Chủ đề

ung thư máu

ung thư máu

Rơi nước mắt trước lời tâm sự nhói lòng của mẹ ung thư từ chối điều trị để giữ con

Tôi thì bệnh tật nên từ lúc sinh con ra thì cháu ở với bà ngoại là nhiều. Vì thế, bé không quấn và tìm mẹ như những đứa trẻ khác.

Hành trình chữa bệnh của người mẹ ung thư sẵn sàng đối mặt với cái chết để có con trên đời

Với chị, mọi thứ đều trở thành tầm thường, ngay cả cái chết, khi đứng trước sự lựa chọn sự sống cho con mình.

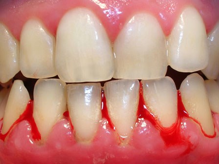
Chảy máu chân răng: Dấu hiệu cảnh báo bệnh ung thư

Các bác sĩ cảnh báo nếu hiện tượng chảy máu chân răng diễn ra thường xuyên mọi người cần hết sức chú ý bởi đó có thể là dấu hiệu cảnh báo nguy cơ mắc bệnh ung thư máu.

Lời tâm sự của chàng trai 17 tuổi vào viện chữa ung thư khiến người bố bật khóc

"Hôm nào con về, bố mẹ nấu một bữa cơm cho con với bạn bè ăn nhé?" Câu nói của cậu học sinh bị ung thư máu không khỏi khiến nhiều người cay mắt.

Xót thương cảnh mẹ đơn thân mắc ung thư di căn chật vật chăm con bị ung thư máu

Cùng một lúc người mẹ đơn thân vừa lo chữa bệnh cho bản thân, vừa lo kiếm tiền chạy chữa cho con.

Đổ mồ hôi ban đêm, dấu hiệu ung thư không thể bỏ qua

Đổ mồ hôi vào buổi tối theo các bác sĩ đây là triệu chứng của một số bệnh ung thư như ung thư hạch bạch huyết, ung thư máu. Theo khuyến cáo của bác sĩ, khi có triệu chứng này trên 2 tuần cần đi kiểm tra ngay.

Cha mẹ hút thuốc lá, con dễ bị ung thư máu

Hiểm nguy do bị phơi nhiễm với khói thuốc lá ở trẻ em và thai nhi có cha mẹ hút thuốc lá từng được giới y khoa cảnh báo.

Đau đớn nghe con gái hỏi: "Khi nào tóc con mọc lại hả mẹ ơi?"

Nghe con nói, tôi lại phải ngửa mặt lên trời cho nước mắt không rơi xuống.

7 dấu hiệu bệnh ung thư máu, chị em không được bỏ qua

Bệnh bạch cầu là một loại ung thư ảnh hưởng đến các tế bào máu, làm giảm khả năng của cơ thể để chống lại bệnh tật và làm suy yếu hệ thống miễn dịch. Dưới đây là các biểu hiện rõ ràng nhất.

Cậu bé ung thư mơ làm CSGT lay động cộng đồng đã đi xa

Trưa nay, Đỗ Tuấn Dũng (11 tuổi), cháu bé Đà Nẵng bị ung thư máu từng khiến cộng đồng rơi nước mắt với mơ ước làm CSGT, đã trút hơi thở cuối cùng.

Quặn lòng cảnh mẹ ôm 2 con khóc thương chồng không có tiền đi viện

Chị Nghĩa cứ thế ôm lấy 2 con mà khóc nấc lên bởi đã đến ngày chồng phải lên viện truyền hóa chất nhưng chị vẫn chưa đi vay được ai tiền.

Người chồng tuyệt vời của cô gái 9X bị ung thư máu

Chán nản, suy sụp nhưng nhờ có chồng cùng đồng hành, cô mới đủ nghị lực chiến đấu suốt 4 năm với bệnh tật.

Xót thương cảnh mẹ ung thư máu, con sinh non bị suy hô hấp

Mang thai đến tuần thứ 26 thì chị Hảo phát hiện mình bị ung thư máu nên phải nhanh chóng nhập viện trong tình cảnh khẩn cấp.