Chủ đề

ung thư

ung thư

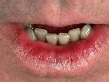
Tưởng bị viêm xoang vì khó nói khó thở, đi khám phát hiện ung thư đã vào gần đến não

Các bác sĩ Trung tâm Ung bướu và phẫu thuật đầu cổ, Bệnh viện Tai Mũi Họng trung ương vừa phẫu thuật cho bệnh nhân bị u nguyên sống nhầm lẫn với triệu chứng bệnh xoang.

PGĐ Bệnh viện K nêu 9 dấu hiệu của các loại ung thư, nếu có nên đi khám càng sớm càng tốt

Ung thư đang trở thành gánh nặng của toàn cầu khi số người mắc mới và số người tử vong ngày càng tăng lên. Trong khi đó bệnh nhân đều phát hiện khi bệnh đã muộn.

48 ca ung thư mắt bí ẩn khiến bác sĩ bối rối

Những ca ung thư mắt cực hiếm gặp đã được ghi nhận trong thời gian ngắn tại 2 tiểu bang ở Mỹ khiến các bác sĩ tin rằng có một nguyên nhân đáng lo ngại.

Chuyên gia gốc Việt tại Mỹ chia sẻ cách giảm nguy cơ mắc bệnh ung thư siêu đơn giản, ai cũng có thể làm mỗi ngày

Tiến sĩ Phan Minh Liêm khẳng định, hiểu đúng về bệnh ung thư để điều trị đúng cũng như biết rõ những cách giảm nguy cơ mắc bệnh sẽ khiến bạn không còn ám ảnh "ung thư là chết".

Nguyên nhân và triệu chứng ung thư thận

Ung thư thận là bệnh lý ác tính, thường bắt nguồn từ thường bắt đầu ở niêm mạc của ống thận. Bài viết dưới đây sẽ giới thiệu nguyên nhân và triệu...

Nhiều người kiêng đường vì sợ đường làm khối u phát triển nhanh hơn: Đâu là sự thật?

Hiện nay vẫn có những quan niệm sai lầm về các nguyên nhân gây ra ung thư có thể dẫn đến những lo lắng không cần thiết về sức khỏe của bạn.

Chuyên gia khuyến cáo "thủ phạm" có thể gây ung thư dạ dày người Việt hay mắc

Mâm cơm truyền thống của người Việt Nam đủ các món và không thể thiếu món chấm mặn như bột canh, xì dầu, nước mắm. Ăn mặn chính là thủ phạm gây ung thư, đặc biệt ung thư dạ dày.

Căn bệnh ung thư xếp hàng thứ tư ở Việt Nam - thủ phạm liên quan chặt chẽ tới dinh dưỡng

Bộ Y tế mới đây đã đưa ra phác đồ điều trị mới cho bệnh ung thư đại trực tràng - căn bệnh ung thư có tỷ lệ mắc đang gia tăng tại nước ta.

Những con số "biết nói" về bệnh ung thư ở Việt Nam và Trung Quốc: Lời khuyên dành cho bạn!

Bệnh ung thư càng ngày càng trở nên đáng sợ. Những thông tin quan trọng về tỉ lệ mắc bệnh ở Việt Nam và Trung Quốc sẽ giúp bạn phòng bệnh hiệu quả hơn, góp phần đẩy lùi ung thư.

Bản đồ ung thư thế giới mới nhất: Việt Nam đang đứng thứ bao nhiêu?

WHO xếp Việt Nam nằm trong 50 nước thuộc top 2 của bản đồ ung thư (50 nước cao nhất thuộc top 1).

Yếu tố làm tăng nguy cơ mắc ung thư tuyến tiền liệt mà nam giới cần biết

Ung thư tuyến tiền liệt từ lâu đã là nỗi ám ảnh của đấng mày râu. Dưới đây là một vài yếu tố làm tăng nguy cơ mắc ung thư tuyến tiền liệt mà nam giới cần hết sức đề phòng.

Không chỉ tự làm tổn thương gan, người hay uống bia rượu có nguy cơ mắc 7 loại ung thư

Uống nhiều bia rượu không chỉ làm tổn thương gan, dẫn đến ung thư gan, mà còn có nguy cơ làm tăng khả năng mắc thêm 6 loại bệnh ung thư khác. Người hay uống nên cẩn thận đề phòng.

Nguyên PGĐ Bệnh viện K: Loại ung thư di truyền nhiều nhất, cần tầm soát sớm kẻo muộn

Chuyên gia khuyến cáo ung thư đại trực tràng có yếu tố gia đình cần được nhận diện điều trị trước 30 tuổi và chậm nhất 35 tuổi để giảm thiểu rủi ro.

Xuất hiện quá nửa trong số 7 dấu hiệu này, rất có thể ung thư thực quản đã phát triển

Những triệu chứng dễ nhầm lẫn dưới đây chính là tín hiệu cảnh báo sớm về căn bệnh ung thư thực quản.

Ốp lưng điện thoại Apple nguồn gốc Trung Quốc được phát hiện có chất gây ung thư

Hiệp hội Bảo vệ người tiêu dùng Thâm Quyến (TQ) đã phát hiện ra 7 loại ốp lưng điện thoại chính hãng có chứa các chất độc hại vượt nhiều lần tiêu chuẩn cho phép của Châu Âu.

Ung thư máu hay gặp ở trẻ em nhất: Cơ hội sống đến 85% nếu bố mẹ nhận ra các dấu hiệu sớm

Ung thư máu ở trẻ em là một bệnh có thể chữa được và có tiên lượng tốt hơn ung thư ở người lớn nếu phát hiện sớm. Bố mẹ hãy quan tâm đến con để nhận ra các dấu hiệu bất thường.

Thói quen ngăn ngừa ung thư vú hiệu quả chị em nào cũng có thể làm đều đặn

Ung thư vú là một căn bệnh rất nguy hiểm với phái nữ. Tuy vậy, có những hành động hàng ngày có thể giúp giảm nguy cơ mắc bệnh.

Phát hiện nhiều bằng chứng ung thư gan liên quan đến thuốc Bắc

Các nhà khoa học đã phát hiện nhiều bằng chứng về mối liên hệ giữa phương pháp điều trị bệnh bằng thuốc Bắc và bệnh ung thư gan ở khu vực châu Á.

10 chuyên gia đúc kết 10 nguyên tắc 'vàng' phòng tránh ung thư: Ghi nhớ để tự cứu mình

Bệnh ung thư đang phát triển ngày càng lan rộng và trẻ hóa, các giải pháp phòng ngừa ung thư là vấn đề nóng hổi được nhiều người quan tâm.