Trường hợp vừa may mắn được các bác sĩ Bệnh viện Đa khoa tỉnh Quảng Ninh cứu sống kịp thời là bệnh nhân Từ Quang T. (49 tuổi, ở TP Hạ Long, tỉnh Quảng Ninh). Người thân bệnh nhân T. cho biết, trước khi nhập viện cấp cứu, bệnh nhân có đi mưa về và xuất hiện sốt nhẹ. Sau đó bệnh nhân tự đi mua thuốc uống tại nhà. Trước đó, nam bệnh nhân này hoàn toàn khỏe mạnh, không có tiền sử mắc các bệnh mãn tính nào.
Hai ngày sau đó bệnh nhân sốt liên tục, uống thuốc hạ sốt không dứt cơn, ho và đau tức ngực nên được gia đình đưa vào viện. Bệnh nhân đã được xét nghiệm sàng lọc COVID-19 với kết quả âm tính. Tuy nhiên diễn biến tình trạng bệnh ngày càng xấu đi, sốt cao 40 độ C, suy giảm nặng chức năng trao đổi khí ở phổi.
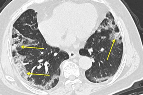
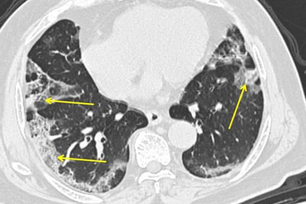
Qua kết quả xét nghiệm, chụp cắt lớp vi tính phổi kiểm tra, các bác sĩ chẩn đoán bệnh nhân bị viêm phổi nặng, biến chứng ARDS, suy hô hấp, nhiễm khuẩn huyết, suy đa tạng, hình ảnh chụp cắt lớp vi tính ngực tổn thương mờ lan tỏa toàn bộ trường phổi hai bên.

Người đàn ông suýt tử vong vì bị viêm phổi biến chứng nặng.
Đánh giá đây là trường hợp bệnh lý cấp tính diễn biến phức tạp, tiên lượng nặng, đe dọa sự sống, các bác sĩ khoa Hồi sức tích cực quyết định áp dụng ngay kỹ thuật ECMO - VV (kỹ thuật oxy hóa máu qua màng ngoài cơ thể phương thức hỗ trợ hô hấp) để kịp thời cứu người bệnh.
Bệnh nhân được nhân viên y tế theo dõi, kiểm soát chặt chẽ 24/24 giờ, đồng thời phối hợp các biện pháp hồi sức tích cực khác: thở máy, lọc máu liên tục, thuốc vận mạch, trợ tim, sử dụng kháng sinh phối hợp.
Sau 12 ngày điều trị và chăm sóc tích cực, bệnh nhân có nhiều chuyển biến khả quan, chức năng phổi hồi phục tốt, đảm bảo thông khí và oxy hóa máu nên đã dừng chạy ECMO, ngừng lọc máu liên tục, ngừng thở máy và rút ống nội khí quản. Đến nay, bệnh nhân tự thở tốt, không còn đau tức ngực, không khó thở, hết sốt, ăn uống sinh hoạt, đi lại bình thường.

Nam bệnh nhân hiện đã hồi phục và đang được theo dõi tại bệnh viện.
Ths.Bs Hà Mạnh Hùng, Trưởng khoa Hồi sức tích cực - Chống độc cho biết, việc hỗ trợ bằng phương pháp ECMO kịp thời, đúng thời điểm là một trong những biện pháp hồi sức đóng vai trò quan trọng, quyết định giúp bệnh nhân T. vượt qua tình trạng “thập tử nhất sinh” để hồi phục sức khỏe, đoàn tụ cùng gia đình.
Qua trường hợp trên, các bác sĩ cho rằng, nhiều trường hợp có triệu chứng lâm sàng ban đầu đơn giản, chỉ là triệu chứng cảm sốt thông thường như: mệt mỏi, đau nhức người, sốt nhẹ… hơn nữa lại ở người không có bệnh nền, sức khỏe tốt nên càng dễ chủ quan, coi nhẹ.
Đặc biệt, nhiều người dân có thói quen tự ý mua thuốc uống không qua thăm khám và không có hướng dẫn của bác sĩ là vô cùng nguy hiểm. Điển hình như trường hợp của bệnh nhân T., đã bị viêm phổi nặng biến chứng ARDS.
Tình trạng viêm phổi nặng biến chứng ARDS diễn biến rất nhanh và nguy hiểm, chỉ trong thời gian ngắn đã suy hô hấp, nhiễm trùng nặng, suy đa tạng. Vì vậy, người bệnh khi có dấu hiệu bệnh bất thường như: khó thở, tức ngực, sốt cao li bì không dứt… không nên chủ quan mà phải đến các cơ sở y tế để thăm khám và phát hiện kịp thời.
|
ECMO là phương pháp trao đổi oxy qua màng ngoài cơ thể, sử dụng vòng tuần hoàn và trao đổi khí bên ngoài cơ thể để hỗ trợ chức năng sống tạm thời cho bệnh nhân suy tuần hoàn hoặc suy hô hấp nặng trong khi chờ cơ quan tim phổi bị tổn thương hồi phục. Đây là phương án cuối cùng để có thể cứu sống được người bệnh có nguy cơ tử vong kề cận. Có hai loại phổ biến nhất là ECMO tĩnh mạch - động mạch (ECMO-VA) và ECMO tĩnh mạch - tĩnh mạch (ECMO-VV). Trong cả hai phương thức trên, máu được rút ra ngoài cơ thể từ hệ thống tĩnh mạch và đưa qua màng ECMO. Tại đây, máu tĩnh mạch sẽ được bổ sung oxy và thải CO2, sau đó máu được trả về cơ thể. Trong ECMO-VA, máu được trả về hệ động mạch, có thể hỗ trợ cả tim và hô hấp; còn trong ECMO-VV máu sẽ được trả về hệ tĩnh mạch và chỉ hỗ trợ hệ hô hấp, không hỗ trợ tim. |
Theo thoidaiplus.giadinh.net.vn
