Dạo gần đây, cô Hồng thường xuyên cảm thấy nhức đầu, miệng không thể há bình thường nên cô đã đến bệnh viện khám.
Dạo gần đây, cô Hồng (30 tuổi, đến từ Đài Bắc) thường xuyên cảm thấy nhức đầu, miệng không thể há bình thường nên cô đã đến bệnh viện khám.
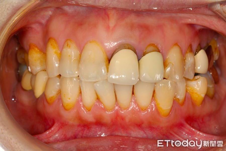
Bác sĩ Từ Vĩ Hiên - chủ nhiệm khoa răng hàm mặt, hiện đang công tác tại bệnh viện Ten Chen General Hospital, trong quá trình chẩn đoán, bác sĩ Hiên được biết thói quen của cô Hồng là thích ăn thức ăn cứng hoặc dai như gặm sườn, đặc biệt vài tháng gần đây, mỗi ngày cô Hồng đều đặn uống một ly trà sữa trân châu. Sở thích nhai trân châu đã khiến răng và cơ nhai của cô làm việc quá tải.

Bác sĩ Hiên chẩn đoán trường hợp của cô Hồng là viêm khớp thái dương hàm, khi há ngậm miệng phát ra tiếng kêu ở khớp, mỗi khi bệnh nhân há hay ngậm miệng đều khó khăn, cơ nhai bởi vì dùng lực quá độ mà dẫn đến căng cứng, ngay cả khuôn mặt của bệnh nhân cũng bị biến dạng.
Có nhiều nguyên nhân gây ra viêm khớp thái dương hàm, chủ yếu là do thói quen ăn uống sai cách, nghiến răng ban đêm, ăn thức ăn cứng hoặc quá dai. Khi cơ nhai dùng sức quá độ, khớp hàm sẽ bị hao mòn, khi há ngậm miệng phát ra tiếng kêu ở khớp, trường hợp nghiêm trọng sẽ bị trật khớp, không thể há miệng bình thường, thói quen há miệng gặm đùi gà hoặc ăn bánh hamburger cũng sẽ khiến hệ thống khớp hàm bị viêm, nếu duy trì thói quen nhai một bên trong thời gian dài sẽ khiến cơ nhai của cả hàm mất cân bằng, khiến khuôn mặt biến dạng.

Bác sĩ Hiên cho biết: "Phương pháp điều trị tốt nhất là tìm ra nguyên nhân chính xác rồi mới tiến hành điều trị cho bệnh nhân, thông thường bệnh nhân mắc bệnh viêm khớp thái dương hàm sẽ được chỉ định dùng thuốc giãn cơ hoặc thuốc giảm đau, người bệnh có thể tự chườm nóng, massage, tuy nhiên nếu không xác định nguyên nhân chính xác thì viêm khớp thái dương hàm sẽ tái phát, thậm chí tạo ra thương tổn không thể phục hồi, chẳng hạn như áp lực công việc, ngủ không đủ giấc sẽ khiến khớp hàm nghiến chặt, hàm răng xô lệch, nếu bệnh nhân không thay đổi thói quen xấu thì uống nhiều thuốc cũng không khỏi bệnh".
Bác sĩ Hiên nhắc nhở: "Nhiều tiệm trà sữa có thói quen pha thêm chất tạo màu, nếu mỗi ngày bạn đều đặn uống trà sữa hoặc cà phê thì theo thời gian hàm răng của bạn sẽ bị ố vàng, nhìn không đẹp".

1. Viêm khớp thái dương hàm là gì?
Theo tiến sĩ Gerry Curatola (người tiên phong về nha khoa và các vấn đề liên quan đến bệnh viêm khớp thái dương hàm) thì đây là một rối loạn của khớp hàm và các cơ mặt xung quanh. Bệnh có thể gây ra chứng đau hạch ở cổ hoặc ban đầu chỉ là các triệu chứng mơ hồ, khó nhận biết nên người bệnh thường chủ quan, thờ ơ.
Sau nhiều tháng, thậm chí vài năm các triệu chứng bệnh mới phát tác rõ ràng, ảnh hưởng chủ yếu đến phần xương hàm. Gây ra các cơn đau có chu kỳ, co thắt cơ và mất cân bằng ở khớp nối giữa xương hàm dưới với xương sọ.
Bệnh viêm khớp thái dương hàm khá phổ biến, có thể xảy ra ở mọi lứa tuổi, mọi chủng tộc và ở tất cả các vùng địa lý. Tuy bệnh không quá nguy hiểm nhưng lại ảnh hưởng rất nhiều đến việc ăn uống, giao tiếp và sức khỏe người bệnh.
2. Triệu chứng viêm khớp thái dương hàm
Biểu hiện viêm khớp thái dương hàm được chia rõ làm 2 biểu hiện, bao gồm bên trong và bên ngoài. Đối với biểu hiện bên trong:
Bệnh có thể gây đau khớp thái dương hàm ở một bên, đôi khi xuất hiện ở cả hai bên, viêm khớp thái dương hàm trái và viêm khớp thái dương hàm phải. Ban đầu chỉ là những cơn đau nhẹ, một thời gian ngắn sau thì tự khỏi.
Bệnh có thể tiến triển nặng, gây ra các cơn đau nặng hơn, liên hồi, nhất là lúc nhai và khiến hàm dưới khó cử động. Để lâu sẽ dẫn tới viêm khớp thái dương hàm mãn tính.
Cơn đau chủ yếu ở trước tai, khi há ngậm miệng phát ra tiếng kêu ở khớp, người bệnh không há miệng lớn được, chỉ có thể há ngậm lệch sang một bên hoặc không trơn tru, thường mỏi hàm.
Ngoài ra, có một số trường hợp còn bị viêm khớp thái dương hàm nổi hạch, trật khớp thái dương hàm hay loạn năng khớp thái dương hàm.
Bệnh gây khó chịu trong khớp hàm và cơ nhai, có thể phát ra tiếng lụp cụp khi nhai trong phần khớp thái dương hàm, lúc xuất hiện tiếng động này là lúc bệnh đã ảnh hưởng đến khớp.
Bên cạnh các triệu chứng chính kể trên, biểu hiện viêm khớp thái dương hàm còn gây ra đau đầu, mỏi cổ và tai, đau tai, chóng mặt. Điều này khiến người bệnh bị hạn chế thực hiện các chức năng ăn, nhai, nói, há miệng, ngậm miệng bình thường được.
Ngoài các biểu hiện cụ thể bên trong đó thì bệnh còn có nhiều biểu hiện bên ngoài như sau:
Bệnh viêm khớp thái dương hàm khiến cơ nhai bị phì đại, gây biến dạng khuôn mặt, có khi bị sưng một bên gây mất cân đối, có khi bị sưng đều cả hai bên.
Một số trường hợp kèm đau tai, đau răng, đau đầu, ù tai, chóng mặt và gây ra vấn đề ở thính giác.
Để đánh giá và chẩn đoán bệnh chính xác, Ts. Curatola khuyên người bệnh nên thăm khám tổng thể, điều trị toàn diện, từ cách ăn uống, chất lượng giấc ngủ đến dùng biện pháp giảm các cơn đau mãn tính.
Nguyên nhân gây viêm khớp thái dương hàm
Chấn thương
Có khá nhiều nguyên nhân viêm khớp thái dương hàm. Nhưng nguyên nhân đầu tiên gây bệnh chính là chấn thương. Các chấn thương có thể do va đập sau tai nạn giao thông, chơi thể thao, lao động,... hoặc đơn giản chỉ là do há miệng quá rộng một cách đột ngột gây trật khớp thái dương hàm.
Do ảnh hưởng từ một số bệnh lý
Một nguyên nhân chính nữa là do các bệnh trong cơ thể, điển hình là nhiễm khuẩn, viêm khớp dạng thấp, thoái hóa khớp, viêm thoái hóa thứ phát khớp thái dương hàm, trong đó nguyên nhân gây bệnh do viêm khớp dạng thấp chiếm tới 50%. Thống kê cho thấy khớp thái dương hàm là khớp sau cùng bị tổn thương do thoái hóa khớp.
Nguyên nhân khác
Ngoài ra, viêm khớp thái dương hàm còn do bị trật đĩa khớp nằm giữa lồi cầu và ổ khớp, hoặc bệnh xảy ra sau khi nhổ răng, đặc biệt là khi nhổ răng số 7, số 8. Việc răng mọc lệch, mọc chen chúc cũng làm sai khớp cắn.
Khi bị viêm khớp thái dương hàm sẽ dễ dẫn đến những biến chứng như nghiến răng khi ngủ, nghiến răng có thể gặp ở mọi lứa tuổi nhưng thường xảy ra nhiều nhất ở trẻ em. Tình trạng nghiến răng cũng tương tự như việc nhai kẹo cao su, khiến cho hàm bị siết chặt, tạo một lực quá lớn tác động lên khớp thái dương hàm, nguy hiểm nhất là có thể làm trật khớp cắn.
Bệnh viêm khớp thái dương hàm tuy không khó chữa nhưng do sự chủ quan thờ ơ của người bệnh mà khi đến bệnh viện bệnh đã ở mức nặng, khiến cho cách chữa viêm khớp thái dương hàm trở nên rắc rối hơn.
Cách phòng ngừa bệnh viêm khớp thái dương hàm
Dưới đây còn là một số cách phòng ngừa viêm khớp thái dương hàm bằng việc thay đổi thói quen trong sinh hoạt hằng ngày:
- Nếu cơ hàm yếu có thể ăn những thức ăn được cắt nhỏ.
- Tránh thực phẩm có tính dai hoặc dính.
- Tránh nhai kẹo cao su quá nhiều, quá lâu.
- Không mở miệng quá rộng đột ngột, nhất là khi ngáp.
- Thư giãn cơ bắp, khớp trên khuôn mặt bằng cách chườm nước nóng, ấm hoặc nước đá.
Theo Helino
