, ăn uống bình thường, chơi đùa được không sau khi uống thuốc hạ sốt.
6. Trẻ kêu đau cố định ở một bộ phận nào đó, lâu ngày không khỏi.
7. Các triệu chứng tiêu hóa của trẻ ngày càng nặng hơn, nôn trớ thường xuyên, tiêu chảy nặng.
Bác sĩ còn nhắc nhở, trẻ sơ sinh dưới 3 tháng tuổi là đối tượng đặc biệt, một khi bị sốt thì nên đưa đi khám kịp thời.
Theo Tri thức & Cuộc sống
